The interaction between CTGF and VEGF-A in the progression of intervertebral disc fibrosis.

IF 0.9
Wangbing Xu, Jiqin Zhong, Jianrong Jian, Faming Zhong
{"title":"The interaction between CTGF and VEGF-A in the progression of intervertebral disc fibrosis.","authors":"Wangbing Xu, Jiqin Zhong, Jianrong Jian, Faming Zhong","doi":"10.4314/ahs.v24i4.36","DOIUrl":null,"url":null,"abstract":"<p><strong>Background: </strong>Fibrosis in the extracellular matrix of nucleus pulposus (NP) is associated with intervertebral disc degeneration (IVDD). Both connective tissue growth factor (CTGF) and vascular endothelial growth factor (VEGF)-A are responsible for the pathological basis of NP fibrosis. Our study aims to verify the interaction between CTGF and VEGF-A in a vitro NP cell model.</p><p><strong>Methodology: </strong>Collected human NP tissues of different degeneration degree and isolated the NP cells from the non-degenerated NP tissues. Analysed the CTGF and VEGF-A gene expression in the naturally degenerated NP and IL-1β-induced degenerated NP cells. Additionally, interfered wit the CTGF and VEGF-A expression by exogenic protein treatment, siRNA transfection, or specific inhibitor. The expression of CTGF, VEGF-A, collagen I/II/III and aggrecan with protein or mRNA level was determined by immunological staining, western blotting and RT-PCR.</p><p><strong>Results: </strong>CTGF and VEGF-A highly expressed in the late-term of degeneration compared to the middle-term, and their expressions were synergistic. Upregulating one of CTGF and VEGF-A could induce the overexpression of the other one and collagen I/III, but suppressed collagen II and aggrecan expression; Besides, the suppression of one of them could inhibited another and collagen I/III expression.</p><p><strong>Conclusions: </strong>CTGF and VEGF-A increase in late IVDD. Prevent NP fibrosis by suppressing their interaction.</p>","PeriodicalId":94295,"journal":{"name":"African health sciences","volume":"24 4","pages":"276-285"},"PeriodicalIF":0.9000,"publicationDate":"2024-12-01","publicationTypes":"Journal Article","fieldsOfStudy":null,"isOpenAccess":false,"openAccessPdf":"https://www.ncbi.nlm.nih.gov/pmc/articles/PMC11970167/pdf/","citationCount":"0","resultStr":null,"platform":"Semanticscholar","paperid":null,"PeriodicalName":"African health sciences","FirstCategoryId":"1085","ListUrlMain":"https://doi.org/10.4314/ahs.v24i4.36","RegionNum":0,"RegionCategory":null,"ArticlePicture":[],"TitleCN":null,"AbstractTextCN":null,"PMCID":null,"EPubDate":"","PubModel":"","JCR":"","JCRName":"","Score":null,"Total":0}
引用次数: 0

Abstract

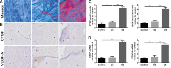
Background: Fibrosis in the extracellular matrix of nucleus pulposus (NP) is associated with intervertebral disc degeneration (IVDD). Both connective tissue growth factor (CTGF) and vascular endothelial growth factor (VEGF)-A are responsible for the pathological basis of NP fibrosis. Our study aims to verify the interaction between CTGF and VEGF-A in a vitro NP cell model.

Methodology: Collected human NP tissues of different degeneration degree and isolated the NP cells from the non-degenerated NP tissues. Analysed the CTGF and VEGF-A gene expression in the naturally degenerated NP and IL-1β-induced degenerated NP cells. Additionally, interfered wit the CTGF and VEGF-A expression by exogenic protein treatment, siRNA transfection, or specific inhibitor. The expression of CTGF, VEGF-A, collagen I/II/III and aggrecan with protein or mRNA level was determined by immunological staining, western blotting and RT-PCR.

Results: CTGF and VEGF-A highly expressed in the late-term of degeneration compared to the middle-term, and their expressions were synergistic. Upregulating one of CTGF and VEGF-A could induce the overexpression of the other one and collagen I/III, but suppressed collagen II and aggrecan expression; Besides, the suppression of one of them could inhibited another and collagen I/III expression.

Conclusions: CTGF and VEGF-A increase in late IVDD. Prevent NP fibrosis by suppressing their interaction.

Abstract Image

Abstract Image

Abstract Image

CTGF与VEGF-A在椎间盘纤维化进展中的相互作用。
背景:髓核(NP)细胞外基质纤维化与椎间盘退变(IVDD)有关。结缔组织生长因子(CTGF)和血管内皮生长因子(VEGF)-A都是NP纤维化的病理基础。我们的研究目的是在体外NP细胞模型中验证CTGF与VEGF-A的相互作用。方法:收集不同变性程度的人NP组织,从未变性NP组织中分离NP细胞。分析自然变性NP和il -1β诱导变性NP细胞中CTGF和VEGF-A基因的表达。此外,通过外源蛋白处理、siRNA转染或特异性抑制剂干扰CTGF和VEGF-A的表达。免疫染色、western blotting和RT-PCR检测CTGF、VEGF-A、胶原I/II/III和聚集蛋白的蛋白或mRNA水平表达。结果:CTGF和VEGF-A在退行性变晚期较中期高表达,且表达具有协同作用。上调CTGF和VEGF-A中的一个可诱导另一个和I/III型胶原过表达,抑制II型胶原和聚集蛋白的表达;抑制其中一种蛋白可抑制另一种蛋白及I/III胶原蛋白的表达。结论:CTGF和VEGF-A在IVDD晚期升高。通过抑制其相互作用预防NP纤维化。
本文章由计算机程序翻译,如有差异,请以英文原文为准。
求助全文
约1分钟内获得全文 求助全文
来源期刊
自引率
0.00%
发文量
0
×
引用
GB/T 7714-2015
复制
MLA
复制
APA
复制
导出至
BibTeX EndNote RefMan NoteFirst NoteExpress
×
提示
您的信息不完整,为了账户安全,请先补充。
现在去补充
×
提示
您因"违规操作"
具体请查看互助需知
我知道了
×
提示
确定
请完成安全验证×
copy
已复制链接
快去分享给好友吧!
我知道了
右上角分享
点击右上角分享
0
联系我们:info@booksci.cn Book学术提供免费学术资源搜索服务,方便国内外学者检索中英文文献。致力于提供最便捷和优质的服务体验。 Copyright © 2023 布克学术 All rights reserved.
京ICP备2023020795号-1
ghs 京公网安备 11010802042870号
Book学术文献互助
Book学术文献互助群
群 号:604180095
Book学术官方微信