Mandible bone mineral density estimation using spectral panoramic X-ray imaging.

IF 2.1 Q3 DENTISTRY, ORAL SURGERY & MEDICINE
Imaging Science in Dentistry Pub Date : 2025-03-01 Epub Date: 2025-02-18 DOI:10.5624/isd.20240231
Villeseveri Somerkivi, Thorsten Sellerer, Daniel Berthe, York Haemisch, Tuomas Pantsar, Henrik Lohman, Touko Kaasalainen, Franz Pfeiffer
{"title":"Mandible bone mineral density estimation using spectral panoramic X-ray imaging.","authors":"Villeseveri Somerkivi, Thorsten Sellerer, Daniel Berthe, York Haemisch, Tuomas Pantsar, Henrik Lohman, Touko Kaasalainen, Franz Pfeiffer","doi":"10.5624/isd.20240231","DOIUrl":null,"url":null,"abstract":"<p><strong>Purpose: </strong>This study demonstrated the feasibility of obtaining mandible bone mineral density (BMD) scores using spectral panoramic imaging.</p><p><strong>Materials and methods: </strong>Areal BMD scores were measured from the body and angle of the mandible in 3 anthropomorphic head phantoms using a spectral panoramic system (Planmeca Promax Mid, Planmeca Oy, Helsinki, Finland) equipped with a DC-Vela detector (Varex Imaging Corporation, Salt Lake City, USA). These results were compared to synthetic panoramic images generated from dual-energy CT acquisitions. Reproducibility was evaluated by repeatedly scanning 1 phantom with minor patient positioning errors, and the linearity of the BMD scores was assessed using calcium inserts in a Gammex 472 phantom (Sun Nuclear, Melbourne, USA).</p><p><strong>Results: </strong>The experimental and synthetic panoramic images appeared visually similar. The mean synthetic score was 0.640 g/cm<sup>2</sup>, and the anthropomorphic phantoms produced a root mean squared error of 0.0292 g/cm<sup>2</sup> with a correlation coefficient of 0.969. Typical patient positioning errors did not substantially increase the error, which measured 0.0296 g/cm<sup>2</sup> and 0.0474 g/cm<sup>2</sup> for the left and right sides, respectively. Linearity tests using the Gammex phantom yielded a correlation coefficient of 0.998 for BMD scores ranging from 0.03 to 2.7 g/cm<sup>2</sup>.</p><p><strong>Conclusion: </strong>The BMD data obtained from spectral panoramic imaging are consistent with both dual-energy CT and Gammex phantom measurements. Consequently, spectral panoramic imaging shows potential as a method for osteoporosis screening, leveraging the widespread use of panoramic imaging.</p>","PeriodicalId":51714,"journal":{"name":"Imaging Science in Dentistry","volume":"55 1","pages":"56-64"},"PeriodicalIF":2.1000,"publicationDate":"2025-03-01","publicationTypes":"Journal Article","fieldsOfStudy":null,"isOpenAccess":false,"openAccessPdf":"https://www.ncbi.nlm.nih.gov/pmc/articles/PMC11966022/pdf/","citationCount":"0","resultStr":null,"platform":"Semanticscholar","paperid":null,"PeriodicalName":"Imaging Science in Dentistry","FirstCategoryId":"1085","ListUrlMain":"https://doi.org/10.5624/isd.20240231","RegionNum":0,"RegionCategory":null,"ArticlePicture":[],"TitleCN":null,"AbstractTextCN":null,"PMCID":null,"EPubDate":"2025/2/18 0:00:00","PubModel":"Epub","JCR":"Q3","JCRName":"DENTISTRY, ORAL SURGERY & MEDICINE","Score":null,"Total":0}
引用次数: 0

Abstract

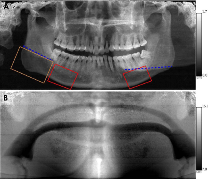
Purpose: This study demonstrated the feasibility of obtaining mandible bone mineral density (BMD) scores using spectral panoramic imaging.

