The first report of antibiotic resistance and virulence factor profiles in multidrug-resistant clinical isolates of Klebsiella pneumoniae from Pontianak, Indonesia.

IF 1.6 Q3 PUBLIC, ENVIRONMENTAL & OCCUPATIONAL HEALTH
Mardhia Mardhia, Delima Fajar Liana, Mahyarudin Mahyarudin, Hariyanto Ih
{"title":"The first report of antibiotic resistance and virulence factor profiles in multidrug-resistant clinical isolates of Klebsiella pneumoniae from Pontianak, Indonesia.","authors":"Mardhia Mardhia, Delima Fajar Liana, Mahyarudin Mahyarudin, Hariyanto Ih","doi":"10.24171/j.phrp.2024.0242","DOIUrl":null,"url":null,"abstract":"<p><strong>Background: </strong>Klebsiella pneumoniae is known as one of the most common causes of hospitalacquired infections. Its prevalence poses substantial challenges to both hospital and public health systems, particularly due to the rise of multidrug-resistant strains. Understanding the epidemiology and resistance properties of K. pneumoniae can inform antimicrobial stewardship and infection control programs. A cross-sectional study was employed from November 2021 to November 2023.</p><p><strong>Methods: </strong>A total of 24 isolates underwent antimicrobial susceptibility testing using the disk diffusion method, an extended-spectrum beta-lactamase (ESBL) production test, and molecular gene detection.</p><p><strong>Results: </strong>The study found that 95.8% of clinical isolates were classified as multidrug-resistant. All isolates were resistant to ampicillin (100%). A high percentage of isolates were resistant to cefazolin (91.7%), ceftriaxone (87.5%), cefotaxime (87.5%), cefepime (87.5%), ciprofloxacin (83.3%), and sulfamethoxazole-trimethoprim (83.3%). Of the 24 isolates, 87.5% harbored ESBL genes, while the frequencies for GES, NDM, SIM, and OXA-48 were 16.7%, 20.8%, 8.3%, and 41.7%, respectively. Notably, the OXA-23 and OXA-51 genes, which are typically associated with Acinetobacter baumannii, were detected in 16.7% and 20.8% of isolates, respectively. Moreover, the prevalence of virulence genes rmpA, acrAB, and tolC was 0%, 95.8%, and 87.5%, respectively.</p><p><strong>Conclusion: </strong>This study demonstrated a high level of antibiotic resistance and a significant presence of virulence genes among K. pneumoniae isolates. Consequently, these findings represent a critical public health issue that requires heightened awareness among all stakeholders, including health workers.</p>","PeriodicalId":38949,"journal":{"name":"Osong Public Health and Research Perspectives","volume":" ","pages":"160-168"},"PeriodicalIF":1.6000,"publicationDate":"2025-04-01","publicationTypes":"Journal Article","fieldsOfStudy":null,"isOpenAccess":false,"openAccessPdf":"https://www.ncbi.nlm.nih.gov/pmc/articles/PMC12066226/pdf/","citationCount":"0","resultStr":null,"platform":"Semanticscholar","paperid":null,"PeriodicalName":"Osong Public Health and Research Perspectives","FirstCategoryId":"1085","ListUrlMain":"https://doi.org/10.24171/j.phrp.2024.0242","RegionNum":0,"RegionCategory":null,"ArticlePicture":[],"TitleCN":null,"AbstractTextCN":null,"PMCID":null,"EPubDate":"2025/4/4 0:00:00","PubModel":"Epub","JCR":"Q3","JCRName":"PUBLIC, ENVIRONMENTAL & OCCUPATIONAL HEALTH","Score":null,"Total":0}
引用次数: 0

Abstract

Background: Klebsiella pneumoniae is known as one of the most common causes of hospitalacquired infections. Its prevalence poses substantial challenges to both hospital and public health systems, particularly due to the rise of multidrug-resistant strains. Understanding the epidemiology and resistance properties of K. pneumoniae can inform antimicrobial stewardship and infection control programs. A cross-sectional study was employed from November 2021 to November 2023.

