Anti-Tumor Effects of Gilteritinib on FLT3 Mutations: Insights into Resistance Mechanisms in Ba/F3 Cell Models.

IF 2.8 4区 医学 Q3 BIOTECHNOLOGY & APPLIED MICROBIOLOGY
OncoTargets and therapy Pub Date : 2025-04-03 eCollection Date: 2025-01-01 DOI:10.2147/OTT.S479519
Taisuke Nakazawa, Hirofumi Tsuzuki, Tatsuya Kawase, Masamichi Mori, Taku Yoshida
{"title":"Anti-Tumor Effects of Gilteritinib on <i>FLT3</i> Mutations: Insights into Resistance Mechanisms in Ba/F3 Cell Models.","authors":"Taisuke Nakazawa, Hirofumi Tsuzuki, Tatsuya Kawase, Masamichi Mori, Taku Yoshida","doi":"10.2147/OTT.S479519","DOIUrl":null,"url":null,"abstract":"<p><strong>Background: </strong>The efficacy of Fms-like tyrosine kinase 3 (FLT3) inhibitors has been well established against acute myeloid leukemia (AML) with <i>FLT3</i> internal tandem duplication (<i>FLT3</i>-ITD) mutations. However, comparative data on the available inhibitors are limited, and drug resistance remains a major concern.</p><p><strong>Methods: </strong>This study examined the inhibitory effects of gilteritinib, quizartinib and midostaurin on Ba/F3 cells with <i>FLT3</i>-ITD mutations, or point mutations in the tyrosine kinase domain (TKD-PM) or juxtamembrane domain (JMD-PM), both in vitro and in vivo. Quizartinib and midostaurin were selected as comparators due to their clinical relevance in the AML setting and differing mechanisms of action.</p><p><strong>Results: </strong>Gilteritinib showed similar or superior growth inhibition against the majority of <i>FLT3</i>-TKD-PM or <i>FLT3</i>-JMD-PM cells compared to <i>FLT3</i>-ITD-mutant cells. In contrast, the inhibitory effects of quizartinib were reduced on cells with most types of <i>FLT3</i>-TKD-PM, and the inhibitory effects of midostaurin were attenuated on cells with <i>FLT3</i>-TKD-PM N676K. Gilteritinib also effectively suppressed FLT3 autophosphorylation and phosphorylation of signal transducer and activator of transcription 5 (STAT5), AKT and extracellular signal-regulated kinase (ERK) in <i>FLT3</i>-TKD-PM cells, while quizartinib showed a reduced inhibitory effect on FLT3 autophosphorylation and phosphorylation of downstream signaling molecules in <i>FLT3</i>-TKD-PM cells. In mice xenografted with Ba/F3 cells expressing <i>FLT3</i>-ITD mutations or <i>FLT3</i>-TKD-PM, gilteritinib showed a potent antitumor effect, whereas the antitumor effect of quizartinib was significantly diminished in the <i>FLT3</i>-TKD-PM xenograft model.</p><p><strong>Conclusion: </strong>These findings highlight the potent efficacy of gilteritinib against a wide range of <i>FLT3</i> mutations, including TKD-PM and JMD-PM, as well as those associated with resistance to quizartinib or midostaurin. This comparative analysis underscores the need for tailored therapeutic strategies in AML treatment, emphasizing the clinical significance of gilteritinib in overcoming drug resistance.</p>","PeriodicalId":19534,"journal":{"name":"OncoTargets and therapy","volume":"18 ","pages":"489-501"},"PeriodicalIF":2.8000,"publicationDate":"2025-04-03","publicationTypes":"Journal Article","fieldsOfStudy":null,"isOpenAccess":false,"openAccessPdf":"https://www.ncbi.nlm.nih.gov/pmc/articles/PMC11974573/pdf/","citationCount":"0","resultStr":null,"platform":"Semanticscholar","paperid":null,"PeriodicalName":"OncoTargets and therapy","FirstCategoryId":"3","ListUrlMain":"https://doi.org/10.2147/OTT.S479519","RegionNum":4,"RegionCategory":"医学","ArticlePicture":[],"TitleCN":null,"AbstractTextCN":null,"PMCID":null,"EPubDate":"2025/1/1 0:00:00","PubModel":"eCollection","JCR":"Q3","JCRName":"BIOTECHNOLOGY & APPLIED MICROBIOLOGY","Score":null,"Total":0}
引用次数: 0

Abstract

Background: The efficacy of Fms-like tyrosine kinase 3 (FLT3) inhibitors has been well established against acute myeloid leukemia (AML) with FLT3 internal tandem duplication (FLT3-ITD) mutations. However, comparative data on the available inhibitors are limited, and drug resistance remains a major concern.

