Development and validation of machine learning models for predicting no. 253 lymph node metastasis in left-sided colorectal cancer using clinical and CT-based radiomic features.

IF 3.5 2区 医学 Q2 ONCOLOGY
Hongwei Zhang, Kexin Wang, Shurong Liu, Guowei Chen, Yong Jiang, Yingchao Wu, Xiaocong Pang, Xiaoying Wang, Junling Zhang, Xin Wang
{"title":"Development and validation of machine learning models for predicting no. 253 lymph node metastasis in left-sided colorectal cancer using clinical and CT-based radiomic features.","authors":"Hongwei Zhang, Kexin Wang, Shurong Liu, Guowei Chen, Yong Jiang, Yingchao Wu, Xiaocong Pang, Xiaoying Wang, Junling Zhang, Xin Wang","doi":"10.1186/s40644-025-00876-y","DOIUrl":null,"url":null,"abstract":"<p><strong>Background: </strong>The appropriate ligation level of the inferior mesenteric artery (IMA) in left-sided colorectal cancer (CRC) surgery is debated, with metastasis in No. 253 lymph node (No. 253 LN) being a key determining factor. This study aimed to develop a machine learning model for predicting metastasis in No. 253 LN.</p><p><strong>Methods: </strong>We retrospectively collected clinical data from 2,118 patients with left-sided CRC and contrast-enhanced CT images from 310 of these patients. From this data, a test set, a training set, and a temporal validation set were constructed. Logistic regression models were used to develop a clinical model, a CT model, and a radiomics model, which were then integrated into a combined model using logical rules. Finally, these models were evaluated using metrics such as the area under the receiver operating characteristic curve (AUC), precision-recall (PR) curves, decision curve analysis (DCA), net reclassification improvement (NRI), and integrated discrimination improvement (IDI).</p><p><strong>Results: </strong>A clinical model, a CT model, and a radiomics model were constructed using univariate logistic regression. A combined model was developed by integrating the clinical, CT, and radiomics models, with positivity defined as all three models being positive at a 90% sensitivity threshold. The clinical model included six predictive factors: tumor site, endoscopic obstruction, CEA levels, growth type, differentiation grade, and pathological classification. The CT model utilized largest lymph node average CT value, short-axis diameter and long-axis diameter. The radiomics model incorporated maximum gray level intensity within the region of interest, large area high gray level emphasis, small area high gray level emphasis and surface area to volume ratio. In the test set, the AUCs for the clinical, CT, radiomics, and combined models were 0.694, 0.663, 0.72, and 0.663, respectively, while in the temporal validation set, they were 0.743, 0.629, 0.716, and 0.8. Specifically, the combined model demonstrated a sensitivity of 0.8 and a specificity of 0.8 in the temporal validation set. By comparing the PR and DCA curves, the combined model demonstrated better performance. Additionally, the combined model showed moderate improvements in INR and IDI compared to other models.</p><p><strong>Conclusion: </strong>A clinical and CT-based radiomics model shows promise in predicting No. 253 LN metastasis in left-sided CRC and provides insights for optimizing IMA ligation strategies.</p>","PeriodicalId":9548,"journal":{"name":"Cancer Imaging","volume":"25 1","pages":"57"},"PeriodicalIF":3.5000,"publicationDate":"2025-04-29","publicationTypes":"Journal Article","fieldsOfStudy":null,"isOpenAccess":false,"openAccessPdf":"https://www.ncbi.nlm.nih.gov/pmc/articles/PMC12039209/pdf/","citationCount":"0","resultStr":null,"platform":"Semanticscholar","paperid":null,"PeriodicalName":"Cancer Imaging","FirstCategoryId":"3","ListUrlMain":"https://doi.org/10.1186/s40644-025-00876-y","RegionNum":2,"RegionCategory":"医学","ArticlePicture":[],"TitleCN":null,"AbstractTextCN":null,"PMCID":null,"EPubDate":"","PubModel":"","JCR":"Q2","JCRName":"ONCOLOGY","Score":null,"Total":0}
引用次数: 0

Abstract

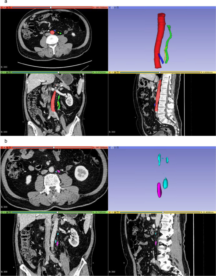
Background: The appropriate ligation level of the inferior mesenteric artery (IMA) in left-sided colorectal cancer (CRC) surgery is debated, with metastasis in No. 253 lymph node (No. 253 LN) being a key determining factor. This study aimed to develop a machine learning model for predicting metastasis in No. 253 LN.

Methods: We retrospectively collected clinical data from 2,118 patients with left-sided CRC and contrast-enhanced CT images from 310 of these patients. From this data, a test set, a training set, and a temporal validation set were constructed. Logistic regression models were used to develop a clinical model, a CT model, and a radiomics model, which were then integrated into a combined model using logical rules. Finally, these models were evaluated using metrics such as the area under the receiver operating characteristic curve (AUC), precision-recall (PR) curves, decision curve analysis (DCA), net reclassification improvement (NRI), and integrated discrimination improvement (IDI).

