Renal tuberculosis with genitourinary sequelae: a case report.

IF 1.7 4区 医学 Q4 INFECTIOUS DISEASES
Raphael Rocco, Bianca Balzano de la Fuente Villar, Laura da Cunha Ferreira, Remberto Maurício de La Cruz Vargas Vilte, Billy McBenedict, Natalia Chilinque Zambão da Silva, Karla Regina Oliveira de Moura Ronchini, Ianick Souto Martins, Danyelle Cristina de Souza, Patricia Yvonne Maciel Pinheiro, Ezequias Batista Martins
{"title":"Renal tuberculosis with genitourinary sequelae: a case report.","authors":"Raphael Rocco, Bianca Balzano de la Fuente Villar, Laura da Cunha Ferreira, Remberto Maurício de La Cruz Vargas Vilte, Billy McBenedict, Natalia Chilinque Zambão da Silva, Karla Regina Oliveira de Moura Ronchini, Ianick Souto Martins, Danyelle Cristina de Souza, Patricia Yvonne Maciel Pinheiro, Ezequias Batista Martins","doi":"10.1590/S1678-9946202567022","DOIUrl":null,"url":null,"abstract":"<p><p>Urogenital tuberculosis (UGT) constitutes a significant extrapulmonary form of tuberculosis, often presenting non-specific symptoms and a prolonged indolent course that leads to delayed diagnosis and treatment, which can result in severe and irreversible complications such as urinary strictures, renal failure, and infertility. This report describes a case of a 38-year-old man with a five-month history of low back pain, hematuria, dysuria, and altered urinary frequency. Initial treatment for a presumed urinary tract infection failed, and subsequent diagnostic investigations showed stones, nodules, and cysts in his left kidney. A positive tuberculin skin test confirmed the diagnosis of UGT and identification of Mycobacterium tuberculosis in urine samples. The patient underwent standard six-month antituberculosis therapy and subsequent retreatment due to persistent symptoms. Despite significant symptom amelioration, irreversible urological sequelae, including infundibular stenosis, polyuria, and nocturia, remained. This case underscores the importance of early suspicion, accurate diagnosis, and timely treatment of UGT to minimize long-term complications. It also highlights the potential need for extended treatment length in complex cases to improve outcomes and reduce sequelae, warranting further research in this area.</p>","PeriodicalId":54466,"journal":{"name":"Revista Do Instituto De Medicina Tropical De Sao Paulo","volume":"67 ","pages":"e22"},"PeriodicalIF":1.7000,"publicationDate":"2025-04-04","publicationTypes":"Journal Article","fieldsOfStudy":null,"isOpenAccess":false,"openAccessPdf":"https://www.ncbi.nlm.nih.gov/pmc/articles/PMC11981084/pdf/","citationCount":"0","resultStr":null,"platform":"Semanticscholar","paperid":null,"PeriodicalName":"Revista Do Instituto De Medicina Tropical De Sao Paulo","FirstCategoryId":"3","ListUrlMain":"https://doi.org/10.1590/S1678-9946202567022","RegionNum":4,"RegionCategory":"医学","ArticlePicture":[],"TitleCN":null,"AbstractTextCN":null,"PMCID":null,"EPubDate":"2025/1/1 0:00:00","PubModel":"eCollection","JCR":"Q4","JCRName":"INFECTIOUS DISEASES","Score":null,"Total":0}
引用次数: 0

