Acute Fibrinous and Organizing Pneumonia (AFOP) in Children: A Case Report and Literature Review.

IF 1.7 Q2 PEDIATRICS
Pediatric health, medicine and therapeutics Pub Date : 2025-04-02 eCollection Date: 2025-01-01 DOI:10.2147/PHMT.S501998
Mohammed AlZaid, Ahmed AlEidan, Wajd AlThakfi, Wadha Helal Alotaibi
{"title":"Acute Fibrinous and Organizing Pneumonia (AFOP) in Children: A Case Report and Literature Review.","authors":"Mohammed AlZaid, Ahmed AlEidan, Wajd AlThakfi, Wadha Helal Alotaibi","doi":"10.2147/PHMT.S501998","DOIUrl":null,"url":null,"abstract":"<p><strong>Introduction: </strong>Acute Fibrinous and Organizing Pneumonia (AFOP) is a rare lung disease that presents with acute lung injury characterized by intra-alveolar fibrin deposition. Although primarily described in adults, AFOP can occur in children and may mimic common respiratory illnesses, posing a diagnostic challenge. The condition can result from various etiological factors, including infections, autoimmune disorders, and drug reactions. The purpose of this case is to highlight the clinical presentation, diagnostic challenges and management strategies of this rare and underrecognized pediatric condition. By describing this case we aim to raise awareness among pediatricians given the limited literature on pediatric AFOP to aid in recognizing and tailoring treatment in order to improve outcomes.</p><p><strong>Methods and materials: </strong>Patient's data were collected retrospectively from medical records, including clinical notes, laboratory results, imaging studies, and histopathological findings, where applicable. Informed written consent was obtained and signed from parents of the child for the use of his medical information for educational and publication purposes, ensuring confidentiality and anonymity.</p><p><strong>Results: </strong>We present the case of a 3-year-old boy with a history of recurrent viral-induced wheezing, initially treated for asthma-like symptoms until he developed persistent hypoxemia. Despite targeted therapy, the patient exhibited persistent respiratory symptoms and consolidative opacities in the right lung. A high-resolution computed tomography (HRCT) scan showed diffuse lung abnormalities, prompting further evaluation. Bronchoscopy with bronchoalveolar lavage revealed Haemophilus influenzae infection, and an open lung biopsy confirmed AFOP. The patient was treated with corticosteroids and azithromycin, leading to significant clinical and radiographic improvement.</p><p><strong>Conclusion: </strong>This case highlights the importance of considering AFOP in pediatric patients with atypical and persistent respiratory symptoms. Early diagnosis and intervention are crucial for managing this rare condition. Further case reports are needed to better understand AFOP's clinical course and optimize treatment strategies in pediatric populations.</p>","PeriodicalId":74410,"journal":{"name":"Pediatric health, medicine and therapeutics","volume":"16 ","pages":"103-108"},"PeriodicalIF":1.7000,"publicationDate":"2025-04-02","publicationTypes":"Journal Article","fieldsOfStudy":null,"isOpenAccess":false,"openAccessPdf":"https://www.ncbi.nlm.nih.gov/pmc/articles/PMC11972569/pdf/","citationCount":"0","resultStr":null,"platform":"Semanticscholar","paperid":null,"PeriodicalName":"Pediatric health, medicine and therapeutics","FirstCategoryId":"1085","ListUrlMain":"https://doi.org/10.2147/PHMT.S501998","RegionNum":0,"RegionCategory":null,"ArticlePicture":[],"TitleCN":null,"AbstractTextCN":null,"PMCID":null,"EPubDate":"2025/1/1 0:00:00","PubModel":"eCollection","JCR":"Q2","JCRName":"PEDIATRICS","Score":null,"Total":0}
引用次数: 0

Abstract

Introduction: Acute Fibrinous and Organizing Pneumonia (AFOP) is a rare lung disease that presents with acute lung injury characterized by intra-alveolar fibrin deposition. Although primarily described in adults, AFOP can occur in children and may mimic common respiratory illnesses, posing a diagnostic challenge. The condition can result from various etiological factors, including infections, autoimmune disorders, and drug reactions. The purpose of this case is to highlight the clinical presentation, diagnostic challenges and management strategies of this rare and underrecognized pediatric condition. By describing this case we aim to raise awareness among pediatricians given the limited literature on pediatric AFOP to aid in recognizing and tailoring treatment in order to improve outcomes.

Methods and materials: Patient's data were collected retrospectively from medical records, including clinical notes, laboratory results, imaging studies, and histopathological findings, where applicable. Informed written consent was obtained and signed from parents of the child for the use of his medical information for educational and publication purposes, ensuring confidentiality and anonymity.

