Primary Eosinophilic Panniculitis of the Greater Omentum in a Young Girl: A Case Report.

IF 0.6 Q4 GASTROENTEROLOGY & HEPATOLOGY
Case Reports in Gastroenterology Pub Date : 2025-04-07 eCollection Date: 2025-01-01 DOI:10.1159/000544861
Masayuki Shintaku, Tokiko Okunobo, Hiroki Nakamura, Takashi Doi, Akira Tanaka, Koji Tsuta
{"title":"Primary Eosinophilic Panniculitis of the Greater Omentum in a Young Girl: A Case Report.","authors":"Masayuki Shintaku, Tokiko Okunobo, Hiroki Nakamura, Takashi Doi, Akira Tanaka, Koji Tsuta","doi":"10.1159/000544861","DOIUrl":null,"url":null,"abstract":"<p><strong>Introduction: </strong>Primary (or idiopathic) panniculitis involving the intra-abdominal adipose tissue is rare, and its pathogenesis remains unknown. A case of primary eosinophilic panniculitis that involved the greater omentum of a girl is reported.</p><p><strong>Case presentation: </strong>The patient, an 11-year-old girl, complained of dull periumbilical pain and nausea, and radiological examination showed a mass lesion in the abdomino-pelvic cavity. On laparoscopy, a plaque-like, flat mass was seen in the greater omentum, and laparoscopic omental resection was performed. On histopathological examination, the interlobular fibrous septa of omental adipose tissue were widened by inflammatory edema, prominent infiltration of eosinophils, and loose proliferation of myofibroblasts. Dense lymphocytic infiltration was also noted around small veins. Inflammatory changes were mild in the fat lobules, and fat necrosis and infiltration of lipid-laden macrophages were absent. Findings of obliterative phlebitis or arteritis were not seen.</p><p><strong>Conclusion: </strong>Isolated involvement of the omentum by a panniculitic process is rare, and the pathogenesis of eosinophilic septal panniculitis found in the present case remains unknown, but involvement of a hypersensitivity reaction against some unknown stimuli is presumed, based on the histopathological resemblance of the omental lesions to erythema nodosum or eosinophilic panniculitis of the skin. We should keep in mind the possibility that the omental lesion in this patient is a harbinger of more serious immunological disorders. Careful, long-term follow-up and monitoring of the patient are needed.</p>","PeriodicalId":9614,"journal":{"name":"Case Reports in Gastroenterology","volume":"19 1","pages":"268-275"},"PeriodicalIF":0.6000,"publicationDate":"2025-04-07","publicationTypes":"Journal Article","fieldsOfStudy":null,"isOpenAccess":false,"openAccessPdf":"https://www.ncbi.nlm.nih.gov/pmc/articles/PMC11975329/pdf/","citationCount":"0","resultStr":null,"platform":"Semanticscholar","paperid":null,"PeriodicalName":"Case Reports in Gastroenterology","FirstCategoryId":"1085","ListUrlMain":"https://doi.org/10.1159/000544861","RegionNum":0,"RegionCategory":null,"ArticlePicture":[],"TitleCN":null,"AbstractTextCN":null,"PMCID":null,"EPubDate":"2025/1/1 0:00:00","PubModel":"eCollection","JCR":"Q4","JCRName":"GASTROENTEROLOGY & HEPATOLOGY","Score":null,"Total":0}
引用次数: 0

Abstract

Introduction: Primary (or idiopathic) panniculitis involving the intra-abdominal adipose tissue is rare, and its pathogenesis remains unknown. A case of primary eosinophilic panniculitis that involved the greater omentum of a girl is reported.

