Promising application of nano-WO3/epoxy composite in intensity-modulated brachytherapy: a simulation study.

Radiation oncology journal Pub Date : 2025-03-01 Epub Date: 2025-03-27 DOI:10.3857/roj.2024.00339
Erfan Saatchian, Shahrokh Naseri, Sare Hosseini, Hamid Gholamhosseinian
{"title":"Promising application of nano-WO3/epoxy composite in intensity-modulated brachytherapy: a simulation study.","authors":"Erfan Saatchian, Shahrokh Naseri, Sare Hosseini, Hamid Gholamhosseinian","doi":"10.3857/roj.2024.00339","DOIUrl":null,"url":null,"abstract":"<p><strong>Purpose: </strong>Implementing intensity-modulated brachytherapy (IMBT) techniques with high-energy sources like 60Co has always been challenging due to the clinical limitations of the applicator dimensions. This study aims to investigate using tungsten trioxide nanoparticles/epoxy composite as a shielding material to enhance the protective properties of a redesigned applicator.</p><p><strong>Materials and methods: </strong>The Geant4 application to tomographic emission, the Geant4-based Monte Carlo dose calculation engine (version 9.0), was used to simulate the shielding composite and the IMBT technique with a voxelated patient-based phantom. To evaluate the effectiveness of the new shielding material, IMBT plans created with the redesigned applicator were compared with those with a conventional applicator. 60Co and 192Ir were utilized, and in the same high-risk clinical target volumes D90, the D2cc for the bladder and rectum were evaluated in 18 patients with vaginal cancer.</p><p><strong>Results: </strong>For the IMBT plans with the 60Co source, the use of the redesigned applicator decreased the D2cc of the bladder and rectum by 11.1% and 12.8%, respectively, while for those with the 192Ir source, the reduction was 16.6% and 18.7%, respectively. Nevertheless, there was an insignificant alteration in the absorbed dose parameter (D90) for the target using both sources.</p><p><strong>Conclusion: </strong>This study demonstrates that tungsten trioxide nanoparticle/epoxy composite can be advantageous in tackling radiation shielding concerns. Enhancing the shielding properties of this composite, considering the size limitations of applicators, leads to improved protection of organs at risk, such as the bladder and rectum. This substance can be considered a promising shielding material in the construction of applicators.</p>","PeriodicalId":94184,"journal":{"name":"Radiation oncology journal","volume":"43 1","pages":"22-29"},"PeriodicalIF":0.0000,"publicationDate":"2025-03-01","publicationTypes":"Journal Article","fieldsOfStudy":null,"isOpenAccess":false,"openAccessPdf":"https://www.ncbi.nlm.nih.gov/pmc/articles/PMC12010887/pdf/","citationCount":"0","resultStr":null,"platform":"Semanticscholar","paperid":null,"PeriodicalName":"Radiation oncology journal","FirstCategoryId":"1085","ListUrlMain":"https://doi.org/10.3857/roj.2024.00339","RegionNum":0,"RegionCategory":null,"ArticlePicture":[],"TitleCN":null,"AbstractTextCN":null,"PMCID":null,"EPubDate":"2025/3/27 0:00:00","PubModel":"Epub","JCR":"","JCRName":"","Score":null,"Total":0}
引用次数: 0

Abstract

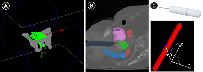
Purpose: Implementing intensity-modulated brachytherapy (IMBT) techniques with high-energy sources like 60Co has always been challenging due to the clinical limitations of the applicator dimensions. This study aims to investigate using tungsten trioxide nanoparticles/epoxy composite as a shielding material to enhance the protective properties of a redesigned applicator.

Materials and methods: The Geant4 application to tomographic emission, the Geant4-based Monte Carlo dose calculation engine (version 9.0), was used to simulate the shielding composite and the IMBT technique with a voxelated patient-based phantom. To evaluate the effectiveness of the new shielding material, IMBT plans created with the redesigned applicator were compared with those with a conventional applicator. 60Co and 192Ir were utilized, and in the same high-risk clinical target volumes D90, the D2cc for the bladder and rectum were evaluated in 18 patients with vaginal cancer.

Results: For the IMBT plans with the 60Co source, the use of the redesigned applicator decreased the D2cc of the bladder and rectum by 11.1% and 12.8%, respectively, while for those with the 192Ir source, the reduction was 16.6% and 18.7%, respectively. Nevertheless, there was an insignificant alteration in the absorbed dose parameter (D90) for the target using both sources.

Conclusion: This study demonstrates that tungsten trioxide nanoparticle/epoxy composite can be advantageous in tackling radiation shielding concerns. Enhancing the shielding properties of this composite, considering the size limitations of applicators, leads to improved protection of organs at risk, such as the bladder and rectum. This substance can be considered a promising shielding material in the construction of applicators.

Abstract Image

Abstract Image

Abstract Image

纳米wo3 /环氧复合材料在调强近距离治疗中的应用前景:模拟研究。
目的:由于涂抹器尺寸的临床限制,使用 60Co 等高能量源实施强度调制近距离放射治疗 (IMBT) 技术一直是一项挑战。本研究旨在研究使用三氧化钨纳米粒子/环氧树脂复合材料作为屏蔽材料,以增强重新设计的涂抹器的保护性能:使用 Geant4 应用程序(基于 Geant4 的蒙特卡罗剂量计算引擎(9.0 版))对屏蔽复合材料和 IMBT 技术与基于患者的体素模型进行了模拟。为了评估新屏蔽材料的有效性,将使用重新设计的涂抹器创建的 IMBT 计划与使用传统涂抹器创建的计划进行了比较。在相同的高风险临床靶体积 D90 中,使用 60Co 和 192Ir 对 18 名阴道癌患者的膀胱和直肠 D2cc 进行了评估:在使用 60Co 放射源的 IMBT 计划中,使用重新设计的涂抹器后,膀胱和直肠的 D2cc 分别减少了 11.1% 和 12.8%,而使用 192Ir 放射源的计划中,膀胱和直肠的 D2cc 分别减少了 16.6% 和 18.7%。尽管如此,使用这两种放射源的目标吸收剂量参数(D90)变化不大:这项研究表明,三氧化钨纳米粒子/环氧树脂复合材料在解决辐射屏蔽问题方面具有优势。考虑到涂抹器的尺寸限制,增强这种复合材料的屏蔽性能可改善对膀胱和直肠等危险器官的保护。在涂抹器的制造中,这种物质可被视为一种很有前途的屏蔽材料。
本文章由计算机程序翻译,如有差异,请以英文原文为准。
求助全文
约1分钟内获得全文 求助全文
来源期刊
CiteScore
3.80
自引率
0.00%
发文量
0
×
引用
GB/T 7714-2015
复制
MLA
复制
APA
复制
导出至
BibTeX EndNote RefMan NoteFirst NoteExpress
×
提示
您的信息不完整,为了账户安全,请先补充。
现在去补充
×
提示
您因"违规操作"
具体请查看互助需知
我知道了
×
提示
确定
请完成安全验证×
copy
已复制链接
快去分享给好友吧!
我知道了
右上角分享
点击右上角分享
0
联系我们:info@booksci.cn Book学术提供免费学术资源搜索服务,方便国内外学者检索中英文文献。致力于提供最便捷和优质的服务体验。 Copyright © 2023 布克学术 All rights reserved.
京ICP备2023020795号-1
ghs 京公网安备 11010802042870号
Book学术文献互助
Book学术文献互助群
群 号:604180095
Book学术官方微信