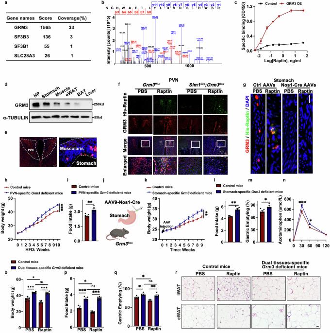
Author Correction: Raptin, a sleep-induced hypothalamic hormone, suppresses appetite and obesity

IF 25.9 1区 生物学 Q1 CELL BIOLOGY
Ling-Qi Xie, Biao Hu, Ren-Bin Lu, Ya-Lun Cheng, Xin Chen, Jie Wen, Yao Xiao, Yu-Ze An, Ning Peng, Yu Dai, Genqing Xie, Qi Guo, Hui Peng, Xiang-Hang Luo
{"title":"Author Correction: Raptin, a sleep-induced hypothalamic hormone, suppresses appetite and obesity","authors":"Ling-Qi Xie, Biao Hu, Ren-Bin Lu, Ya-Lun Cheng, Xin Chen, Jie Wen, Yao Xiao, Yu-Ze An, Ning Peng, Yu Dai, Genqing Xie, Qi Guo, Hui Peng, Xiang-Hang Luo","doi":"10.1038/s41422-025-01123-6","DOIUrl":null,"url":null,"abstract":"","PeriodicalId":9926,"journal":{"name":"Cell Research","volume":"35 7","pages":"530-531"},"PeriodicalIF":25.9000,"publicationDate":"2025-05-07","publicationTypes":"Journal Article","fieldsOfStudy":null,"isOpenAccess":false,"openAccessPdf":"https://www.nature.comhttps://www.nature.com/articles/s41422-025-01123-6.pdf","citationCount":"0","resultStr":null,"platform":"Semanticscholar","paperid":null,"PeriodicalName":"Cell Research","FirstCategoryId":"99","ListUrlMain":"https://www.nature.com/articles/s41422-025-01123-6","RegionNum":1,"RegionCategory":"生物学","ArticlePicture":[],"TitleCN":null,"AbstractTextCN":null,"PMCID":null,"EPubDate":"","PubModel":"","JCR":"Q1","JCRName":"CELL BIOLOGY","Score":null,"Total":0}
引用次数: 0

Abstract Image

作者更正:Raptin是一种睡眠诱导的下丘脑激素,可以抑制食欲和肥胖
更正:Cell Research https://doi.org/10.1038/s41422-025-01078-8,于2025年1月29日在线发布
本文章由计算机程序翻译,如有差异,请以英文原文为准。
求助全文
约1分钟内获得全文 求助全文
来源期刊
Cell Research
Cell Research 生物-细胞生物学
CiteScore
53.90
自引率
0.70%
发文量
2420
审稿时长
2.3 months
期刊介绍: Cell Research (CR) is an international journal published by Springer Nature in partnership with the Center for Excellence in Molecular Cell Science, Chinese Academy of Sciences (CAS). It focuses on publishing original research articles and reviews in various areas of life sciences, particularly those related to molecular and cell biology. The journal covers a broad range of topics including cell growth, differentiation, and apoptosis; signal transduction; stem cell biology and development; chromatin, epigenetics, and transcription; RNA biology; structural and molecular biology; cancer biology and metabolism; immunity and molecular pathogenesis; molecular and cellular neuroscience; plant molecular and cell biology; and omics, system biology, and synthetic biology. CR is recognized as China's best international journal in life sciences and is part of Springer Nature's prestigious family of Molecular Cell Biology journals.
×
引用
GB/T 7714-2015
复制
MLA
复制
APA
复制
导出至
BibTeX EndNote RefMan NoteFirst NoteExpress
×
提示
您的信息不完整,为了账户安全,请先补充。
现在去补充
×
提示
您因"违规操作"
具体请查看互助需知
我知道了
×
提示
确定
请完成安全验证×
copy
已复制链接
快去分享给好友吧!
我知道了
右上角分享
点击右上角分享
0
联系我们:info@booksci.cn Book学术提供免费学术资源搜索服务,方便国内外学者检索中英文文献。致力于提供最便捷和优质的服务体验。 Copyright © 2023 布克学术 All rights reserved.
京ICP备2023020795号-1
ghs 京公网安备 11010802042870号
Book学术文献互助
Book学术文献互助群
群 号:604180095
Book学术官方微信