Utilization of a steerable microcatheter and adjunctive techniques for prostatic artery embolization in anatomically challenging vesicoprostatic trunks.

IF 1.7 4区 医学 Q3 RADIOLOGY, NUCLEAR MEDICINE & MEDICAL IMAGING
Diagnostic and interventional radiology Pub Date : 2025-09-08 Epub Date: 2025-04-07 DOI:10.4274/dir.2025.243198
Hippocrates Moschouris, Çağın Şentürk, Konstantinos Stamatiou
{"title":"Utilization of a steerable microcatheter and adjunctive techniques for prostatic artery embolization in anatomically challenging vesicoprostatic trunks.","authors":"Hippocrates Moschouris, Çağın Şentürk, Konstantinos Stamatiou","doi":"10.4274/dir.2025.243198","DOIUrl":null,"url":null,"abstract":"<p><p>Prostatic artery (PA) origination from a common trunk with the superior vesical artery (SVA) is a frequent cause of technical difficulties in PA catheterization for PA embolization (PAE). These difficulties, which substantially increase the operative time, radiation dose, cost, and technical failure rate of PAE, can often be overcome by the utilization of a steerable microcatheter (MC) with a tip that can be manually adjusted at an angle that optimally conforms to the shape and origin of the common vesicoprostatic trunk. Adjunctive techniques that can be applied when the steerable MC fails to engage the PA include: 1) the protective temporary embolization of the SVA so that a permanent embolic can be redirected into the PA; 2) PAE via collaterals between superior vesical branches and the PA; and 3) embolization from a proximal position of the MC near the PA orifice to exploit preferential flow to the PA. In the authors' recent experience, the utilization of a steerable MC with and without adjunctive techniques (in 12 and 23 patients, respectively) resulted in a 35% increase in the technically successful embolization of PAs originating from vesicoprostatic trunks with no significant complications. Familiarization with alternative devices and techniques may substantially improve the technical outcome of PAE in cases with challenging arterial anatomy.</p>","PeriodicalId":11341,"journal":{"name":"Diagnostic and interventional radiology","volume":" ","pages":"496-501"},"PeriodicalIF":1.7000,"publicationDate":"2025-09-08","publicationTypes":"Journal Article","fieldsOfStudy":null,"isOpenAccess":false,"openAccessPdf":"https://www.ncbi.nlm.nih.gov/pmc/articles/PMC12417901/pdf/","citationCount":"0","resultStr":null,"platform":"Semanticscholar","paperid":null,"PeriodicalName":"Diagnostic and interventional radiology","FirstCategoryId":"3","ListUrlMain":"https://doi.org/10.4274/dir.2025.243198","RegionNum":4,"RegionCategory":"医学","ArticlePicture":[],"TitleCN":null,"AbstractTextCN":null,"PMCID":null,"EPubDate":"2025/4/7 0:00:00","PubModel":"Epub","JCR":"Q3","JCRName":"RADIOLOGY, NUCLEAR MEDICINE & MEDICAL IMAGING","Score":null,"Total":0}
引用次数: 0

