[Scleromitrion diffusum reverses epithelial-mesenchymal transi-tion of gastric mucosa in rats with gastric precancerous lesions].

Q2 Medicine
Luping Ma, Xin Zuo, Weikai Zhu, Jiyan Li, Yanyan Zhao, Jingyuan Zhang, Hui Shen
{"title":"[<i>Scleromitrion diffusum</i> reverses epithelial-mesenchymal transi-tion of gastric mucosa in rats with gastric precancerous lesions].","authors":"Luping Ma, Xin Zuo, Weikai Zhu, Jiyan Li, Yanyan Zhao, Jingyuan Zhang, Hui Shen","doi":"10.3724/zdxbyxb-2024-0536","DOIUrl":null,"url":null,"abstract":"<p><strong>Objectives: </strong>To investigate the effect of <i>Scleromitrion diffusum</i> on gastric mucosal epithelial-mesenchymal transition (EMT) in rats with gastric precancerous lesion.</p><p><strong>Methods: </strong>Fifty SD rats were randomly divided into blank control group (<i>n</i>=11), model control group (<i>n</i>=13), <i>Scleromitrion diffusum</i> (SD) group (<i>n</i>=13) and vitase group (<i>n</i>=13). Gastric precancerous lesion animal model was prepared by 1-methyl-3-nitro-1-nitrosoguanidine complex polyfactor method, and the drugs were administrated by gavage once a day for 6 weeks. The pathological changes of gastric mucosa were observed with hematoxylin and eosin staining, the expression of EMT marker proteins were detected with immunohistochemical staining and Western blotting.</p><p><strong>Results: </strong>Compared with the model control group, the gastric mucosal injury was significantly attenuated in the <i>Scleromitrion diffusum</i> group, the mucosal tissue structure gradually recovered, the saccular expansion area was reduced, and the inflammatory infiltration was ameliorated. The expression of epithelial cadherin was higher, and the expression of neural cadherin and vimentin in the <i>Scleromitrion diffusum</i> group were lower than those of model control group (all <i>P</i><0.05).</p><p><strong>Conclusions: </strong><i>Scleromitrion diffusum</i> can ameliorate gastric mucosal injury in rats with gastric precancerous lesion by reversing the EMT.</p>","PeriodicalId":24007,"journal":{"name":"Zhejiang da xue xue bao. Yi xue ban = Journal of Zhejiang University. Medical sciences","volume":" ","pages":"342-349"},"PeriodicalIF":0.0000,"publicationDate":"2025-05-25","publicationTypes":"Journal Article","fieldsOfStudy":null,"isOpenAccess":false,"openAccessPdf":"https://www.ncbi.nlm.nih.gov/pmc/articles/PMC12176539/pdf/","citationCount":"0","resultStr":null,"platform":"Semanticscholar","paperid":null,"PeriodicalName":"Zhejiang da xue xue bao. Yi xue ban = Journal of Zhejiang University. Medical sciences","FirstCategoryId":"1085","ListUrlMain":"https://doi.org/10.3724/zdxbyxb-2024-0536","RegionNum":0,"RegionCategory":null,"ArticlePicture":[],"TitleCN":null,"AbstractTextCN":null,"PMCID":null,"EPubDate":"","PubModel":"","JCR":"Q2","JCRName":"Medicine","Score":null,"Total":0}
引用次数: 0

Abstract

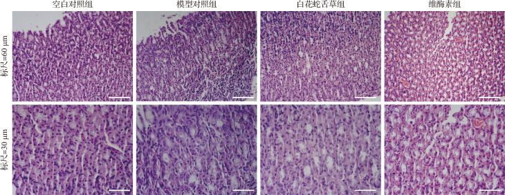
Objectives: To investigate the effect of Scleromitrion diffusum on gastric mucosal epithelial-mesenchymal transition (EMT) in rats with gastric precancerous lesion.

Methods: Fifty SD rats were randomly divided into blank control group (n=11), model control group (n=13), Scleromitrion diffusum (SD) group (n=13) and vitase group (n=13). Gastric precancerous lesion animal model was prepared by 1-methyl-3-nitro-1-nitrosoguanidine complex polyfactor method, and the drugs were administrated by gavage once a day for 6 weeks. The pathological changes of gastric mucosa were observed with hematoxylin and eosin staining, the expression of EMT marker proteins were detected with immunohistochemical staining and Western blotting.

Results: Compared with the model control group, the gastric mucosal injury was significantly attenuated in the Scleromitrion diffusum group, the mucosal tissue structure gradually recovered, the saccular expansion area was reduced, and the inflammatory infiltration was ameliorated. The expression of epithelial cadherin was higher, and the expression of neural cadherin and vimentin in the Scleromitrion diffusum group were lower than those of model control group (all P<0.05).

Conclusions: Scleromitrion diffusum can ameliorate gastric mucosal injury in rats with gastric precancerous lesion by reversing the EMT.

Abstract Image

Abstract Image

Abstract Image

扩散硬膜逆转胃癌前病变大鼠胃黏膜上皮间充质转化。
目的:探讨弥散硬粒对胃癌前病变大鼠胃黏膜上皮间质转化(EMT)的影响。方法:50只SD大鼠随机分为空白对照组(n=11)、模型对照组(n=13)、弥漫性硬化剂组(n=13)和维生素酶组(n=13)。采用1-甲基-3-硝基-1-亚硝基胍复合多因子法制备胃癌前病变动物模型,造模成功后灌胃给药,每天1次,连续6周。苏木精-伊红染色观察大鼠胃黏膜病理变化,免疫组化染色和Western blotting检测EMT标记蛋白的表达。结果:与模型对照组比较,SD组大鼠胃黏膜损伤明显减轻,黏膜组织结构逐渐恢复,囊状扩张面积减小,炎症浸润改善。与模型对照组相比,上皮细胞钙粘蛋白表达水平升高,神经细胞钙粘蛋白和静脉溶蛋白表达水平降低(均p)。结论:弥漫性硬颗粒可通过逆转上皮间质转化,改善胃癌前病变大鼠胃粘膜损伤。
本文章由计算机程序翻译,如有差异,请以英文原文为准。
求助全文
约1分钟内获得全文 求助全文
来源期刊
CiteScore
3.80
自引率
0.00%
发文量
67
×
引用
GB/T 7714-2015
复制
MLA
复制
APA
复制
导出至
BibTeX EndNote RefMan NoteFirst NoteExpress
×
提示
您的信息不完整,为了账户安全,请先补充。
现在去补充
×
提示
您因"违规操作"
具体请查看互助需知
我知道了
×
提示
确定
请完成安全验证×
copy
已复制链接
快去分享给好友吧!
我知道了
右上角分享
点击右上角分享
0
联系我们:info@booksci.cn Book学术提供免费学术资源搜索服务,方便国内外学者检索中英文文献。致力于提供最便捷和优质的服务体验。 Copyright © 2023 布克学术 All rights reserved.
京ICP备2023020795号-1
ghs 京公网安备 11010802042870号
Book学术文献互助
Book学术文献互助群
群 号:604180095
Book学术官方微信