Acquired Reactive Perforating Collagenosis Complicated by Diabetes Mellitus and Hypertension: A Case Report.

IF 0.8 Q4 DERMATOLOGY
Case Reports in Dermatology Pub Date : 2025-04-17 eCollection Date: 2025-01-01 DOI:10.1159/000545693
Meng Zhang, Ruiqi Chu, Junping Shen, Chunmei Liu, Yanan Wang, Shun Zhang, Xiangxiang Ren
{"title":"Acquired Reactive Perforating Collagenosis Complicated by Diabetes Mellitus and Hypertension: A Case Report.","authors":"Meng Zhang, Ruiqi Chu, Junping Shen, Chunmei Liu, Yanan Wang, Shun Zhang, Xiangxiang Ren","doi":"10.1159/000545693","DOIUrl":null,"url":null,"abstract":"<p><strong>Introduction: </strong>Acquired reactive perforating collagenosis (ARPC) is a rare cutaneous disorder frequently associated with systemic diseases such as diabetes mellitus and chronic kidney disease. Its diagnosis remains challenging due to clinical overlap with other perforating dermatoses, necessitating advanced diagnostic tools for confirmation.</p><p><strong>Case presentation: </strong>A 55-year-old male with a 15-year history of diabetes mellitus and hypertension developed progressively pruritic papules and nodules on both lower limbs over 2 months. Initial misdiagnosis as a fungal infection led to unsuccessful antifungal therapy. Dermatoscopy revealed keratotic plugs with peripheral erythema, while histopathology demonstrated transepidermal elimination of degenerated collagen, confirming ARPC. Topical retinoic acid cream achieved marked symptomatic relief.</p><p><strong>Conclusion: </strong>This case highlights ARPC's strong association with metabolic comorbidities and underscores the necessity of dermatoscopic and histopathological evaluation to avoid diagnostic pitfalls. The therapeutic success of topical retinoids in resource-constrained settings reinforces their role as a pragmatic first-line intervention. Clinicians should consider ARPC in patients with chronic pruritic eruptions and systemic metabolic disorders, advocating for multidisciplinary collaboration to address underlying comorbidities.</p>","PeriodicalId":9619,"journal":{"name":"Case Reports in Dermatology","volume":"17 1","pages":"143-149"},"PeriodicalIF":0.8000,"publicationDate":"2025-04-17","publicationTypes":"Journal Article","fieldsOfStudy":null,"isOpenAccess":false,"openAccessPdf":"https://www.ncbi.nlm.nih.gov/pmc/articles/PMC12061362/pdf/","citationCount":"0","resultStr":null,"platform":"Semanticscholar","paperid":null,"PeriodicalName":"Case Reports in Dermatology","FirstCategoryId":"1085","ListUrlMain":"https://doi.org/10.1159/000545693","RegionNum":0,"RegionCategory":null,"ArticlePicture":[],"TitleCN":null,"AbstractTextCN":null,"PMCID":null,"EPubDate":"2025/1/1 0:00:00","PubModel":"eCollection","JCR":"Q4","JCRName":"DERMATOLOGY","Score":null,"Total":0}
引用次数: 0

Abstract

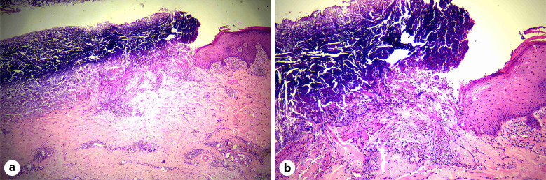
Introduction: Acquired reactive perforating collagenosis (ARPC) is a rare cutaneous disorder frequently associated with systemic diseases such as diabetes mellitus and chronic kidney disease. Its diagnosis remains challenging due to clinical overlap with other perforating dermatoses, necessitating advanced diagnostic tools for confirmation.

Case presentation: A 55-year-old male with a 15-year history of diabetes mellitus and hypertension developed progressively pruritic papules and nodules on both lower limbs over 2 months. Initial misdiagnosis as a fungal infection led to unsuccessful antifungal therapy. Dermatoscopy revealed keratotic plugs with peripheral erythema, while histopathology demonstrated transepidermal elimination of degenerated collagen, confirming ARPC. Topical retinoic acid cream achieved marked symptomatic relief.

Conclusion: This case highlights ARPC's strong association with metabolic comorbidities and underscores the necessity of dermatoscopic and histopathological evaluation to avoid diagnostic pitfalls. The therapeutic success of topical retinoids in resource-constrained settings reinforces their role as a pragmatic first-line intervention. Clinicians should consider ARPC in patients with chronic pruritic eruptions and systemic metabolic disorders, advocating for multidisciplinary collaboration to address underlying comorbidities.

Abstract Image

Abstract Image

Abstract Image

获得性反应性穿孔性胶原沉积合并糖尿病和高血压1例。
摘要:获得性反应性穿孔性胶原病(ARPC)是一种罕见的皮肤疾病,常与糖尿病和慢性肾病等全身性疾病相关。由于与其他穿孔性皮肤病的临床重叠,其诊断仍然具有挑战性,需要先进的诊断工具进行确认。病例介绍:55岁男性,有15年糖尿病和高血压病史,2个月多来双下肢出现渐进性瘙痒性丘疹和结节。最初误诊为真菌感染导致抗真菌治疗失败。皮肤镜检查显示角化栓伴周围红斑,而组织病理学显示经皮消除变性胶原,证实ARPC。局部维甲酸乳膏显著缓解了症状。结论:本病例强调了ARPC与代谢合并症的密切联系,强调了皮肤镜和组织病理学评估的必要性,以避免诊断缺陷。在资源受限的环境中,局部类维生素a的治疗成功强化了它们作为实用的一线干预措施的作用。临床医生应考虑慢性瘙痒性皮疹和全身性代谢紊乱患者的ARPC,提倡多学科合作以解决潜在的合并症。
本文章由计算机程序翻译,如有差异,请以英文原文为准。
求助全文
约1分钟内获得全文 求助全文
来源期刊
CiteScore
1.60
自引率
0.00%
发文量
57
审稿时长
9 weeks
×
引用
GB/T 7714-2015
复制
MLA
复制
APA
复制
导出至
BibTeX EndNote RefMan NoteFirst NoteExpress
×
提示
您的信息不完整,为了账户安全,请先补充。
现在去补充
×
提示
您因"违规操作"
具体请查看互助需知
我知道了
×
提示
确定
请完成安全验证×
copy
已复制链接
快去分享给好友吧!
我知道了
右上角分享
点击右上角分享
0
联系我们:info@booksci.cn Book学术提供免费学术资源搜索服务,方便国内外学者检索中英文文献。致力于提供最便捷和优质的服务体验。 Copyright © 2023 布克学术 All rights reserved.
京ICP备2023020795号-1
ghs 京公网安备 11010802042870号
Book学术文献互助
Book学术文献互助群
群 号:604180095
Book学术官方微信