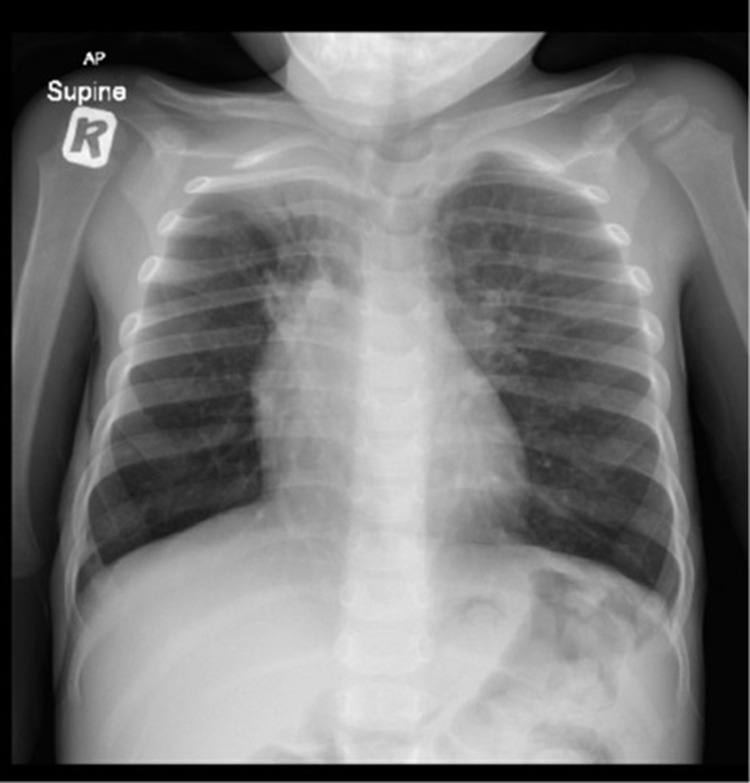
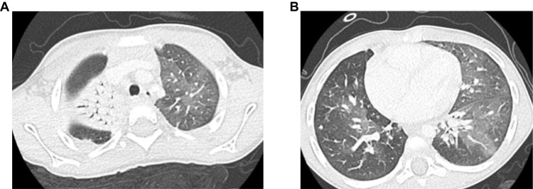
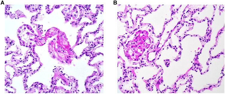
Results: We present the case of a 3-year-old boy with a history of recurrent viral-induced wheezing, initially treated for asthma-like symptoms until he developed persistent hypoxemia. Despite targeted therapy, the patient exhibited persistent respiratory symptoms and consolidative opacities in the right lung. A high-resolution computed tomography (HRCT) scan showed diffuse lung abnormalities, prompting further evaluation. Bronchoscopy with bronchoalveolar lavage revealed Haemophilus influenzae infection, and an open lung biopsy confirmed AFOP. The patient was treated with corticosteroids and azithromycin, leading to significant clinical and radiographic improvement.

Conclusion: This case highlights the importance of considering AFOP in pediatric patients with atypical and persistent respiratory symptoms. Early diagnosis and intervention are crucial for managing this rare condition. Further case reports are needed to better understand AFOP's clinical course and optimize treatment strategies in pediatric populations.

Abstract Image

Abstract Image

Abstract Image

儿童急性纤维性和组织性肺炎(AFOP) 1例报告及文献复习。
简介:急性纤维性和组织性肺炎(AFOP)是一种罕见的肺部疾病,以肺泡内纤维蛋白沉积为特征的急性肺损伤。虽然主要描述为成人,但AFOP也可能发生在儿童身上,并可能类似于常见的呼吸系统疾病,这给诊断带来了挑战。这种情况可由多种病因引起,包括感染、自身免疫性疾病和药物反应。本病例的目的是强调临床表现,诊断挑战和管理策略,这种罕见的和未被充分认识的儿科疾病。通过描述这个病例,我们的目的是提高儿科医生的认识,因为关于儿科AFOP的文献有限,以帮助认识和定制治疗,以改善结果。方法和材料:回顾性地从医疗记录中收集患者数据,包括临床记录、实验室结果、影像学检查和组织病理学发现(如适用)。获得并签署了儿童父母的知情书面同意,同意将其医疗信息用于教育和出版目的,确保保密和匿名。结果:我们提出了一个3岁的男孩与复发性病毒引起的喘息史,最初治疗哮喘样症状,直到他发展为持续性低氧血症。尽管进行了靶向治疗,患者仍表现出持续的呼吸道症状和右肺实变性混浊。高分辨率计算机断层扫描(HRCT)显示弥漫性肺异常,提示进一步评估。支气管镜检查与支气管肺泡灌洗显示流感嗜血杆菌感染,开放肺活检证实AFOP。患者接受皮质类固醇和阿奇霉素治疗,临床和影像学均有显著改善。结论:本病例强调了在有不典型和持续性呼吸道症状的儿科患者中考虑AFOP的重要性。早期诊断和干预对于治疗这种罕见疾病至关重要。需要进一步的病例报告来更好地了解AFOP的临床过程并优化儿科人群的治疗策略。
本文章由计算机程序翻译,如有差异,请以英文原文为准。
求助全文
约1分钟内获得全文 求助全文
来源期刊
自引率
0.00%
发文量
0
审稿时长
16 weeks
×
引用
GB/T 7714-2015
复制
MLA
复制
APA
复制
导出至
BibTeX EndNote RefMan NoteFirst NoteExpress
×
提示
您的信息不完整,为了账户安全,请先补充。
现在去补充
×
提示
您因"违规操作"
具体请查看互助需知
我知道了
×
提示
确定
请完成安全验证×
copy
已复制链接
快去分享给好友吧!
我知道了
右上角分享
点击右上角分享
0
联系我们:info@booksci.cn Book学术提供免费学术资源搜索服务,方便国内外学者检索中英文文献。致力于提供最便捷和优质的服务体验。 Copyright © 2023 布克学术 All rights reserved.
京ICP备2023020795号-1
ghs 京公网安备 11010802042870号
Book学术文献互助
Book学术文献互助群
群 号:604180095
Book学术官方微信