Evaluation of CE-MATRIX-Enhanced FLAIR imaging in the detection of leptomeningeal metastasis.

IF 3.5 2区 医学 Q2 ONCOLOGY
Junhui Yuan, Shaobo Fang, Fan Meng, Yue Wu, Dongqiu Shan, Chunmiao Xu, Renzhi Zhang, Xuejun Chen
{"title":"Evaluation of CE-MATRIX-Enhanced FLAIR imaging in the detection of leptomeningeal metastasis.","authors":"Junhui Yuan, Shaobo Fang, Fan Meng, Yue Wu, Dongqiu Shan, Chunmiao Xu, Renzhi Zhang, Xuejun Chen","doi":"10.1186/s40644-025-00867-z","DOIUrl":null,"url":null,"abstract":"<p><strong>Objective: </strong>To investigate the diagnostic value of CE-MATRIX-T1FLAIR and 3D CE-T2FLAIR sequences based on Contrast Enhancement Modulated flip Angle Technique in Refocused Imaging with eXtended echo train (CE-MATRIX) technology for detecting Leptomeningeal Metastasis (LM) using Fluid Attenuated Inversion Recovery (FLAIR) imaging.</p><p><strong>Methods: </strong>This prospective study included 563 hospitalized patients with clinically suspected LM, diagnosed with malignant tumors between January 2022 and October 2023 at Henan Cancer Hospital. Both CE-MATRIX-T1FLAIR and 3D CE-T2FLAIR sequences were used for imaging. Two radiologists independently evaluated image quality, diagnostic confidence, and objective measurements, diagnosing LM as positive or negative, with disagreements resolved by consultation. Subjective and objective scores were compared using the Wilcoxon signed-rank test. The diagnostic performance of the sequences was compared using ROC curve analysis, with cerebrospinal fluid (CSF) cytology as the gold standard. Sensitivity, specificity, positive predictive value (PPV), negative predictive value (NPV), accuracy, and area under the curve (AUC) values were calculated and compared using Z-tests.</p><p><strong>Results: </strong>LM was confirmed in 321 patients. CE-MATRIX-T1FLAIR showed superior subjective scores in image quality and diagnostic confidence (p < 0.001). Though CE-MATRIX-T1FLAIR had a lower SNR (p = 0.013), it demonstrated higher sensitivity, specificity, PPV, NPV, accuracy, and AUC than 3D CE-T2FLAIR (p < 0.001). Both sequences provided effective diagnosis and differentiation of LM.</p><p><strong>Conclusion: </strong>CE-MATRIX-T1FLAIR offers superior diagnostic performance compared to 3D CE-T2FLAIR for LM, with slightly better subjective ratings despite a lower SNR. Both sequences are effective for diagnosing LM.</p>","PeriodicalId":9548,"journal":{"name":"Cancer Imaging","volume":"25 1","pages":"53"},"PeriodicalIF":3.5000,"publicationDate":"2025-04-08","publicationTypes":"Journal Article","fieldsOfStudy":null,"isOpenAccess":false,"openAccessPdf":"https://www.ncbi.nlm.nih.gov/pmc/articles/PMC11980099/pdf/","citationCount":"0","resultStr":null,"platform":"Semanticscholar","paperid":null,"PeriodicalName":"Cancer Imaging","FirstCategoryId":"3","ListUrlMain":"https://doi.org/10.1186/s40644-025-00867-z","RegionNum":2,"RegionCategory":"医学","ArticlePicture":[],"TitleCN":null,"AbstractTextCN":null,"PMCID":null,"EPubDate":"","PubModel":"","JCR":"Q2","JCRName":"ONCOLOGY","Score":null,"Total":0}
引用次数: 0

Abstract

Objective: To investigate the diagnostic value of CE-MATRIX-T1FLAIR and 3D CE-T2FLAIR sequences based on Contrast Enhancement Modulated flip Angle Technique in Refocused Imaging with eXtended echo train (CE-MATRIX) technology for detecting Leptomeningeal Metastasis (LM) using Fluid Attenuated Inversion Recovery (FLAIR) imaging.

Methods: This prospective study included 563 hospitalized patients with clinically suspected LM, diagnosed with malignant tumors between January 2022 and October 2023 at Henan Cancer Hospital. Both CE-MATRIX-T1FLAIR and 3D CE-T2FLAIR sequences were used for imaging. Two radiologists independently evaluated image quality, diagnostic confidence, and objective measurements, diagnosing LM as positive or negative, with disagreements resolved by consultation. Subjective and objective scores were compared using the Wilcoxon signed-rank test. The diagnostic performance of the sequences was compared using ROC curve analysis, with cerebrospinal fluid (CSF) cytology as the gold standard. Sensitivity, specificity, positive predictive value (PPV), negative predictive value (NPV), accuracy, and area under the curve (AUC) values were calculated and compared using Z-tests.