Methods: This study examined the inhibitory effects of gilteritinib, quizartinib and midostaurin on Ba/F3 cells with FLT3-ITD mutations, or point mutations in the tyrosine kinase domain (TKD-PM) or juxtamembrane domain (JMD-PM), both in vitro and in vivo. Quizartinib and midostaurin were selected as comparators due to their clinical relevance in the AML setting and differing mechanisms of action.

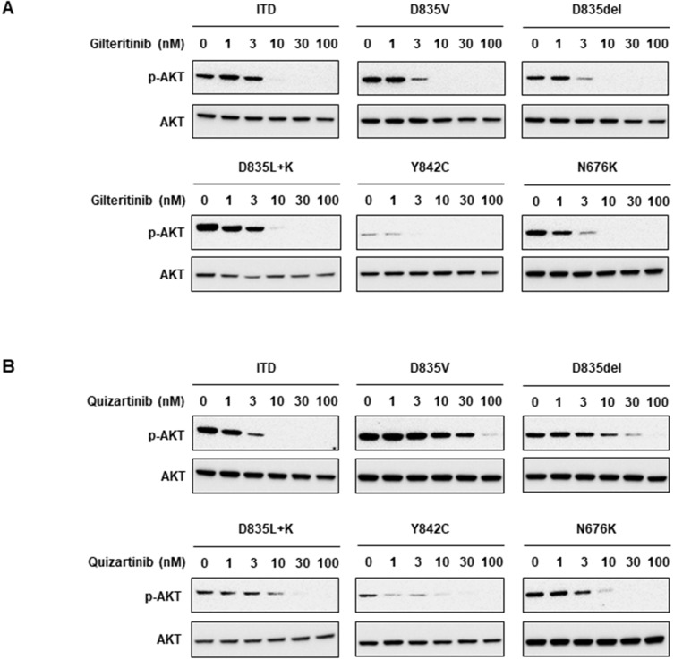
Results: Gilteritinib showed similar or superior growth inhibition against the majority of FLT3-TKD-PM or FLT3-JMD-PM cells compared to FLT3-ITD-mutant cells. In contrast, the inhibitory effects of quizartinib were reduced on cells with most types of FLT3-TKD-PM, and the inhibitory effects of midostaurin were attenuated on cells with FLT3-TKD-PM N676K. Gilteritinib also effectively suppressed FLT3 autophosphorylation and phosphorylation of signal transducer and activator of transcription 5 (STAT5), AKT and extracellular signal-regulated kinase (ERK) in FLT3-TKD-PM cells, while quizartinib showed a reduced inhibitory effect on FLT3 autophosphorylation and phosphorylation of downstream signaling molecules in FLT3-TKD-PM cells. In mice xenografted with Ba/F3 cells expressing FLT3-ITD mutations or FLT3-TKD-PM, gilteritinib showed a potent antitumor effect, whereas the antitumor effect of quizartinib was significantly diminished in the FLT3-TKD-PM xenograft model.

Conclusion: These findings highlight the potent efficacy of gilteritinib against a wide range of FLT3 mutations, including TKD-PM and JMD-PM, as well as those associated with resistance to quizartinib or midostaurin. This comparative analysis underscores the need for tailored therapeutic strategies in AML treatment, emphasizing the clinical significance of gilteritinib in overcoming drug resistance.