Abstract

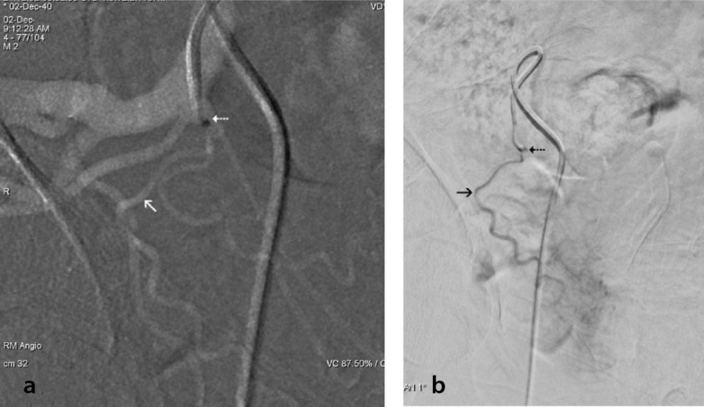
Prostatic artery (PA) origination from a common trunk with the superior vesical artery (SVA) is a frequent cause of technical difficulties in PA catheterization for PA embolization (PAE). These difficulties, which substantially increase the operative time, radiation dose, cost, and technical failure rate of PAE, can often be overcome by the utilization of a steerable microcatheter (MC) with a tip that can be manually adjusted at an angle that optimally conforms to the shape and origin of the common vesicoprostatic trunk. Adjunctive techniques that can be applied when the steerable MC fails to engage the PA include: 1) the protective temporary embolization of the SVA so that a permanent embolic can be redirected into the PA; 2) PAE via collaterals between superior vesical branches and the PA; and 3) embolization from a proximal position of the MC near the PA orifice to exploit preferential flow to the PA. In the authors' recent experience, the utilization of a steerable MC with and without adjunctive techniques (in 12 and 23 patients, respectively) resulted in a 35% increase in the technically successful embolization of PAs originating from vesicoprostatic trunks with no significant complications. Familiarization with alternative devices and techniques may substantially improve the technical outcome of PAE in cases with challenging arterial anatomy.

Abstract Image

Abstract Image

Abstract Image

在解剖上具有挑战性的膀胱前列腺干中应用可操纵微导管和辅助技术进行前列腺动脉栓塞。
前列腺动脉(PA)起源于膀胱上动脉(SVA)的共同干,是前列腺动脉栓塞(PAE)导管置入技术困难的常见原因。这些困难,大大增加了PAE的手术时间、辐射剂量、成本和技术失败率,通常可以通过使用可操纵微导管(MC)来克服,该微导管的尖端可以手动调整到最佳角度,以符合膀胱前列腺主干的形状和起源。当可操纵的MC无法与PA接合时,可应用的辅助技术包括:1)对SVA进行保护性临时栓塞,以便永久性栓塞可以重新定向到PA;2)膀胱上支与膀胱旁支间的侧支发生PAE;3)在靠近PA孔的MC近端位置进行栓塞,以利用流向PA的优先血流。根据作者最近的经验,在有辅助技术和没有辅助技术的情况下(分别在12例和23例患者中),使用可操纵的MC,技术上成功栓塞起源于膀胱前列腺干的PAs的几率增加了35%,没有明显的并发症。熟悉替代设备和技术可以大大改善动脉解剖困难病例PAE的技术结果。
本文章由计算机程序翻译,如有差异,请以英文原文为准。
求助全文
约1分钟内获得全文 求助全文
来源期刊
Diagnostic and interventional radiology
Diagnostic and interventional radiology Medicine-Radiology, Nuclear Medicine and Imaging
自引率
4.80%
发文量
0
期刊介绍: Diagnostic and Interventional Radiology (Diagn Interv Radiol) is the open access, online-only official publication of Turkish Society of Radiology. It is published bimonthly and the journal’s publication language is English. The journal is a medium for original articles, reviews, pictorial essays, technical notes related to all fields of diagnostic and interventional radiology.
×
引用
GB/T 7714-2015
复制
MLA
复制
APA
复制
导出至
BibTeX EndNote RefMan NoteFirst NoteExpress
×
提示
您的信息不完整,为了账户安全,请先补充。
现在去补充
×
提示
您因"违规操作"
具体请查看互助需知
我知道了
×
提示
确定
请完成安全验证×
copy
已复制链接
快去分享给好友吧!
我知道了
右上角分享
点击右上角分享
0
联系我们:info@booksci.cn Book学术提供免费学术资源搜索服务,方便国内外学者检索中英文文献。致力于提供最便捷和优质的服务体验。 Copyright © 2023 布克学术 All rights reserved.
京ICP备2023020795号-1
ghs 京公网安备 11010802042870号
Book学术文献互助
Book学术文献互助群
群 号:604180095
Book学术官方微信