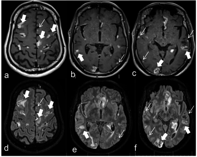
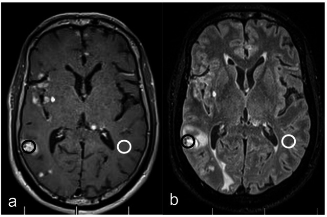
Results: LM was confirmed in 321 patients. CE-MATRIX-T1FLAIR showed superior subjective scores in image quality and diagnostic confidence (p < 0.001). Though CE-MATRIX-T1FLAIR had a lower SNR (p = 0.013), it demonstrated higher sensitivity, specificity, PPV, NPV, accuracy, and AUC than 3D CE-T2FLAIR (p < 0.001). Both sequences provided effective diagnosis and differentiation of LM.

Conclusion: CE-MATRIX-T1FLAIR offers superior diagnostic performance compared to 3D CE-T2FLAIR for LM, with slightly better subjective ratings despite a lower SNR. Both sequences are effective for diagnosing LM.

Abstract Image

Abstract Image

Abstract Image

ce - matrix增强FLAIR显像检测脑膜轻脑膜转移的价值评价。
目的:探讨基于对比度增强调制翻角技术的CE-MATRIX- t1flair和3D CE-T2FLAIR序列在扩展回声序列重聚焦成像(CE-MATRIX)技术中对液体衰减反转恢复(FLAIR)成像检测小脑膜转移(LM)的诊断价值。方法:本前瞻性研究纳入2022年1月至2023年10月河南省肿瘤医院563例临床疑似恶性肿瘤住院患者。使用CE-MATRIX-T1FLAIR和3D CE-T2FLAIR序列进行成像。两名放射科医生独立评估图像质量、诊断可信度和客观测量,诊断LM为阳性或阴性,分歧通过协商解决。主观和客观评分采用Wilcoxon符号秩检验进行比较。以脑脊液(CSF)细胞学为金标准,采用ROC曲线分析比较序列的诊断效果。计算敏感性、特异性、阳性预测值(PPV)、阴性预测值(NPV)、准确性和曲线下面积(AUC)值,并采用z检验进行比较。结果:321例患者确诊LM。CE-MATRIX-T1FLAIR在图像质量和诊断信心方面表现出更高的主观评分(p结论:与3D CE-T2FLAIR相比,CE-MATRIX-T1FLAIR对LM的诊断性能更好,尽管信噪比较低,但主观评分略高。两种序列对LM诊断均有效。
本文章由计算机程序翻译,如有差异,请以英文原文为准。
求助全文
约1分钟内获得全文 求助全文
来源期刊
Cancer Imaging
Cancer Imaging ONCOLOGY-RADIOLOGY, NUCLEAR MEDICINE & MEDICAL IMAGING
CiteScore
7.00
自引率
0.00%
发文量
66
审稿时长
>12 weeks
期刊介绍: Cancer Imaging is an open access, peer-reviewed journal publishing original articles, reviews and editorials written by expert international radiologists working in oncology. The journal encompasses CT, MR, PET, ultrasound, radionuclide and multimodal imaging in all kinds of malignant tumours, plus new developments, techniques and innovations. Topics of interest include: Breast Imaging Chest Complications of treatment Ear, Nose & Throat Gastrointestinal Hepatobiliary & Pancreatic Imaging biomarkers Interventional Lymphoma Measurement of tumour response Molecular functional imaging Musculoskeletal Neuro oncology Nuclear Medicine Paediatric.
×
引用
GB/T 7714-2015
复制
MLA
复制
APA
复制
导出至
BibTeX EndNote RefMan NoteFirst NoteExpress
×
提示
您的信息不完整,为了账户安全,请先补充。
现在去补充
×
提示
您因"违规操作"
具体请查看互助需知
我知道了
×
提示
确定
请完成安全验证×
copy
已复制链接
快去分享给好友吧!
我知道了
右上角分享
点击右上角分享
0
联系我们:info@booksci.cn Book学术提供免费学术资源搜索服务,方便国内外学者检索中英文文献。致力于提供最便捷和优质的服务体验。 Copyright © 2023 布克学术 All rights reserved.
京ICP备2023020795号-1
ghs 京公网安备 11010802042870号
Book学术文献互助
Book学术文献互助群
群 号:604180095
Book学术官方微信