Ante-mortem diagnosis of unilateral pulmonary vein stenosis in a cat: a case report.

IF 1.7 2区 农林科学 Q2 VETERINARY SCIENCES
Takuma Aoki, Takashi Miyamoto, Kota Kizaki, Asuka Ueshima, Kentaro Iwasaki, Takuya Kusaka, Haruko Terui
{"title":"Ante-mortem diagnosis of unilateral pulmonary vein stenosis in a cat: a case report.","authors":"Takuma Aoki, Takashi Miyamoto, Kota Kizaki, Asuka Ueshima, Kentaro Iwasaki, Takuya Kusaka, Haruko Terui","doi":"10.1186/s13028-025-00803-y","DOIUrl":null,"url":null,"abstract":"<p><strong>Background: </strong>Pulmonary hypertension (PH) detection in cats may be challenging. Pulmonary venous stenosis (PVS) is rare in cats and can lead to PH. The only reported PVS case received a post-mortem diagnosis. Imaging during the cat's lifetime established the diagnosis in this case.</p><p><strong>Case presentation: </strong>A 2 year-old Norwegian Forest cat was diagnosed with pulmonary oedema and PH secondary to cor triatriatum sinister (CTS) and showed improved breathing following two subcutaneous furosemide treatments, 1 and 2 mg/kg, during an overnight stay at the referral veterinary hospital. Sildenafil alone (0.69 mg/kg, PO, BID) was prescribed post-discharge to address PH without diuretics. Post-discharge from the referral veterinary hospital, collapse and pre-syncope were suspected to be due to PH. Consequently, sildenafil was titrated weekly, starting at 1.09 mg/kg BID and increasing to 1.63 mg/kg BID. Pre-syncope and collapse resolved, and pulmonary opacities reduced considerably, although concerns remained that increased pulmonary blood flow to suspected CTS from sildenafil might worsen cardiogenic pulmonary oedema. The patient was also treated with rivaroxaban (2.5 mg/head, SID), considering the increased risk of thrombus formation due to blood flow stasis and endothelial damage. Thirty-eight days later, the cat presented for the first time to our hosipital (Azabu University Veterinary Teaching Hospital) for examination. On echocardiography, a continuous mosaic blood flow (maximum and minimum velocity, 3.14 m/s; estimated pressure gradient, 39.4 mmHg) was observed in two enlarged pulmonary veins. Pulmonary artery enlargement (main pulmonary artery to thoracic aorta ratio: 1.90), pulmonary vein stenosis (PVS), and diffuse bilateral ground-glass lung opacities were observed using computed tomography. PH with unilateral PVS involving two out of the three right pulmonary veins, specifically the right cranial and right middle pulmonary veins, along with pulmonary parenchymal disease, was diagnosed. The cat was further treated with furosemide (1 mg/kg, BID, PO) with no clinical signs but succumbed to acute dyspnoea 51 days after the first visit.</p><p><strong>Conclusions: </strong>Unilateral PVS should be considered in young cats with a localised alveolar pattern and no left atrial enlargement, because the prognosis may be poor. Severe PH with PVS may coexist with lung disease. If sildenafil is used, it should be started at a low dose and monitored closely.</p>","PeriodicalId":7181,"journal":{"name":"Acta Veterinaria Scandinavica","volume":"67 1","pages":"21"},"PeriodicalIF":1.7000,"publicationDate":"2025-04-23","publicationTypes":"Journal Article","fieldsOfStudy":null,"isOpenAccess":false,"openAccessPdf":"https://www.ncbi.nlm.nih.gov/pmc/articles/PMC12020107/pdf/","citationCount":"0","resultStr":null,"platform":"Semanticscholar","paperid":null,"PeriodicalName":"Acta Veterinaria Scandinavica","FirstCategoryId":"97","ListUrlMain":"https://doi.org/10.1186/s13028-025-00803-y","RegionNum":2,"RegionCategory":"农林科学","ArticlePicture":[],"TitleCN":null,"AbstractTextCN":null,"PMCID":null,"EPubDate":"","PubModel":"","JCR":"Q2","JCRName":"VETERINARY SCIENCES","Score":null,"Total":0}
引用次数: 0

Abstract

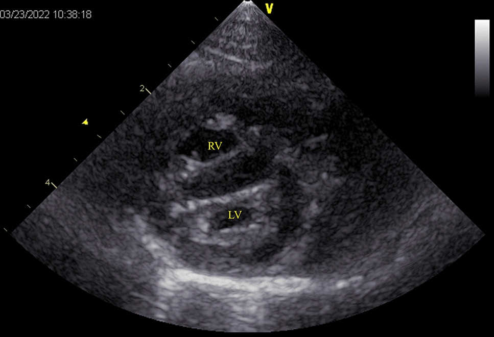
Background: Pulmonary hypertension (PH) detection in cats may be challenging. Pulmonary venous stenosis (PVS) is rare in cats and can lead to PH. The only reported PVS case received a post-mortem diagnosis. Imaging during the cat's lifetime established the diagnosis in this case.

