Surgery-confirmed internal hernia with or without Roux-en-Y anastomosis: diagnostic performance of six CT signs

IF 2.2 3区 医学 Q2 RADIOLOGY, NUCLEAR MEDICINE & MEDICAL IMAGING
Hyun Kyung Yang, Joao Baptista Rezende-Neto, Viviane Willig Brasil, Errol Colak
{"title":"Surgery-confirmed internal hernia with or without Roux-en-Y anastomosis: diagnostic performance of six CT signs","authors":"Hyun Kyung Yang,&nbsp;Joao Baptista Rezende-Neto,&nbsp;Viviane Willig Brasil,&nbsp;Errol Colak","doi":"10.1007/s00261-025-04927-7","DOIUrl":null,"url":null,"abstract":"<div><h3>Purpose</h3><p>To assess the diagnostic performance and generalizability of established CT signs of internal hernias across a broad patient population including those with and without Roux-en Y anastomosis.</p><h3>Methods</h3><p>Our institutional review board approved this retrospective study. CT scans of 21 patients (11 women, 10 men) with surgically confirmed internal hernia and 52 control patients (23 women, 29 men) in whom internal hernia was suspected on CT but subsequently excluded surgically were reviewed. Six CT signs were evaluated: non-duodenal small bowel (ND-SB) behind the superior mesenteric artery (SMA), right-sided jejunojejunal anastomosis in applicable patients, “swirl” sign, superior mesenteric vein compression, “mushroom” sign, and clustered small bowel (SB) loops. Sensitivity, specificity, and odds ratios with 95% confidence intervals were calculated for each sign using logistic regression.</p><h3>Results</h3><p>Logistic regression identified the “mushroom” sign, clustered SB, and ND-SB behind the SMA as significant independent predictors of internal hernia with an area under the receiver operating characteristic curve of 0.746. The sensitivity, specificity, and odds ratio of the “mushroom” sign, clustered SB, and ND-SB behind the SMA were 38.1%, 86.5%, 3.96 (95% CI, 1.21–12.97), 47.6%, 75.0%, 2.73 (95% CI, 0.94–7.89), and 33.3%, 88.2%, 3.75 (95% CI, 1.08–13.02), respectively.</p><h3>Conclusion</h3><p>The “mushroom” sign, clustered SB, and ND-SB behind the SMA are valuable CT findings in diagnosing internal hernias irrespective of Roux-en-Y anastomosis. In particular, ND-SB behind the SMA and the “mushroom” sign are highly specific.</p><h3>Graphical Abstract</h3><div><figure><div><div><picture><source><img></source></picture></div></div></figure></div></div>","PeriodicalId":7126,"journal":{"name":"Abdominal Radiology","volume":"50 10","pages":"4533 - 4540"},"PeriodicalIF":2.2000,"publicationDate":"2025-04-10","publicationTypes":"Journal Article","fieldsOfStudy":null,"isOpenAccess":false,"openAccessPdf":"","citationCount":"0","resultStr":null,"platform":"Semanticscholar","paperid":null,"PeriodicalName":"Abdominal Radiology","FirstCategoryId":"3","ListUrlMain":"https://link.springer.com/article/10.1007/s00261-025-04927-7","RegionNum":3,"RegionCategory":"医学","ArticlePicture":[],"TitleCN":null,"AbstractTextCN":null,"PMCID":null,"EPubDate":"","PubModel":"","JCR":"Q2","JCRName":"RADIOLOGY, NUCLEAR MEDICINE & MEDICAL IMAGING","Score":null,"Total":0}
引用次数: 0

Abstract

Purpose

To assess the diagnostic performance and generalizability of established CT signs of internal hernias across a broad patient population including those with and without Roux-en Y anastomosis.

Methods

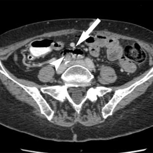
Our institutional review board approved this retrospective study. CT scans of 21 patients (11 women, 10 men) with surgically confirmed internal hernia and 52 control patients (23 women, 29 men) in whom internal hernia was suspected on CT but subsequently excluded surgically were reviewed. Six CT signs were evaluated: non-duodenal small bowel (ND-SB) behind the superior mesenteric artery (SMA), right-sided jejunojejunal anastomosis in applicable patients, “swirl” sign, superior mesenteric vein compression, “mushroom” sign, and clustered small bowel (SB) loops. Sensitivity, specificity, and odds ratios with 95% confidence intervals were calculated for each sign using logistic regression.

