Large Mesenchymal Hepatic Hamartoma in Pediatric Age: A Case Report.

IF 0.5 Q4 SURGERY
Case Reports in Surgery Pub Date : 2025-04-30 eCollection Date: 2025-01-01 DOI:10.1155/cris/1929050
Alhasan H Alhebshi, Ammar Kabbarah, Murad Aljiffry
{"title":"Large Mesenchymal Hepatic Hamartoma in Pediatric Age: A Case Report.","authors":"Alhasan H Alhebshi, Ammar Kabbarah, Murad Aljiffry","doi":"10.1155/cris/1929050","DOIUrl":null,"url":null,"abstract":"<p><p>Benign liver tumors are infrequently observed in the pediatric age group, with an incidence reported at 0.7 per million population annually. Among these tumors, mesenchymal hamartoma constitutes 18%-29%. Imaging studies commonly reveal a well-marginated, solitary mass, often measuring up to 30 cm. The mass, primarily located in the right liver lobe (75% of cases), may exhibit a pedunculated structure. We present a case of a 1-year-and-9-month-old boy diagnosed with hepatic mesenchymal hamartoma. A contrast-enhanced computed tomography of the abdomen and magnetic resonance imaging (MRI) were performed and demonstrated a large multiloculated septated liver lesion measuring approximately 13.6 × 17.7 cm, demonstrating multiple partially thickened internal septations. The procedure was done for the patient in the form of an extended right hepatectomy with segment 4A and cholecystectomy.</p>","PeriodicalId":9600,"journal":{"name":"Case Reports in Surgery","volume":"2025 ","pages":"1929050"},"PeriodicalIF":0.5000,"publicationDate":"2025-04-30","publicationTypes":"Journal Article","fieldsOfStudy":null,"isOpenAccess":false,"openAccessPdf":"https://www.ncbi.nlm.nih.gov/pmc/articles/PMC12058315/pdf/","citationCount":"0","resultStr":null,"platform":"Semanticscholar","paperid":null,"PeriodicalName":"Case Reports in Surgery","FirstCategoryId":"1085","ListUrlMain":"https://doi.org/10.1155/cris/1929050","RegionNum":0,"RegionCategory":null,"ArticlePicture":[],"TitleCN":null,"AbstractTextCN":null,"PMCID":null,"EPubDate":"2025/1/1 0:00:00","PubModel":"eCollection","JCR":"Q4","JCRName":"SURGERY","Score":null,"Total":0}
引用次数: 0

Abstract

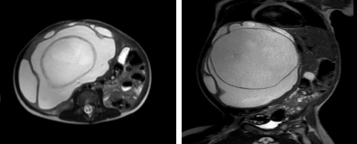
Benign liver tumors are infrequently observed in the pediatric age group, with an incidence reported at 0.7 per million population annually. Among these tumors, mesenchymal hamartoma constitutes 18%-29%. Imaging studies commonly reveal a well-marginated, solitary mass, often measuring up to 30 cm. The mass, primarily located in the right liver lobe (75% of cases), may exhibit a pedunculated structure. We present a case of a 1-year-and-9-month-old boy diagnosed with hepatic mesenchymal hamartoma. A contrast-enhanced computed tomography of the abdomen and magnetic resonance imaging (MRI) were performed and demonstrated a large multiloculated septated liver lesion measuring approximately 13.6 × 17.7 cm, demonstrating multiple partially thickened internal septations. The procedure was done for the patient in the form of an extended right hepatectomy with segment 4A and cholecystectomy.

Abstract Image

Abstract Image

Abstract Image

儿童大间充质肝错构瘤1例报告。
良性肝肿瘤在儿童年龄组中很少观察到,据报道发病率为每年百万分之0.7。其中间充质错构瘤占18%-29%。影像学检查通常显示边缘良好的孤立肿块,通常可达30厘米。肿块主要位于右肝叶(75%的病例),可表现为带梗结构。我们报告一个1岁零9个月大的男孩被诊断为肝间充质错构瘤。腹部增强计算机断层扫描和磁共振成像(MRI)显示一个大的多室分隔肝病变,大小约为13.6 × 17.7 cm,显示多个部分增厚的内分隔。该手术以扩展右肝切除4A段和胆囊切除术的形式完成。
本文章由计算机程序翻译,如有差异,请以英文原文为准。
求助全文
约1分钟内获得全文 求助全文
来源期刊
自引率
0.00%
发文量
60
审稿时长
13 weeks
×
引用
GB/T 7714-2015
复制
MLA
复制
APA
复制
导出至
BibTeX EndNote RefMan NoteFirst NoteExpress
×
提示
您的信息不完整,为了账户安全,请先补充。
现在去补充
×
提示
您因"违规操作"
具体请查看互助需知
我知道了
×
提示
确定
请完成安全验证×
copy
已复制链接
快去分享给好友吧!
我知道了
右上角分享
点击右上角分享
0
联系我们:info@booksci.cn Book学术提供免费学术资源搜索服务,方便国内外学者检索中英文文献。致力于提供最便捷和优质的服务体验。 Copyright © 2023 布克学术 All rights reserved.
京ICP备2023020795号-1
ghs 京公网安备 11010802042870号
Book学术文献互助
Book学术文献互助群
群 号:604180095
Book学术官方微信