Imaging and Clinical Features of Nodular Pulmonary Amyloidosis.

IF 1.9 4区 医学 Q3 RADIOLOGY, NUCLEAR MEDICINE & MEDICAL IMAGING
Fei Li, Junting Li, Yanyan Li, Danting Shang, Xingyi Hou, Yanli He, Gangfeng Li
{"title":"Imaging and Clinical Features of Nodular Pulmonary Amyloidosis.","authors":"Fei Li, Junting Li, Yanyan Li, Danting Shang, Xingyi Hou, Yanli He, Gangfeng Li","doi":"10.1097/RTI.0000000000000830","DOIUrl":null,"url":null,"abstract":"<p><strong>Purpose: </strong>To investigate the clinical and computed tomography (CT) features of nodular pulmonary amyloidosis (NPA) to enhance our understanding of the disease and improve the ability to differentiate it from other similar conditions.</p><p><strong>Materials and methods: </strong>A retrospective analysis was conducted on the clinical data, chest CT imaging findings, and pathologic characteristics of 13 patients with NPA in our hospital from April 2014 to April 2024. All 13 patients underwent chest CT plain scan examination. The basic data, medical history, clinical manifestations, and lung lesion features on chest CT imaging were analyzed and summarized.</p><p><strong>Results: </strong>Among the 13 patients, there were 3 males (23.08%) and 10 females (76.92%). Their ages ranged from 37 to 68 years, with a mean age of (57.85±8.40) years and a median age of 59 years. Three (23.08%) patients had cough and sputum, while the others (76.92%) had no clinical symptoms. Before surgery, 6 patients underwent chest CT scans, and NPA changes in size, shape, and density were observed. Six cases (46.15%) were located in the left lung (4 in the upper lobe and 2 in the lower lobe), and 7 cases (53.85%) in the right lung (3 in the upper lobe, 2 in the middle lobe, and 2 in the lower lobe). Seven cases (53.85%) of NPA were round or oval, while 6 cases (46.15%) were irregularly shaped. Out of the NPA cases, 11 (84.62%) were solid nodules with well-defined boundaries, including 2 cases of solid nodules with surrounding calcification. In addition, 2 cases presented as solid nodules with cavities. Ten cases (76.92%) had multiple cystic lesions in the bilateral lungs, in which 7 cases had more than 10 cysts with obvious cyst walls, and 1 case showed a solid nodule on the cyst wall. During the postoperative follow-up, 1 patient experienced an increase in the size of the original nodule and the appearance of new solid nodules. Subsequent surgery revealed mucosal-associated lymphoid tissue lymphoma (MALT). The remaining patients were followed up regularly, and their conditions remained stable.</p><p><strong>Conclusions: </strong>NPA is more common in middle-aged and elderly people and is more likely to occur in women. Most cases are asymptomatic, and bilateral lungs can be involved. For nodules with multiple pulmonary cysts found by chest CT, the possibility of NPA should be considered, and further histopathologic examination is needed to confirm the diagnosis. Most patients with NPA have a good long-term prognosis after surgical resection, but some patients require further investigation and close follow-up due to underlying causes.</p>","PeriodicalId":49974,"journal":{"name":"Journal of Thoracic Imaging","volume":" ","pages":""},"PeriodicalIF":1.9000,"publicationDate":"2025-09-01","publicationTypes":"Journal Article","fieldsOfStudy":null,"isOpenAccess":false,"openAccessPdf":"https://www.ncbi.nlm.nih.gov/pmc/articles/PMC12369498/pdf/","citationCount":"0","resultStr":null,"platform":"Semanticscholar","paperid":null,"PeriodicalName":"Journal of Thoracic Imaging","FirstCategoryId":"3","ListUrlMain":"https://doi.org/10.1097/RTI.0000000000000830","RegionNum":4,"RegionCategory":"医学","ArticlePicture":[],"TitleCN":null,"AbstractTextCN":null,"PMCID":null,"EPubDate":"","PubModel":"","JCR":"Q3","JCRName":"RADIOLOGY, NUCLEAR MEDICINE & MEDICAL IMAGING","Score":null,"Total":0}
引用次数: 0

Abstract

Purpose: To investigate the clinical and computed tomography (CT) features of nodular pulmonary amyloidosis (NPA) to enhance our understanding of the disease and improve the ability to differentiate it from other similar conditions.

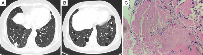
Materials and methods: A retrospective analysis was conducted on the clinical data, chest CT imaging findings, and pathologic characteristics of 13 patients with NPA in our hospital from April 2014 to April 2024. All 13 patients underwent chest CT plain scan examination. The basic data, medical history, clinical manifestations, and lung lesion features on chest CT imaging were analyzed and summarized.