Results

Logistic regression identified the “mushroom” sign, clustered SB, and ND-SB behind the SMA as significant independent predictors of internal hernia with an area under the receiver operating characteristic curve of 0.746. The sensitivity, specificity, and odds ratio of the “mushroom” sign, clustered SB, and ND-SB behind the SMA were 38.1%, 86.5%, 3.96 (95% CI, 1.21–12.97), 47.6%, 75.0%, 2.73 (95% CI, 0.94–7.89), and 33.3%, 88.2%, 3.75 (95% CI, 1.08–13.02), respectively.

Conclusion

The “mushroom” sign, clustered SB, and ND-SB behind the SMA are valuable CT findings in diagnosing internal hernias irrespective of Roux-en-Y anastomosis. In particular, ND-SB behind the SMA and the “mushroom” sign are highly specific.

Graphical Abstract

Abstract Image

Abstract Image

手术证实的内疝伴或不伴Roux-en-Y吻合:六种CT征象的诊断表现。
目的:评估在广泛的患者人群中,包括有和没有Roux-en - Y吻合术的患者,已建立的CT征象的诊断性能和普遍性。方法:我们的机构审查委员会批准了这项回顾性研究。本文回顾了21例经手术证实为腹内疝的患者(11名女性,10名男性)和52例经CT怀疑为腹内疝但经手术排除的对照患者(23名女性,29名男性)的CT扫描结果。评估6种CT征象:肠系膜上动脉(SMA)后非十二指肠小肠(ND-SB)、适用患者右侧空肠空肠吻合、“漩涡”征、肠系膜上静脉受压、“蘑菇”征、聚集性小肠(SB)袢。使用逻辑回归计算每个症状的敏感性、特异性和95%置信区间的比值比。结果:Logistic回归发现SMA后的“蘑菇”标志、聚集性SB和ND-SB是腹内疝的显著独立预测因子,其接受者工作特征曲线下面积为0.746。SMA后的“蘑菇”征、聚集性SB和ND-SB的敏感性、特异性和比值比分别为38.1%、86.5%、3.96 (95% CI, 1.21-12.97)、47.6%、75.0%、2.73 (95% CI, 0.94-7.89)和33.3%、88.2%、3.75 (95% CI, 1.08-13.02)。结论:无论是否采用Roux-en-Y吻合,SMA后方的“蘑菇”征、聚集性SB和ND-SB都是诊断腹内疝的重要CT表现。特别是,SMA和“蘑菇”标志后面的ND-SB具有高度的特异性。
本文章由计算机程序翻译,如有差异,请以英文原文为准。
求助全文
约1分钟内获得全文 求助全文
来源期刊
Abdominal Radiology
Abdominal Radiology Medicine-Radiology, Nuclear Medicine and Imaging
CiteScore
5.20
自引率
8.30%
发文量
334
期刊介绍: Abdominal Radiology seeks to meet the professional needs of the abdominal radiologist by publishing clinically pertinent original, review and practice related articles on the gastrointestinal and genitourinary tracts and abdominal interventional and radiologic procedures. Case reports are generally not accepted unless they are the first report of a new disease or condition, or part of a special solicited section. Reasons to Publish Your Article in Abdominal Radiology: · Official journal of the Society of Abdominal Radiology (SAR) · Published in Cooperation with: European Society of Gastrointestinal and Abdominal Radiology (ESGAR) European Society of Urogenital Radiology (ESUR) Asian Society of Abdominal Radiology (ASAR) · Efficient handling and Expeditious review · Author feedback is provided in a mentoring style · Global readership · Readers can earn CME credits
×
引用
GB/T 7714-2015
复制
MLA
复制
APA
复制
导出至
BibTeX EndNote RefMan NoteFirst NoteExpress
×
提示
您的信息不完整,为了账户安全,请先补充。
现在去补充
×
提示
您因"违规操作"
具体请查看互助需知
我知道了
×
提示
确定
请完成安全验证×
copy
已复制链接
快去分享给好友吧!
我知道了
右上角分享
点击右上角分享
0
联系我们:info@booksci.cn Book学术提供免费学术资源搜索服务,方便国内外学者检索中英文文献。致力于提供最便捷和优质的服务体验。 Copyright © 2023 布克学术 All rights reserved.
京ICP备2023020795号-1
ghs 京公网安备 11010802042870号
Book学术文献互助
Book学术文献互助群
群 号:604180095
Book学术官方微信