Basal cell adenocarcinoma in the retromolar trigone: A case report.

IF 2.1 Q3 DENTISTRY, ORAL SURGERY & MEDICINE
Imaging Science in Dentistry Pub Date : 2025-03-01 Epub Date: 2025-03-10 DOI:10.5624/isd.20240226
Bong-Hae Cho, Yun-Hoa Jung, Jae-Joon Hwang, Mi-Heon Ryu, Ji-Soo Lee
{"title":"Basal cell adenocarcinoma in the retromolar trigone: A case report.","authors":"Bong-Hae Cho, Yun-Hoa Jung, Jae-Joon Hwang, Mi-Heon Ryu, Ji-Soo Lee","doi":"10.5624/isd.20240226","DOIUrl":null,"url":null,"abstract":"<p><p>Basal cell adenocarcinoma, considered to be the malignant counterpart of basal cell adenoma, is a rare, low-grade malignant tumor of the salivary glands, accounting for 1-2% of salivary gland malignancies. It predominantly affects the parotid gland, while involvement of the minor salivary glands is exceptionally rare. This report presented a case of basal cell adenocarcinoma involving the left retromolar trigone in a 54-year-old woman. The initial provisional diagnosis suggested a benign or low-grade malignant salivary tumor. Advanced magnetic resonance imaging techniques, including diffusion-weighted imaging and apparent diffusion coefficient analysis, aided in the preoperative prediction of malignancy, and an incisional biopsy confirmed the diagnosis of basal cell adenocarcinoma. This case underscored the challenge of distinguishing basal cell adenocarcinoma from benign salivary tumors, as clinical and imaging features often overlap. Surgical excision remains the primary treatment, yielding favorable outcomes; however, long-term follow-up is crucial due to the risk of recurrence.</p>","PeriodicalId":51714,"journal":{"name":"Imaging Science in Dentistry","volume":"55 1","pages":"96-101"},"PeriodicalIF":2.1000,"publicationDate":"2025-03-01","publicationTypes":"Journal Article","fieldsOfStudy":null,"isOpenAccess":false,"openAccessPdf":"https://www.ncbi.nlm.nih.gov/pmc/articles/PMC11966018/pdf/","citationCount":"0","resultStr":null,"platform":"Semanticscholar","paperid":null,"PeriodicalName":"Imaging Science in Dentistry","FirstCategoryId":"1085","ListUrlMain":"https://doi.org/10.5624/isd.20240226","RegionNum":0,"RegionCategory":null,"ArticlePicture":[],"TitleCN":null,"AbstractTextCN":null,"PMCID":null,"EPubDate":"2025/3/10 0:00:00","PubModel":"Epub","JCR":"Q3","JCRName":"DENTISTRY, ORAL SURGERY & MEDICINE","Score":null,"Total":0}
引用次数: 0

