Autoimmune Pancreatitis in Children: A Case Report.

IF 0.6 Q4 GASTROENTEROLOGY & HEPATOLOGY
Case Reports in Gastroenterology Pub Date : 2025-04-29 eCollection Date: 2025-01-01 DOI:10.1159/000544785
Barbara Hendlisz, Amélie Dirckx, Marie Cassart, Phu Quoc Lê
{"title":"Autoimmune Pancreatitis in Children: A Case Report.","authors":"Barbara Hendlisz, Amélie Dirckx, Marie Cassart, Phu Quoc Lê","doi":"10.1159/000544785","DOIUrl":null,"url":null,"abstract":"<p><strong>Introduction: </strong>Autoimmune pancreatitis (AIP) is a rare and distinct condition in children compared to adults. Despite being based on adult diagnostic criteria, several differences have been reported, making pediatric AIP a challenging diagnosis.</p><p><strong>Case presentation: </strong>A 14-year-old adolescent presented to the emergency department with abdominal pain, vomiting, and jaundice. A combination of biological and radiological assessments led to the diagnosis of AIP. The patient experienced a swift and complete recovery without intensive treatment.</p><p><strong>Conclusion: </strong>AIP in children is an intriguing diagnosis and should be considered when a child presents with abdominal pain, vomiting, and jaundice. The natural history and pathophysiology of the disease are still uncertain. Specific markers for the disease need to be established. Studies on larger sample sizes are necessary to address these questions and improve AIP diagnosis and management.</p>","PeriodicalId":9614,"journal":{"name":"Case Reports in Gastroenterology","volume":"19 1","pages":"303-312"},"PeriodicalIF":0.6000,"publicationDate":"2025-04-29","publicationTypes":"Journal Article","fieldsOfStudy":null,"isOpenAccess":false,"openAccessPdf":"https://www.ncbi.nlm.nih.gov/pmc/articles/PMC12040306/pdf/","citationCount":"0","resultStr":null,"platform":"Semanticscholar","paperid":null,"PeriodicalName":"Case Reports in Gastroenterology","FirstCategoryId":"1085","ListUrlMain":"https://doi.org/10.1159/000544785","RegionNum":0,"RegionCategory":null,"ArticlePicture":[],"TitleCN":null,"AbstractTextCN":null,"PMCID":null,"EPubDate":"2025/1/1 0:00:00","PubModel":"eCollection","JCR":"Q4","JCRName":"GASTROENTEROLOGY & HEPATOLOGY","Score":null,"Total":0}
引用次数: 0

Abstract

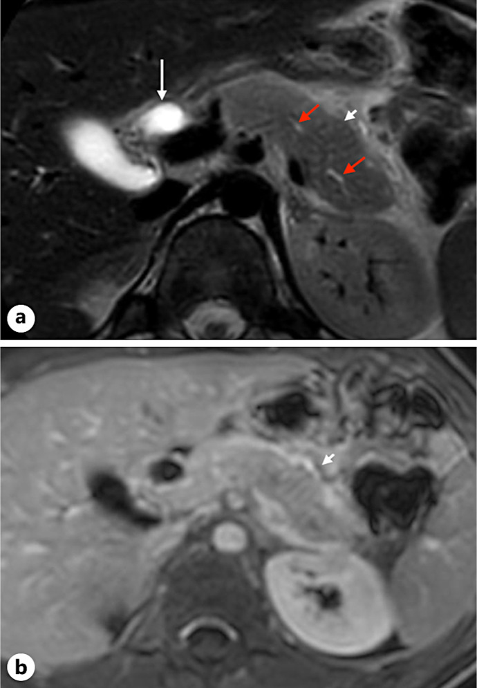
Introduction: Autoimmune pancreatitis (AIP) is a rare and distinct condition in children compared to adults. Despite being based on adult diagnostic criteria, several differences have been reported, making pediatric AIP a challenging diagnosis.

Case presentation: A 14-year-old adolescent presented to the emergency department with abdominal pain, vomiting, and jaundice. A combination of biological and radiological assessments led to the diagnosis of AIP. The patient experienced a swift and complete recovery without intensive treatment.

Conclusion: AIP in children is an intriguing diagnosis and should be considered when a child presents with abdominal pain, vomiting, and jaundice. The natural history and pathophysiology of the disease are still uncertain. Specific markers for the disease need to be established. Studies on larger sample sizes are necessary to address these questions and improve AIP diagnosis and management.

Abstract Image

Abstract Image

儿童自身免疫性胰腺炎1例报告
与成人相比,自身免疫性胰腺炎(AIP)在儿童中是一种罕见且独特的疾病。尽管以成人诊断标准为基础,但已报道的一些差异使儿科AIP的诊断具有挑战性。病例介绍:一名14岁的青少年因腹痛、呕吐和黄疸被送到急诊科。结合生物学和放射学评估诊断为AIP。病人在没有强化治疗的情况下迅速完全康复。结论:儿童AIP是一种有趣的诊断,当儿童出现腹痛、呕吐和黄疸时应予以考虑。本病的自然史和病理生理尚不清楚。需要建立这种疾病的特异性标记物。为了解决这些问题,提高AIP的诊断和管理水平,有必要进行更大样本量的研究。
本文章由计算机程序翻译,如有差异,请以英文原文为准。
求助全文
约1分钟内获得全文 求助全文
来源期刊
Case Reports in Gastroenterology
Case Reports in Gastroenterology Medicine-Gastroenterology
CiteScore
1.10
自引率
0.00%
发文量
99
审稿时长
7 weeks
期刊介绍:
×
引用
GB/T 7714-2015
复制
MLA
复制
APA
复制
导出至
BibTeX EndNote RefMan NoteFirst NoteExpress
×
提示
您的信息不完整,为了账户安全,请先补充。
现在去补充
×
提示
您因"违规操作"
具体请查看互助需知
我知道了
×
提示
确定
请完成安全验证×
copy
已复制链接
快去分享给好友吧!
我知道了
右上角分享
点击右上角分享
0
联系我们:info@booksci.cn Book学术提供免费学术资源搜索服务,方便国内外学者检索中英文文献。致力于提供最便捷和优质的服务体验。 Copyright © 2023 布克学术 All rights reserved.
京ICP备2023020795号-1
ghs 京公网安备 11010802042870号
Book学术文献互助
Book学术文献互助群
群 号:604180095
Book学术官方微信