Abstract

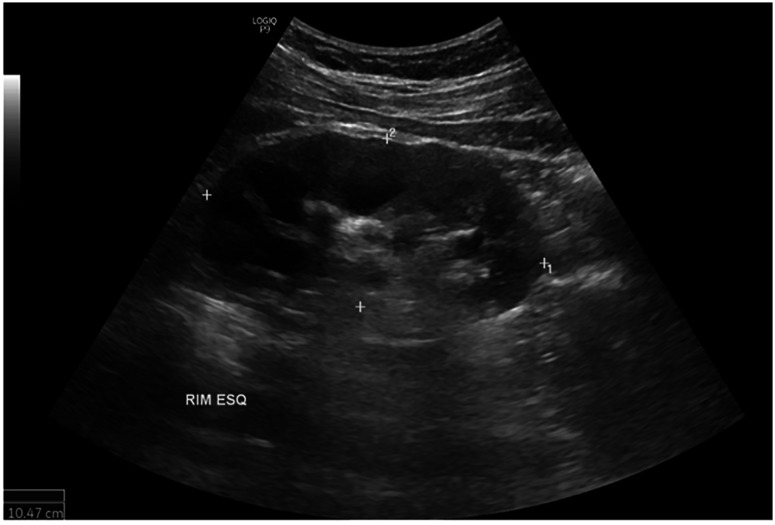
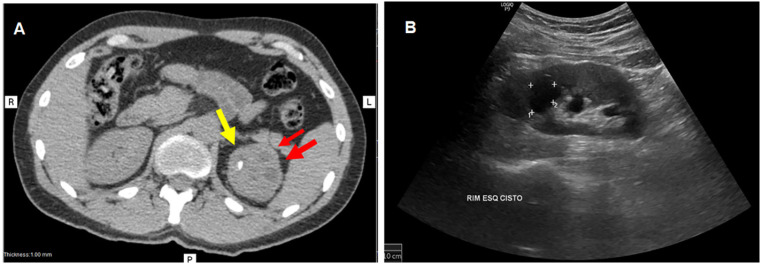
Urogenital tuberculosis (UGT) constitutes a significant extrapulmonary form of tuberculosis, often presenting non-specific symptoms and a prolonged indolent course that leads to delayed diagnosis and treatment, which can result in severe and irreversible complications such as urinary strictures, renal failure, and infertility. This report describes a case of a 38-year-old man with a five-month history of low back pain, hematuria, dysuria, and altered urinary frequency. Initial treatment for a presumed urinary tract infection failed, and subsequent diagnostic investigations showed stones, nodules, and cysts in his left kidney. A positive tuberculin skin test confirmed the diagnosis of UGT and identification of Mycobacterium tuberculosis in urine samples. The patient underwent standard six-month antituberculosis therapy and subsequent retreatment due to persistent symptoms. Despite significant symptom amelioration, irreversible urological sequelae, including infundibular stenosis, polyuria, and nocturia, remained. This case underscores the importance of early suspicion, accurate diagnosis, and timely treatment of UGT to minimize long-term complications. It also highlights the potential need for extended treatment length in complex cases to improve outcomes and reduce sequelae, warranting further research in this area.

Abstract Image

Abstract Image

Abstract Image

肾结核伴泌尿生殖系统后遗症1例。
泌尿生殖系统结核(UGT)是一种重要的肺外结核形式,通常表现为非特异性症状和长时间的惰性过程,导致诊断和治疗延迟,这可能导致严重和不可逆转的并发症,如尿道狭窄、肾功能衰竭和不孕症。本文报告一例38岁男性患者,有5个月的腰痛、血尿、排尿困难和尿频改变病史。初步治疗假定为尿路感染失败,随后的诊断检查显示左肾结石、结节和囊肿。结核菌素皮肤试验阳性证实了UGT的诊断和尿液样本中结核分枝杆菌的鉴定。患者接受了标准的6个月抗结核治疗,随后因症状持续而再次治疗。尽管症状明显改善,但不可逆的泌尿系统后遗症,包括肾小管狭窄、多尿和夜尿,仍然存在。该病例强调了早期怀疑、准确诊断和及时治疗UGT的重要性,以尽量减少长期并发症。它还强调了在复杂病例中延长治疗时间以改善结果和减少后遗症的潜在需求,值得在这一领域进行进一步研究。
本文章由计算机程序翻译,如有差异,请以英文原文为准。
求助全文
约1分钟内获得全文 求助全文
来源期刊
CiteScore
3.60
自引率
5.30%
发文量
100
审稿时长
6-12 weeks
期刊介绍: The Revista do Instituto de Medicina Tropical de São Paulo (Journal of the São Paulo Institute of Tropical Medicine) is a journal devoted to research on different aspects of tropical infectious diseases. The journal welcomes original work on all infectious diseases, provided that data and results are directly linked to human health. The journal publishes, besides original articles, review articles, case reports, brief communications, and letters to the editor. The journal publishes manuscripts only in English. From 2016 on, the Revista do Instituto de Medicina Tropical de São Paulo (Journal of the São Paulo Institute of Tropical Medicine) is published online only, maintaining the free access. For more information visit: - http://www.scielo.br/rimtsp - http://www.imt.usp.br/revista-imt/
×
引用
GB/T 7714-2015
复制
MLA
复制
APA
复制
导出至
BibTeX EndNote RefMan NoteFirst NoteExpress
×
提示
您的信息不完整,为了账户安全,请先补充。
现在去补充
×
提示
您因"违规操作"
具体请查看互助需知
我知道了
×
提示
确定
请完成安全验证×
copy
已复制链接
快去分享给好友吧!
我知道了
右上角分享
点击右上角分享
0
联系我们:info@booksci.cn Book学术提供免费学术资源搜索服务,方便国内外学者检索中英文文献。致力于提供最便捷和优质的服务体验。 Copyright © 2023 布克学术 All rights reserved.
京ICP备2023020795号-1
ghs 京公网安备 11010802042870号
Book学术文献互助
Book学术文献互助群
群 号:604180095
Book学术官方微信