Results: Among the 13 patients, there were 3 males (23.08%) and 10 females (76.92%). Their ages ranged from 37 to 68 years, with a mean age of (57.85±8.40) years and a median age of 59 years. Three (23.08%) patients had cough and sputum, while the others (76.92%) had no clinical symptoms. Before surgery, 6 patients underwent chest CT scans, and NPA changes in size, shape, and density were observed. Six cases (46.15%) were located in the left lung (4 in the upper lobe and 2 in the lower lobe), and 7 cases (53.85%) in the right lung (3 in the upper lobe, 2 in the middle lobe, and 2 in the lower lobe). Seven cases (53.85%) of NPA were round or oval, while 6 cases (46.15%) were irregularly shaped. Out of the NPA cases, 11 (84.62%) were solid nodules with well-defined boundaries, including 2 cases of solid nodules with surrounding calcification. In addition, 2 cases presented as solid nodules with cavities. Ten cases (76.92%) had multiple cystic lesions in the bilateral lungs, in which 7 cases had more than 10 cysts with obvious cyst walls, and 1 case showed a solid nodule on the cyst wall. During the postoperative follow-up, 1 patient experienced an increase in the size of the original nodule and the appearance of new solid nodules. Subsequent surgery revealed mucosal-associated lymphoid tissue lymphoma (MALT). The remaining patients were followed up regularly, and their conditions remained stable.

Conclusions: NPA is more common in middle-aged and elderly people and is more likely to occur in women. Most cases are asymptomatic, and bilateral lungs can be involved. For nodules with multiple pulmonary cysts found by chest CT, the possibility of NPA should be considered, and further histopathologic examination is needed to confirm the diagnosis. Most patients with NPA have a good long-term prognosis after surgical resection, but some patients require further investigation and close follow-up due to underlying causes.

Abstract Image

Abstract Image

Abstract Image

结节性肺淀粉样变的影像学与临床特征。
目的:研究结节性肺淀粉样变性(NPA)的临床和计算机断层扫描(CT)特征,以加深我们对该病的认识,提高与其他类似疾病的鉴别能力:对2014年4月至2024年4月期间我院13例NPA患者的临床资料、胸部CT成像结果和病理特征进行回顾性分析。13 例患者均接受了胸部 CT 平扫检查。对患者的基本资料、病史、临床表现以及胸部CT成像肺部病变特征进行了分析和总结:13 名患者中,男性 3 人(23.08%),女性 10 人(76.92%)。年龄从 37 岁到 68 岁不等,平均年龄为(57.85±8.40)岁,中位年龄为 59 岁。3名患者(23.08%)有咳嗽和咳痰,其他患者(76.92%)无临床症状。手术前,6 名患者接受了胸部 CT 扫描,观察到 NPA 在大小、形状和密度上的变化。其中 6 例(46.15%)位于左肺(4 例位于上叶,2 例位于下叶),7 例(53.85%)位于右肺(3 例位于上叶,2 例位于中叶,2 例位于下叶)。7 例(53.85%)非肺癌呈圆形或椭圆形,6 例(46.15%)呈不规则形。在 NPA 病例中,11 例(84.62%)为边界清晰的实性结节,包括 2 例周围有钙化的实性结节。此外,2 个病例为伴有空腔的实性结节。10例(76.92%)患者双侧肺部有多个囊性病变,其中7例有10个以上囊肿,囊壁明显,1例囊壁上有实性结节。术后随访期间,1 例患者原有结节增大,并出现新的实性结节。随后的手术发现了粘膜相关淋巴组织淋巴瘤(MALT)。其余患者均接受了定期随访,病情保持稳定:结论:NPA多见于中老年人,女性更易患上。大多数病例无症状,双侧肺部均可受累。对于胸部 CT 发现的多发性肺囊肿结节,应考虑到 NPA 的可能性,并需要进一步的组织病理学检查来确诊。大多数 NPA 患者在手术切除后长期预后良好,但部分患者因潜在病因需要进一步检查和密切随访。
本文章由计算机程序翻译,如有差异,请以英文原文为准。
求助全文
约1分钟内获得全文 求助全文
来源期刊
Journal of Thoracic Imaging
Journal of Thoracic Imaging 医学-核医学
CiteScore
7.10
自引率
9.10%
发文量
87
审稿时长
6-12 weeks
期刊介绍: Journal of Thoracic Imaging (JTI) provides authoritative information on all aspects of the use of imaging techniques in the diagnosis of cardiac and pulmonary diseases. Original articles and analytical reviews published in this timely journal provide the very latest thinking of leading experts concerning the use of chest radiography, computed tomography, magnetic resonance imaging, positron emission tomography, ultrasound, and all other promising imaging techniques in cardiopulmonary radiology. Official Journal of the Society of Thoracic Radiology: Japanese Society of Thoracic Radiology Korean Society of Thoracic Radiology European Society of Thoracic Imaging.
×
引用
GB/T 7714-2015
复制
MLA
复制
APA
复制
导出至
BibTeX EndNote RefMan NoteFirst NoteExpress
×
提示
您的信息不完整,为了账户安全,请先补充。
现在去补充
×
提示
您因"违规操作"
具体请查看互助需知
我知道了
×
提示
确定
请完成安全验证×
copy
已复制链接
快去分享给好友吧!
我知道了
右上角分享
点击右上角分享
0
联系我们:info@booksci.cn Book学术提供免费学术资源搜索服务,方便国内外学者检索中英文文献。致力于提供最便捷和优质的服务体验。 Copyright © 2023 布克学术 All rights reserved.
京ICP备2023020795号-1
ghs 京公网安备 11010802042870号
Book学术文献互助
Book学术文献互助群
群 号:604180095
Book学术官方微信