Case presentation: A 2 year-old Norwegian Forest cat was diagnosed with pulmonary oedema and PH secondary to cor triatriatum sinister (CTS) and showed improved breathing following two subcutaneous furosemide treatments, 1 and 2 mg/kg, during an overnight stay at the referral veterinary hospital. Sildenafil alone (0.69 mg/kg, PO, BID) was prescribed post-discharge to address PH without diuretics. Post-discharge from the referral veterinary hospital, collapse and pre-syncope were suspected to be due to PH. Consequently, sildenafil was titrated weekly, starting at 1.09 mg/kg BID and increasing to 1.63 mg/kg BID. Pre-syncope and collapse resolved, and pulmonary opacities reduced considerably, although concerns remained that increased pulmonary blood flow to suspected CTS from sildenafil might worsen cardiogenic pulmonary oedema. The patient was also treated with rivaroxaban (2.5 mg/head, SID), considering the increased risk of thrombus formation due to blood flow stasis and endothelial damage. Thirty-eight days later, the cat presented for the first time to our hosipital (Azabu University Veterinary Teaching Hospital) for examination. On echocardiography, a continuous mosaic blood flow (maximum and minimum velocity, 3.14 m/s; estimated pressure gradient, 39.4 mmHg) was observed in two enlarged pulmonary veins. Pulmonary artery enlargement (main pulmonary artery to thoracic aorta ratio: 1.90), pulmonary vein stenosis (PVS), and diffuse bilateral ground-glass lung opacities were observed using computed tomography. PH with unilateral PVS involving two out of the three right pulmonary veins, specifically the right cranial and right middle pulmonary veins, along with pulmonary parenchymal disease, was diagnosed. The cat was further treated with furosemide (1 mg/kg, BID, PO) with no clinical signs but succumbed to acute dyspnoea 51 days after the first visit.

Conclusions: Unilateral PVS should be considered in young cats with a localised alveolar pattern and no left atrial enlargement, because the prognosis may be poor. Severe PH with PVS may coexist with lung disease. If sildenafil is used, it should be started at a low dose and monitored closely.

Abstract Image

Abstract Image

Abstract Image

猫单侧肺静脉狭窄的死前诊断1例。
背景:猫的肺动脉高压(PH)检测可能具有挑战性。肺静脉狭窄(PVS)在猫中很少见,可导致ph。唯一报道的PVS病例接受了尸检诊断。在猫的一生中成像确定了本病例的诊断。病例介绍:一只2岁的挪威森林猫被诊断为肺水肿和PH继发于心房三房性心脏病(CTS),在转诊兽医医院过夜期间,两次皮下速尿治疗(1和2 mg/kg)后呼吸改善。出院后单独开西地那非(0.69 mg/kg, PO, BID)处理PH,不使用利尿剂。从转诊兽医院出院后,怀疑是ph引起的晕倒和晕厥前期。因此,每周滴定西地那非,从1.09 mg/kg BID开始,增加到1.63 mg/kg BID。晕厥前期和虚脱消退,肺混浊明显减少,尽管仍然担心西地那非导致疑似CTS的肺血流量增加可能加重心源性肺水肿。考虑到血流停滞和内皮损伤导致血栓形成的风险增加,患者还接受了利伐沙班治疗(2.5 mg/头,SID)。38天后,猫首次到我院(麻布大学兽医教学医院)检查。超声心动图显示连续的马赛克血流(最大和最小速度为3.14 m/s;估计压力梯度,39.4 mmHg)。ct示肺动脉扩张(主肺动脉与胸主动脉比值:1.90),肺静脉狭窄(PVS),双侧弥漫性磨玻璃肺影。诊断为PH伴单侧PVS累及右肺三条静脉中的两条,特别是右颅静脉和右中肺静脉,同时伴有肺实质疾病。猫进一步给予速尿(1 mg/kg, BID, PO)治疗,无临床症状,但在第一次就诊后51天出现急性呼吸困难。结论:局部肺泡型且无左房扩大的幼猫应考虑单侧PVS,因为预后可能较差。严重PH伴PVS可与肺部疾病共存。如果使用西地那非,应以低剂量开始并密切监测。
本文章由计算机程序翻译,如有差异,请以英文原文为准。
求助全文
约1分钟内获得全文 求助全文
来源期刊
Acta Veterinaria Scandinavica
Acta Veterinaria Scandinavica 农林科学-兽医学
CiteScore
3.60
自引率
0.00%
发文量
28
审稿时长
18-36 weeks
期刊介绍: Acta Veterinaria Scandinavica is an open access journal encompassing all aspects of veterinary research and medicine of domestic and wild animals.
×
引用
GB/T 7714-2015
复制
MLA
复制
APA
复制
导出至
BibTeX EndNote RefMan NoteFirst NoteExpress
×
提示
您的信息不完整,为了账户安全,请先补充。
现在去补充
×
提示
您因"违规操作"
具体请查看互助需知
我知道了
×
提示
确定
请完成安全验证×
copy
已复制链接
快去分享给好友吧!
我知道了
右上角分享
点击右上角分享
0
联系我们:info@booksci.cn Book学术提供免费学术资源搜索服务,方便国内外学者检索中英文文献。致力于提供最便捷和优质的服务体验。 Copyright © 2023 布克学术 All rights reserved.
京ICP备2023020795号-1
ghs 京公网安备 11010802042870号
Book学术文献互助
Book学术文献互助群
群 号:604180095
Book学术官方微信