Abstract Image

Abstract Image

Abstract Image

吉尔替尼对FLT3突变的抗肿瘤作用:Ba/F3细胞模型的耐药机制
背景:Fms样酪氨酸激酶3(FLT3)抑制剂对FLT3内部串联重复(FLT3-ITD)突变的急性髓性白血病(AML)的疗效已得到证实。然而,现有抑制剂的比较数据有限,耐药性仍是一个主要问题:本研究考察了吉特替尼、喹沙替尼和米多司他林在体外和体内对FLT3-ITD突变或酪氨酸激酶结构域(TKD-PM)或并膜结构域(JMD-PM)点突变的Ba/F3细胞的抑制作用。由于奎沙替尼和米哚妥林在急性髓细胞性白血病治疗中的临床相关性和不同的作用机制,因此选择这两种药物作为比较对象:与FLT3-ITD突变细胞相比,吉利替尼对大多数FLT3-TKD-PM或FLT3-JMD-PM细胞的生长抑制作用相似或更优。相反,喹沙替尼对大多数类型的FLT3-TKD-PM细胞的抑制作用减弱,米哚妥林对FLT3-TKD-PM N676K细胞的抑制作用减弱。吉罗替尼还能有效抑制FLT3-TKD-PM细胞中的FLT3自身磷酸化以及信号转导和转录激活因子5(STAT5)、AKT和细胞外信号调节激酶(ERK)的磷酸化,而奎沙替尼对FLT3-TKD-PM细胞中的FLT3自身磷酸化和下游信号分子磷酸化的抑制作用减弱。在表达FLT3-ITD突变或FLT3-TKD-PM的Ba/F3细胞异种移植小鼠中,吉特替尼显示出了强大的抗肿瘤作用,而在FLT3-TKD-PM异种移植模型中,喹沙替尼的抗肿瘤作用则明显减弱:这些发现凸显了吉特替尼对包括TKD-PM和JMD-PM在内的多种FLT3突变以及对奎沙替尼或米哚妥林耐药的FLT3突变的强大疗效。这项比较分析强调了在急性髓细胞性白血病治疗中采用定制化治疗策略的必要性,并强调了吉特替尼在克服耐药性方面的临床意义。
本文章由计算机程序翻译,如有差异,请以英文原文为准。
求助全文
约1分钟内获得全文 求助全文
来源期刊
OncoTargets and therapy
OncoTargets and therapy BIOTECHNOLOGY & APPLIED MICROBIOLOGY-ONCOLOGY
CiteScore
9.70
自引率
0.00%
发文量
221
审稿时长
1 months
期刊介绍: OncoTargets and Therapy is an international, peer-reviewed journal focusing on molecular aspects of cancer research, that is, the molecular diagnosis of and targeted molecular or precision therapy for all types of cancer. The journal is characterized by the rapid reporting of high-quality original research, basic science, reviews and evaluations, expert opinion and commentary that shed novel insight on a cancer or cancer subtype. Specific topics covered by the journal include: -Novel therapeutic targets and innovative agents -Novel therapeutic regimens for improved benefit and/or decreased side effects -Early stage clinical trials Further considerations when submitting to OncoTargets and Therapy: -Studies containing in vivo animal model data will be considered favorably. -Tissue microarray analyses will not be considered except in cases where they are supported by comprehensive biological studies involving multiple cell lines. -Biomarker association studies will be considered only when validated by comprehensive in vitro data and analysis of human tissue samples. -Studies utilizing publicly available data (e.g. GWAS/TCGA/GEO etc.) should add to the body of knowledge about a specific disease or relevant phenotype and must be validated using the authors’ own data through replication in an independent sample set and functional follow-up. -Bioinformatics studies must be validated using the authors’ own data through replication in an independent sample set and functional follow-up. -Single nucleotide polymorphism (SNP) studies will not be considered.
×
引用
GB/T 7714-2015
复制
MLA
复制
APA
复制
导出至
BibTeX EndNote RefMan NoteFirst NoteExpress
×
提示
您的信息不完整,为了账户安全,请先补充。
现在去补充
×
提示
您因"违规操作"
具体请查看互助需知
我知道了
×
提示
确定
请完成安全验证×
copy
已复制链接
快去分享给好友吧!
我知道了
右上角分享
点击右上角分享
0
联系我们:info@booksci.cn Book学术提供免费学术资源搜索服务,方便国内外学者检索中英文文献。致力于提供最便捷和优质的服务体验。 Copyright © 2023 布克学术 All rights reserved.
京ICP备2023020795号-1
ghs 京公网安备 11010802042870号
Book学术文献互助
Book学术文献互助群
群 号:604180095
Book学术官方微信