Results: A clinical model, a CT model, and a radiomics model were constructed using univariate logistic regression. A combined model was developed by integrating the clinical, CT, and radiomics models, with positivity defined as all three models being positive at a 90% sensitivity threshold. The clinical model included six predictive factors: tumor site, endoscopic obstruction, CEA levels, growth type, differentiation grade, and pathological classification. The CT model utilized largest lymph node average CT value, short-axis diameter and long-axis diameter. The radiomics model incorporated maximum gray level intensity within the region of interest, large area high gray level emphasis, small area high gray level emphasis and surface area to volume ratio. In the test set, the AUCs for the clinical, CT, radiomics, and combined models were 0.694, 0.663, 0.72, and 0.663, respectively, while in the temporal validation set, they were 0.743, 0.629, 0.716, and 0.8. Specifically, the combined model demonstrated a sensitivity of 0.8 and a specificity of 0.8 in the temporal validation set. By comparing the PR and DCA curves, the combined model demonstrated better performance. Additionally, the combined model showed moderate improvements in INR and IDI compared to other models.

Conclusion: A clinical and CT-based radiomics model shows promise in predicting No. 253 LN metastasis in left-sided CRC and provides insights for optimizing IMA ligation strategies.

Abstract Image

Abstract Image

Abstract Image

预测no的机器学习模型的开发与验证。253例左侧结直肠癌淋巴结转移的临床及ct放射学特征分析
背景:左侧结直肠癌(CRC)手术中结扎肠系膜下动脉(IMA)的合适水平一直存在争议,253号淋巴结(No. 253 LN)的转移是一个关键的决定因素。本研究旨在建立预测No. 253 LN转移的机器学习模型。方法:我们回顾性收集了2118例左侧结直肠癌患者的临床资料和其中310例患者的对比增强CT图像。从这些数据中,我们构建了一个测试集、一个训练集和一个时间验证集。使用逻辑回归模型建立临床模型、CT模型和放射组学模型,然后使用逻辑规则将其集成到一个组合模型中。最后,使用受试者工作特征曲线下面积(AUC)、精确召回率(PR)曲线、决策曲线分析(DCA)、净重分类改进(NRI)和综合判别改进(IDI)等指标对这些模型进行评估。结果:采用单因素logistic回归建立了临床模型、CT模型和放射组学模型。通过整合临床、CT和放射组学模型,建立了一个联合模型,其中阳性定义为三个模型在90%的敏感性阈值下均为阳性。临床模型包括6个预测因素:肿瘤部位、内镜阻塞、CEA水平、生长类型、分化分级、病理分型。CT模型采用最大淋巴结CT平均值、短轴直径和长轴直径。放射组学模型结合了感兴趣区域内的最大灰度强度、大面积高灰度强调、小面积高灰度强调和表面积体积比。在测试集中,临床模型、CT模型、放射组学模型和联合模型的auc分别为0.694、0.663、0.72和0.663,而在时间验证集中,auc分别为0.743、0.629、0.716和0.8。具体来说,联合模型在时间验证集中的灵敏度为0.8,特异性为0.8。通过对PR曲线和DCA曲线的比较,表明组合模型具有更好的性能。此外,与其他模型相比,联合模型显示INR和IDI有适度改善。结论:临床和基于ct的放射组学模型有望预测左侧结直肠癌的253号淋巴结转移,并为优化IMA连接策略提供见解。
本文章由计算机程序翻译,如有差异,请以英文原文为准。
求助全文
约1分钟内获得全文 求助全文
来源期刊
Cancer Imaging
Cancer Imaging ONCOLOGY-RADIOLOGY, NUCLEAR MEDICINE & MEDICAL IMAGING
CiteScore
7.00
自引率
0.00%
发文量
66
审稿时长
>12 weeks
期刊介绍: Cancer Imaging is an open access, peer-reviewed journal publishing original articles, reviews and editorials written by expert international radiologists working in oncology. The journal encompasses CT, MR, PET, ultrasound, radionuclide and multimodal imaging in all kinds of malignant tumours, plus new developments, techniques and innovations. Topics of interest include: Breast Imaging Chest Complications of treatment Ear, Nose & Throat Gastrointestinal Hepatobiliary & Pancreatic Imaging biomarkers Interventional Lymphoma Measurement of tumour response Molecular functional imaging Musculoskeletal Neuro oncology Nuclear Medicine Paediatric.
×
引用
GB/T 7714-2015
复制
MLA
复制
APA
复制
导出至
BibTeX EndNote RefMan NoteFirst NoteExpress
×
提示
您的信息不完整,为了账户安全,请先补充。
现在去补充
×
提示
您因"违规操作"
具体请查看互助需知
我知道了
×
提示
确定
请完成安全验证×
copy
已复制链接
快去分享给好友吧!
我知道了
右上角分享
点击右上角分享
0
联系我们:info@booksci.cn Book学术提供免费学术资源搜索服务,方便国内外学者检索中英文文献。致力于提供最便捷和优质的服务体验。 Copyright © 2023 布克学术 All rights reserved.
京ICP备2023020795号-1
ghs 京公网安备 11010802042870号
Book学术文献互助
Book学术文献互助群
群 号:604180095
Book学术官方微信