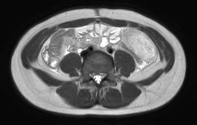
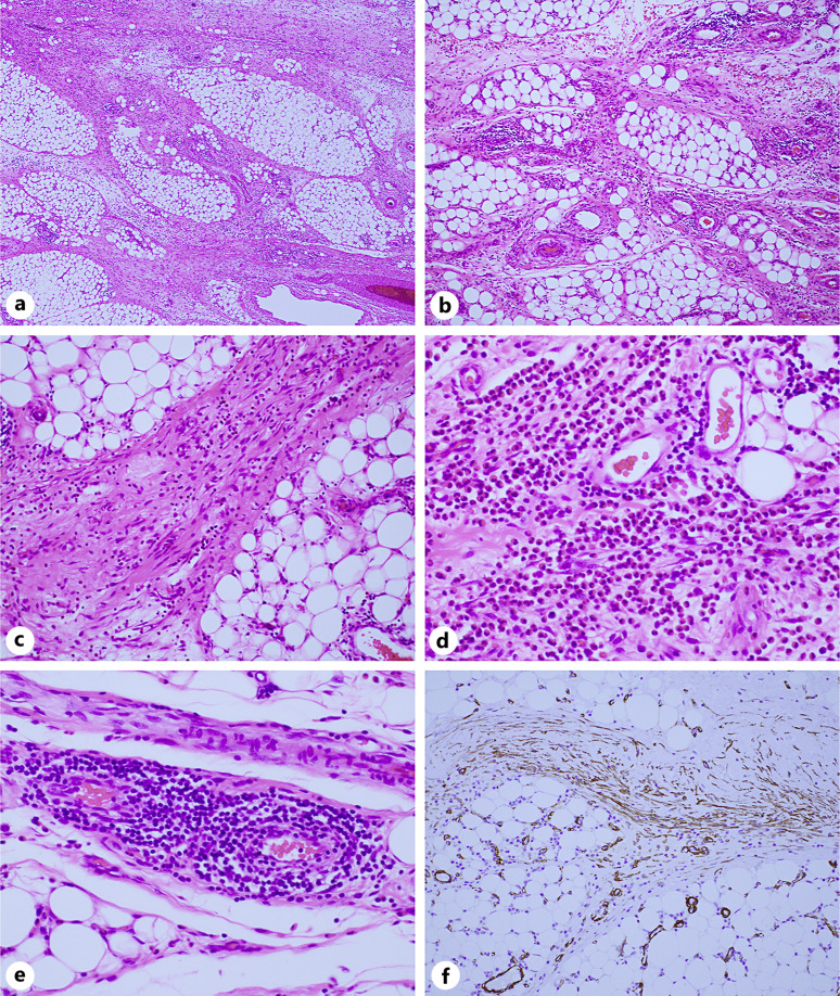
Case presentation: The patient, an 11-year-old girl, complained of dull periumbilical pain and nausea, and radiological examination showed a mass lesion in the abdomino-pelvic cavity. On laparoscopy, a plaque-like, flat mass was seen in the greater omentum, and laparoscopic omental resection was performed. On histopathological examination, the interlobular fibrous septa of omental adipose tissue were widened by inflammatory edema, prominent infiltration of eosinophils, and loose proliferation of myofibroblasts. Dense lymphocytic infiltration was also noted around small veins. Inflammatory changes were mild in the fat lobules, and fat necrosis and infiltration of lipid-laden macrophages were absent. Findings of obliterative phlebitis or arteritis were not seen.

Conclusion: Isolated involvement of the omentum by a panniculitic process is rare, and the pathogenesis of eosinophilic septal panniculitis found in the present case remains unknown, but involvement of a hypersensitivity reaction against some unknown stimuli is presumed, based on the histopathological resemblance of the omental lesions to erythema nodosum or eosinophilic panniculitis of the skin. We should keep in mind the possibility that the omental lesion in this patient is a harbinger of more serious immunological disorders. Careful, long-term follow-up and monitoring of the patient are needed.

Abstract Image

Abstract Image

Abstract Image

Abstract Image

Abstract Image

Abstract Image

年轻女孩原发性大网膜嗜酸性泛膜炎1例报告。
简介:原发性(或特发性)腹膜炎累及腹腔内脂肪组织是罕见的,其发病机制尚不清楚。一例原发性嗜酸性泛膜炎,涉及大网膜的一个女孩的报告。病例介绍:患者,一名11岁女孩,主诉钝性脐周疼痛和恶心,放射检查显示腹盆腔肿块病变。腹腔镜下,在大网膜内发现斑块状扁平肿块,行腹腔镜大网膜切除术。组织病理学检查显示,大网膜脂肪组织小叶间纤维间隔因炎性水肿、嗜酸性粒细胞明显浸润和肌成纤维细胞松散增生而变宽。小静脉周围可见密集淋巴细胞浸润。脂肪小叶轻度炎性改变,未见脂肪坏死和脂质巨噬细胞浸润。未见闭塞性静脉炎或动脉炎。结论:孤立性大网膜受累是罕见的,本病例中发现的嗜酸性中隔泛膜炎的发病机制尚不清楚,但根据大网膜病变与结节性红斑或皮肤嗜酸性泛膜炎的组织病理学相似性,推测涉及对某些未知刺激的超敏反应。我们应该记住,这个病人的大网膜病变可能是更严重的免疫紊乱的先兆。需要对患者进行仔细、长期的随访和监测。
本文章由计算机程序翻译,如有差异,请以英文原文为准。
求助全文
约1分钟内获得全文 求助全文
来源期刊
Case Reports in Gastroenterology
Case Reports in Gastroenterology Medicine-Gastroenterology
CiteScore
1.10
自引率
0.00%
发文量
99
审稿时长
7 weeks
期刊介绍:
×
引用
GB/T 7714-2015
复制
MLA
复制
APA
复制
导出至
BibTeX EndNote RefMan NoteFirst NoteExpress
×
提示
您的信息不完整,为了账户安全,请先补充。
现在去补充
×
提示
您因"违规操作"
具体请查看互助需知
我知道了
×
提示
确定
请完成安全验证×
copy
已复制链接
快去分享给好友吧!
我知道了
右上角分享
点击右上角分享
0
联系我们:info@booksci.cn Book学术提供免费学术资源搜索服务,方便国内外学者检索中英文文献。致力于提供最便捷和优质的服务体验。 Copyright © 2023 布克学术 All rights reserved.
京ICP备2023020795号-1
ghs 京公网安备 11010802042870号
Book学术文献互助
Book学术文献互助群
群 号:604180095
Book学术官方微信