Laparoscopic Completion Cholecystectomy for Symptomatic Remnant Gallbladder Following Subtotal Cholecystectomy: a Report of Two Cases.

Q2 Medicine
Fatima M Alsinan, Ali I Alaqoul
{"title":"Laparoscopic Completion Cholecystectomy for Symptomatic Remnant Gallbladder Following Subtotal Cholecystectomy: a Report of Two Cases.","authors":"Fatima M Alsinan, Ali I Alaqoul","doi":"10.5455/aim.2024.33.79-81","DOIUrl":null,"url":null,"abstract":"<p><strong>Background: </strong>Subtotal cholecystectomy (SC) is considered a safe option for a bailout in the presence of a difficult laparoscopic cholecystectomy with a low incidence of complications.</p><p><strong>Objective: </strong>This report aims to describe the challenges in diagnosing and managing remnant gallbladder.</p><p><strong>Case presentation: </strong>Case 1 is a 31-year-old male who presented with right upper quadrant abdominal pain ten years following SC. Abdominal ultrasound (US) and computed tomography (CT) scan confirmed a ruminant gallbladder. He underwent successful completion of laparoscopic cholecystectomy. Case 2 is a 40-year-old male who was admitted as a case of ascending cholangitis. He had a history of subtotal cholecystectomy one year prior to his presentation. CT scan, Magnetic resonance cholangiography (MRCP), and US all confirmed the presence of a remnant gallbladder. The patient underwent endoscopic retrograde cholangiopancreatography (ERCP), followed by the completion of laparoscopic cholecystectomy.</p><p><strong>Conclusion: </strong>Recurring symptoms due to the remnant gallbladder are often challenging to diagnose and treat. Herein, we highlight the importance of adequate preoperative investigations and surgical planning prior to intervention.</p>","PeriodicalId":7074,"journal":{"name":"Acta Informatica Medica","volume":"33 1","pages":"79-81"},"PeriodicalIF":0.0000,"publicationDate":"2025-01-01","publicationTypes":"Journal Article","fieldsOfStudy":null,"isOpenAccess":false,"openAccessPdf":"https://www.ncbi.nlm.nih.gov/pmc/articles/PMC11986346/pdf/","citationCount":"0","resultStr":null,"platform":"Semanticscholar","paperid":null,"PeriodicalName":"Acta Informatica Medica","FirstCategoryId":"1085","ListUrlMain":"https://doi.org/10.5455/aim.2024.33.79-81","RegionNum":0,"RegionCategory":null,"ArticlePicture":[],"TitleCN":null,"AbstractTextCN":null,"PMCID":null,"EPubDate":"","PubModel":"","JCR":"Q2","JCRName":"Medicine","Score":null,"Total":0}
引用次数: 0

Abstract

Background: Subtotal cholecystectomy (SC) is considered a safe option for a bailout in the presence of a difficult laparoscopic cholecystectomy with a low incidence of complications.

Objective: This report aims to describe the challenges in diagnosing and managing remnant gallbladder.

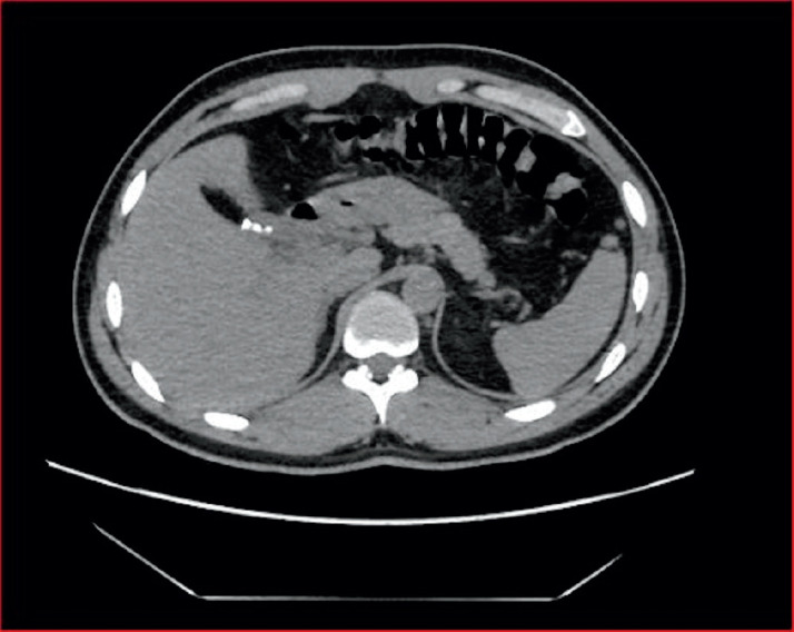
Case presentation: Case 1 is a 31-year-old male who presented with right upper quadrant abdominal pain ten years following SC. Abdominal ultrasound (US) and computed tomography (CT) scan confirmed a ruminant gallbladder. He underwent successful completion of laparoscopic cholecystectomy. Case 2 is a 40-year-old male who was admitted as a case of ascending cholangitis. He had a history of subtotal cholecystectomy one year prior to his presentation. CT scan, Magnetic resonance cholangiography (MRCP), and US all confirmed the presence of a remnant gallbladder. The patient underwent endoscopic retrograde cholangiopancreatography (ERCP), followed by the completion of laparoscopic cholecystectomy.

Conclusion: Recurring symptoms due to the remnant gallbladder are often challenging to diagnose and treat. Herein, we highlight the importance of adequate preoperative investigations and surgical planning prior to intervention.

Abstract Image

Abstract Image

Abstract Image

胆囊次全切除术后有症状残胆囊的腹腔镜完全性胆囊切除术2例报告。
背景:胆囊次全切除术(SC)被认为是一种安全的选择,在存在困难的腹腔镜胆囊切除术并发症发生率低。目的:介绍残胆囊在诊断和治疗中的挑战。病例介绍:病例1是一名31岁男性,SC后10年出现右上腹部疼痛。腹部超声(US)和计算机断层扫描(CT)证实为反刍性胆囊。他成功地完成了腹腔镜胆囊切除术。病例2为40岁男性,因上升胆管炎入院。他在报告前一年曾做过胆囊次全切除术。CT扫描,磁共振胆道造影(MRCP),超声均证实残余胆囊的存在。患者接受内窥镜逆行胆管造影(ERCP),随后完成腹腔镜胆囊切除术。结论:残胆囊的复发症状是诊断和治疗的难点。在此,我们强调在干预前进行充分的术前调查和手术计划的重要性。
本文章由计算机程序翻译,如有差异,请以英文原文为准。
求助全文
约1分钟内获得全文 求助全文
来源期刊
Acta Informatica Medica
Acta Informatica Medica Medicine-Medicine (all)
CiteScore
2.90
自引率
0.00%
发文量
37
×
引用
GB/T 7714-2015
复制
MLA
复制
APA
复制
导出至
BibTeX EndNote RefMan NoteFirst NoteExpress
×
提示
您的信息不完整,为了账户安全,请先补充。
现在去补充
×
提示
您因"违规操作"
具体请查看互助需知
我知道了
×
提示
确定
请完成安全验证×
copy
已复制链接
快去分享给好友吧!
我知道了
右上角分享
点击右上角分享
0
联系我们:info@booksci.cn Book学术提供免费学术资源搜索服务,方便国内外学者检索中英文文献。致力于提供最便捷和优质的服务体验。 Copyright © 2023 布克学术 All rights reserved.
京ICP备2023020795号-1
ghs 京公网安备 11010802042870号
Book学术文献互助
Book学术文献互助群
群 号:604180095
Book学术官方微信