Materials and methods: Areal BMD scores were measured from the body and angle of the mandible in 3 anthropomorphic head phantoms using a spectral panoramic system (Planmeca Promax Mid, Planmeca Oy, Helsinki, Finland) equipped with a DC-Vela detector (Varex Imaging Corporation, Salt Lake City, USA). These results were compared to synthetic panoramic images generated from dual-energy CT acquisitions. Reproducibility was evaluated by repeatedly scanning 1 phantom with minor patient positioning errors, and the linearity of the BMD scores was assessed using calcium inserts in a Gammex 472 phantom (Sun Nuclear, Melbourne, USA).

Results: The experimental and synthetic panoramic images appeared visually similar. The mean synthetic score was 0.640 g/cm2, and the anthropomorphic phantoms produced a root mean squared error of 0.0292 g/cm2 with a correlation coefficient of 0.969. Typical patient positioning errors did not substantially increase the error, which measured 0.0296 g/cm2 and 0.0474 g/cm2 for the left and right sides, respectively. Linearity tests using the Gammex phantom yielded a correlation coefficient of 0.998 for BMD scores ranging from 0.03 to 2.7 g/cm2.

Conclusion: The BMD data obtained from spectral panoramic imaging are consistent with both dual-energy CT and Gammex phantom measurements. Consequently, spectral panoramic imaging shows potential as a method for osteoporosis screening, leveraging the widespread use of panoramic imaging.

Abstract Image

Abstract Image

Abstract Image

利用光谱全景 X 光成像估算下颌骨骨矿密度。
目的:本研究证明了使用光谱全景成像获得下颌骨骨质密度(BMD)评分的可行性:使用配备 DC-Vela 探测器(Varex Imaging Corporation,Salt Lake City,USA)的光谱全景系统(Planmeca Promax Mid,Planmeca Oy,Helsinki,Finland),在 3 个拟人头部模型中测量下颌骨体部和角度的骨密度评分。这些结果与双能 CT 采集生成的合成全景图像进行了比较。通过反复扫描 1 个模型,在患者定位存在轻微误差的情况下,对再现性进行了评估,并在 Gammex 472 模型(美国墨尔本 Sun Nuclear 公司)中使用钙插入物对 BMD 评分的线性度进行了评估:结果:实验全景图像和合成全景图像的视觉效果相似。平均合成分数为 0.640 g/cm2,拟人模型产生的均方根误差为 0.0292 g/cm2,相关系数为 0.969。典型的患者定位误差并没有大幅增加误差,左侧和右侧的误差分别为 0.0296 g/cm2 和 0.0474 g/cm2。使用 Gammex 模体进行的线性测试结果显示,BMD 评分从 0.03 到 2.7 g/cm2 之间的相关系数为 0.998:结论:通过光谱全景成像获得的 BMD 数据与双能 CT 和 Gammex 模型测量结果一致。因此,利用全景成像的广泛应用,光谱全景成像显示出作为骨质疏松症筛查方法的潜力。
本文章由计算机程序翻译,如有差异,请以英文原文为准。
求助全文
约1分钟内获得全文 求助全文
来源期刊
Imaging Science in Dentistry
Imaging Science in Dentistry DENTISTRY, ORAL SURGERY & MEDICINE-
CiteScore
2.90
自引率
11.10%
发文量
42
×
引用
GB/T 7714-2015
复制
MLA
复制
APA
复制
导出至
BibTeX EndNote RefMan NoteFirst NoteExpress
×
提示
您的信息不完整,为了账户安全,请先补充。
现在去补充
×
提示
您因"违规操作"
具体请查看互助需知
我知道了
×
提示
确定
请完成安全验证×
copy
已复制链接
快去分享给好友吧!
我知道了
右上角分享
点击右上角分享
0
联系我们:info@booksci.cn Book学术提供免费学术资源搜索服务,方便国内外学者检索中英文文献。致力于提供最便捷和优质的服务体验。 Copyright © 2023 布克学术 All rights reserved.
京ICP备2023020795号-1
ghs 京公网安备 11010802042870号
Book学术文献互助
Book学术文献互助群
群 号:604180095
Book学术官方微信