Frequent association of malignant effusions in plasmablastic lymphoma: a single-institutional experience of nine cases in Taiwan.

IF 2.8 Q2 HEMATOLOGY
Bo-Jung Chen, Yu-Ting Kuo, Sheng-Tsung Chang, Khin-Than Win, Shang-Wen Chen, Sheng-Yen Hsiao, Yin-Hsun Feng, Yen-Chuan Hsieh, Shih-Sung Chuang
{"title":"Frequent association of malignant effusions in plasmablastic lymphoma: a single-institutional experience of nine cases in Taiwan.","authors":"Bo-Jung Chen, Yu-Ting Kuo, Sheng-Tsung Chang, Khin-Than Win, Shang-Wen Chen, Sheng-Yen Hsiao, Yin-Hsun Feng, Yen-Chuan Hsieh, Shih-Sung Chuang","doi":"10.1007/s44313-025-00070-w","DOIUrl":null,"url":null,"abstract":"<p><strong>Purpose: </strong>Plasmablastic lymphoma (PBL) is a rare, aggressive lymphoma that is characterized by terminal B-cell differentiation. In the West, PBL usually occurs in patients with immunodeficiencies, particularly those induced by human immunodeficiency virus (HIV) infection. We investigated the clinicopathological features of PBL at a single institute in Taiwan, where HIV infection is rare.</p><p><strong>Methods: </strong>This retrospective chart review identified PBL cases that were treated at a single institute in southern Taiwan between 2008 and 2024.</p><p><strong>Results: </strong>We identified nine patients (four males and five females; median age 71 years). Of the eight patients tested for HIV, only one tested positive. Pathologically, the tumors showed plasmablastic morphology and immunophenotype, and three (33%) cases tested positive for Epstein-Barr virus. Six (67%) patients presented with Stage IV disease, including five (56%) with malignant effusion. Six patients were treated with chemotherapy and the remaining three received only supportive care. During a median follow-up of 10 months, five patients died of progressive disease, two died of unrelated diseases, and two were alive with PBL relapse.</p><p><strong>Conclusion: </strong>In Taiwan, PBL constitutes a rare and aggressive clinical condition and is frequently associated with malignant effusion. In contrast to Western patients, the PBL in most patients from Taiwan was unrelated to HIV infection.</p>","PeriodicalId":46224,"journal":{"name":"Blood Research","volume":"60 1","pages":"22"},"PeriodicalIF":2.8000,"publicationDate":"2025-04-07","publicationTypes":"Journal Article","fieldsOfStudy":null,"isOpenAccess":false,"openAccessPdf":"https://www.ncbi.nlm.nih.gov/pmc/articles/PMC11977078/pdf/","citationCount":"0","resultStr":null,"platform":"Semanticscholar","paperid":null,"PeriodicalName":"Blood Research","FirstCategoryId":"1085","ListUrlMain":"https://doi.org/10.1007/s44313-025-00070-w","RegionNum":0,"RegionCategory":null,"ArticlePicture":[],"TitleCN":null,"AbstractTextCN":null,"PMCID":null,"EPubDate":"","PubModel":"","JCR":"Q2","JCRName":"HEMATOLOGY","Score":null,"Total":0}
引用次数: 0

Abstract

Purpose: Plasmablastic lymphoma (PBL) is a rare, aggressive lymphoma that is characterized by terminal B-cell differentiation. In the West, PBL usually occurs in patients with immunodeficiencies, particularly those induced by human immunodeficiency virus (HIV) infection. We investigated the clinicopathological features of PBL at a single institute in Taiwan, where HIV infection is rare.

Methods: This retrospective chart review identified PBL cases that were treated at a single institute in southern Taiwan between 2008 and 2024.

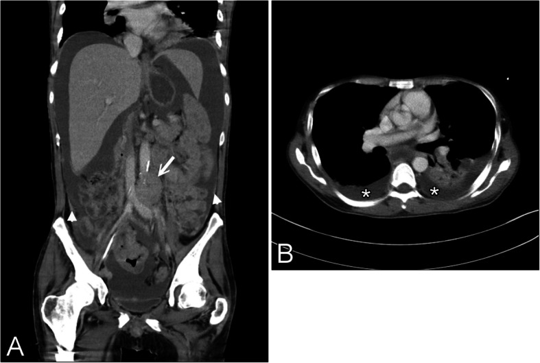
Results: We identified nine patients (four males and five females; median age 71 years). Of the eight patients tested for HIV, only one tested positive. Pathologically, the tumors showed plasmablastic morphology and immunophenotype, and three (33%) cases tested positive for Epstein-Barr virus. Six (67%) patients presented with Stage IV disease, including five (56%) with malignant effusion. Six patients were treated with chemotherapy and the remaining three received only supportive care. During a median follow-up of 10 months, five patients died of progressive disease, two died of unrelated diseases, and two were alive with PBL relapse.

Conclusion: In Taiwan, PBL constitutes a rare and aggressive clinical condition and is frequently associated with malignant effusion. In contrast to Western patients, the PBL in most patients from Taiwan was unrelated to HIV infection.

Abstract Image

Abstract Image

浆细胞性淋巴瘤常伴有恶性渗出:台湾一家医院九例病例的经验。
目的:浆母细胞淋巴瘤(PBL)是一种罕见的侵袭性淋巴瘤,以终末b细胞分化为特征。在西方,PBL通常发生在免疫缺陷患者,特别是由人类免疫缺陷病毒(HIV)感染引起的患者。我们在HIV感染罕见的台湾一所研究所调查PBL的临床病理特征。方法:回顾性分析2008年至2024年间在台湾南部同一所医院治疗的PBL病例。结果:我们确定了9例患者(4男5女;中位年龄71岁)。在接受艾滋病毒检测的8名患者中,只有1人呈阳性。病理上,肿瘤表现为浆母细胞形态和免疫表型,3例(33%)病例检测为eb病毒阳性。6例(67%)患者表现为IV期疾病,包括5例(56%)恶性积液。6名患者接受化疗,其余3名患者仅接受支持性治疗。在中位随访10个月期间,5例患者死于进展性疾病,2例死于无关疾病,2例PBL复发存活。结论:在台湾,PBL是一种罕见且具侵袭性的临床疾病,且常与恶性积液有关。与西方患者相比,台湾大多数患者的PBL与HIV感染无关。
本文章由计算机程序翻译,如有差异,请以英文原文为准。
求助全文
约1分钟内获得全文 求助全文
来源期刊
Blood Research
Blood Research HEMATOLOGY-
CiteScore
3.70
自引率
0.00%
发文量
64
×
引用
GB/T 7714-2015
复制
MLA
复制
APA
复制
导出至
BibTeX EndNote RefMan NoteFirst NoteExpress
×
提示
您的信息不完整,为了账户安全,请先补充。
现在去补充
×
提示
您因"违规操作"
具体请查看互助需知
我知道了
×
提示
确定
请完成安全验证×
copy
已复制链接
快去分享给好友吧!
我知道了
右上角分享
点击右上角分享
0
联系我们:info@booksci.cn Book学术提供免费学术资源搜索服务,方便国内外学者检索中英文文献。致力于提供最便捷和优质的服务体验。 Copyright © 2023 布克学术 All rights reserved.
京ICP备2023020795号-1
ghs 京公网安备 11010802042870号
Book学术文献互助
Book学术文献互助群
群 号:604180095
Book学术官方微信