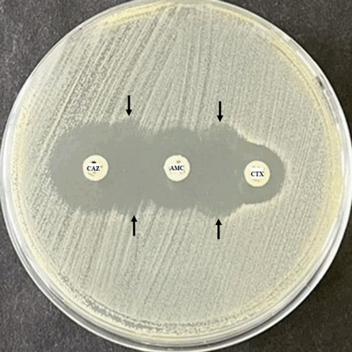
Methods: A total of 24 isolates underwent antimicrobial susceptibility testing using the disk diffusion method, an extended-spectrum beta-lactamase (ESBL) production test, and molecular gene detection.

Results: The study found that 95.8% of clinical isolates were classified as multidrug-resistant. All isolates were resistant to ampicillin (100%). A high percentage of isolates were resistant to cefazolin (91.7%), ceftriaxone (87.5%), cefotaxime (87.5%), cefepime (87.5%), ciprofloxacin (83.3%), and sulfamethoxazole-trimethoprim (83.3%). Of the 24 isolates, 87.5% harbored ESBL genes, while the frequencies for GES, NDM, SIM, and OXA-48 were 16.7%, 20.8%, 8.3%, and 41.7%, respectively. Notably, the OXA-23 and OXA-51 genes, which are typically associated with Acinetobacter baumannii, were detected in 16.7% and 20.8% of isolates, respectively. Moreover, the prevalence of virulence genes rmpA, acrAB, and tolC was 0%, 95.8%, and 87.5%, respectively.

Conclusion: This study demonstrated a high level of antibiotic resistance and a significant presence of virulence genes among K. pneumoniae isolates. Consequently, these findings represent a critical public health issue that requires heightened awareness among all stakeholders, including health workers.

Abstract Image

Abstract Image

印度尼西亚Pontianak多药耐药肺炎克雷伯菌临床分离株抗生素耐药性和毒力因子谱的第一份报告。
目的:肺炎克雷伯菌被认为是医院获得性感染的最常见原因之一。它的流行给医院和公共卫生系统带来了重大挑战,特别是由于耐多药菌株的增加。了解肺炎克雷伯菌的流行病学和耐药特性可以为抗菌药物管理和感染控制规划提供信息。横断面研究于2021年11月至2023年11月进行。方法:采用纸片扩散法、广谱β -内酰胺酶(ESBL)生产试验和分子基因检测对24株分离菌株进行药敏试验。结果:95.8%的临床分离株被分类为多重耐药。所有分离株均对氨苄西林耐药(100%)。对头孢唑林(91.7%)、头孢曲松(87.5%)、头孢噻肟(87.5%)、头孢吡肟(87.5%)、环丙沙星(83.3%)、磺胺甲恶唑-甲氧苄啶(83.3%)耐药的菌株比例较高。24株分离株中,ESBL基因阳性率为87.5%,GES、NDM、SIM和OXA-48的阳性率分别为16.7%、20.8%、8.3%和41.7%。值得注意的是,与鲍曼不动杆菌相关的OXA-23和OXA-51基因分别在16.7%和20.8%的分离株中检测到。毒力基因rmpA、acrAB和tolC的阳性率分别为0%、95.8%和87.5%。结论:本研究表明,在肺炎克雷伯菌分离株中存在高水平的抗生素耐药性和显著的毒力基因。因此,这些调查结果是一个关键的公共卫生问题,需要包括卫生工作者在内的所有利益攸关方提高认识。
本文章由计算机程序翻译,如有差异,请以英文原文为准。
求助全文
约1分钟内获得全文 求助全文
来源期刊
Osong Public Health and Research Perspectives
Osong Public Health and Research Perspectives Medicine-Public Health, Environmental and Occupational Health
CiteScore
10.30
自引率
2.30%
发文量
44
审稿时长
16 weeks
×
引用
GB/T 7714-2015
复制
MLA
复制
APA
复制
导出至
BibTeX EndNote RefMan NoteFirst NoteExpress
×
提示
您的信息不完整,为了账户安全,请先补充。
现在去补充
×
提示
您因"违规操作"
具体请查看互助需知
我知道了
×
提示
确定
请完成安全验证×
copy
已复制链接
快去分享给好友吧!
我知道了
右上角分享
点击右上角分享
0
联系我们:info@booksci.cn Book学术提供免费学术资源搜索服务,方便国内外学者检索中英文文献。致力于提供最便捷和优质的服务体验。 Copyright © 2023 布克学术 All rights reserved.
京ICP备2023020795号-1
ghs 京公网安备 11010802042870号
Book学术文献互助
Book学术文献互助群
群 号:604180095
Book学术官方微信