Abstract

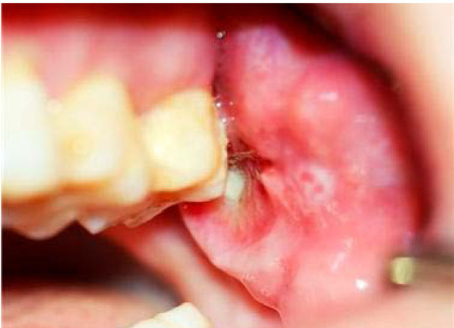
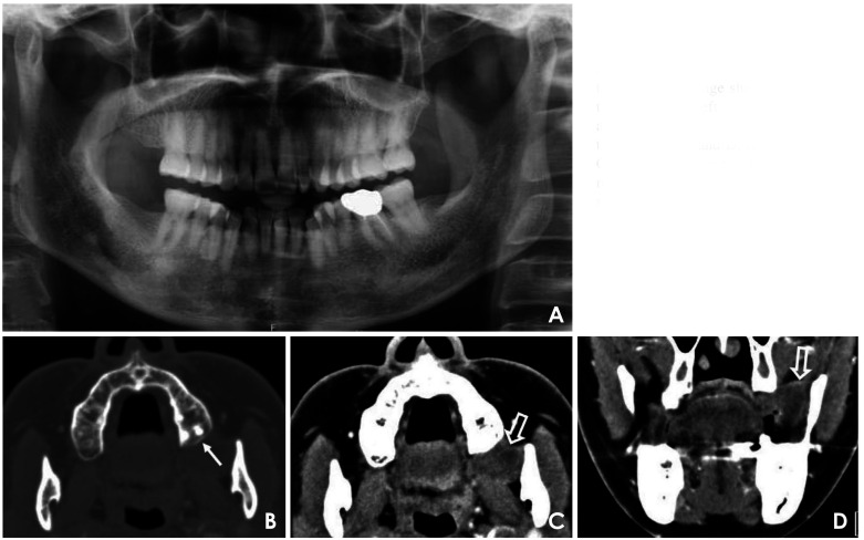
Basal cell adenocarcinoma, considered to be the malignant counterpart of basal cell adenoma, is a rare, low-grade malignant tumor of the salivary glands, accounting for 1-2% of salivary gland malignancies. It predominantly affects the parotid gland, while involvement of the minor salivary glands is exceptionally rare. This report presented a case of basal cell adenocarcinoma involving the left retromolar trigone in a 54-year-old woman. The initial provisional diagnosis suggested a benign or low-grade malignant salivary tumor. Advanced magnetic resonance imaging techniques, including diffusion-weighted imaging and apparent diffusion coefficient analysis, aided in the preoperative prediction of malignancy, and an incisional biopsy confirmed the diagnosis of basal cell adenocarcinoma. This case underscored the challenge of distinguishing basal cell adenocarcinoma from benign salivary tumors, as clinical and imaging features often overlap. Surgical excision remains the primary treatment, yielding favorable outcomes; however, long-term follow-up is crucial due to the risk of recurrence.

Abstract Image

Abstract Image

Abstract Image

磨牙后三角区基底细胞腺癌1例。
基底细胞腺癌,被认为是基底细胞腺瘤的恶性对应物,是一种罕见的涎腺低级别恶性肿瘤,占唾液腺恶性肿瘤的1-2%。它主要影响腮腺,而小唾液腺的参与是非常罕见的。本文报告一例54岁女性患左磨牙后三角区基底细胞腺癌。初步诊断为良性或低度恶性涎腺肿瘤。先进的磁共振成像技术,包括弥散加权成像和表观弥散系数分析,有助于术前预测恶性肿瘤,切口活检证实了基底细胞腺癌的诊断。本病例强调了区分基底细胞腺癌与良性唾液肿瘤的挑战,因为临床和影像学特征经常重叠。手术切除仍然是主要的治疗方法,产生良好的结果;然而,由于复发的风险,长期随访至关重要。
本文章由计算机程序翻译,如有差异,请以英文原文为准。
求助全文
约1分钟内获得全文 求助全文
来源期刊
Imaging Science in Dentistry
Imaging Science in Dentistry DENTISTRY, ORAL SURGERY & MEDICINE-
CiteScore
2.90
自引率
11.10%
发文量
42
×
引用
GB/T 7714-2015
复制
MLA
复制
APA
复制
导出至
BibTeX EndNote RefMan NoteFirst NoteExpress
×
提示
您的信息不完整,为了账户安全,请先补充。
现在去补充
×
提示
您因"违规操作"
具体请查看互助需知
我知道了
×
提示
确定
请完成安全验证×
copy
已复制链接
快去分享给好友吧!
我知道了
右上角分享
点击右上角分享
0
联系我们:info@booksci.cn Book学术提供免费学术资源搜索服务,方便国内外学者检索中英文文献。致力于提供最便捷和优质的服务体验。 Copyright © 2023 布克学术 All rights reserved.
京ICP备2023020795号-1
ghs 京公网安备 11010802042870号
Book学术文献互助
Book学术文献互助群
群 号:604180095
Book学术官方微信