Association of liver abscess with demographic factors, gross pathology, and gastrointestinal histologic morphology in feedyard mortalities.

IF 1.8 Q3 AGRICULTURE, DAIRY & ANIMAL SCIENCE
Translational Animal Science Pub Date : 2025-03-06 eCollection Date: 2025-01-01 DOI:10.1093/tas/txaf031
Rachel E Champagne, Phillip A Lancaster, Brad J White, Paige H Schmidt, Madeline R Mancke, MaKenna Jensen, Brandon Depenbusch, Cody Nichols, Brandon L Plattner, Laura Carpenter, Katie Long, Kadyn Nuncio
{"title":"Association of liver abscess with demographic factors, gross pathology, and gastrointestinal histologic morphology in feedyard mortalities.","authors":"Rachel E Champagne, Phillip A Lancaster, Brad J White, Paige H Schmidt, Madeline R Mancke, MaKenna Jensen, Brandon Depenbusch, Cody Nichols, Brandon L Plattner, Laura Carpenter, Katie Long, Kadyn Nuncio","doi":"10.1093/tas/txaf031","DOIUrl":null,"url":null,"abstract":"<p><p>Liver abscesses (LA) are a major cause of hepatic condemnation in feedlot cattle (~ 20% beef carcasses) creating concerns surrounding carcass contamination, impaired performance, and antimicrobial stewardship. Due to antemortem limitations in determining LA status, risk factors for LA during the feeding phase are poorly characterized. The objective was to identify factors associated with the presence of LA in feedlot mortalities at necropsy, including demographic factors, and gross and histologic gastrointestinal (GI) morphologic lesions. Systematic necropsies (n = 900) were performed in 6 central U.S. commercial feedyards (June/July 2022 and 2023). Gross morphologic diagnoses were determined by technicians and confirmed by a veterinarian. Formalin-fixed sections of rumen, small intestine (SI), and spiral colon (SC) were collected from LA cases (n = 40) and time-, feedlot-matched controls (CON; no LA; n = 40). Demographic data collected included sex, days on feed at death (DOF), arrival weight, number of disease treatments, and estimated weight at death. Morphologic features were measured in GI tissues using hematoxylin and eosin stain and alcian blue stain was used to evaluate goblet cell area in SI and SC. General and linear mixed-effects models were used to evaluate LA association with demographic, gross lesions, and histomorphologic changes identified in LA and CON cases. Steers had greater (<i>P</i> < 0.01) probability of LA than heifers (0.16 vs. 0.06, respectively). Dairy-influenced cases had a greater (<i>P</i> = 0.04) probability of LA than traditional beef breeds (0.30 vs. 0.03, respectively). Cases that were 101 + DOF had a greater (<i>P</i> < 0.01) probability of LA than those <50 DOF (0.20 vs. 0.06, respectively). Cases with peritoneal adhesions had a greater (<i>P</i> < 0.01) probability of having LA than cases without peritoneal adhesions. Liver abscess cases had wider (<i>P</i> = 0.03) rumen papillae and thinner (<i>P</i> = 0.05) keratin layer lining papillae in the rumen, and shallower (<i>P</i> = 0.02) crypts and thinner (<i>P</i> = 0.02) propria in the SI than CON cases. A tendency (<i>P</i> = 0.08) for LA cases to have a lower percent area of goblet cells in the SI than CON cases was observed. No differences in SC morphology were observed. Although results are biased to only feedlot mortalities, these findings indicate an association of LA with histomorphologic measures, gross pathology, and demographic factors. Further investigation is required to better understand factors influencing LA formation in feedlot cattle.</p>","PeriodicalId":23272,"journal":{"name":"Translational Animal Science","volume":"9 ","pages":"txaf031"},"PeriodicalIF":1.8000,"publicationDate":"2025-03-06","publicationTypes":"Journal Article","fieldsOfStudy":null,"isOpenAccess":false,"openAccessPdf":"https://www.ncbi.nlm.nih.gov/pmc/articles/PMC11971717/pdf/","citationCount":"0","resultStr":null,"platform":"Semanticscholar","paperid":null,"PeriodicalName":"Translational Animal Science","FirstCategoryId":"1085","ListUrlMain":"https://doi.org/10.1093/tas/txaf031","RegionNum":0,"RegionCategory":null,"ArticlePicture":[],"TitleCN":null,"AbstractTextCN":null,"PMCID":null,"EPubDate":"2025/1/1 0:00:00","PubModel":"eCollection","JCR":"Q3","JCRName":"AGRICULTURE, DAIRY & ANIMAL SCIENCE","Score":null,"Total":0}
引用次数: 0

Abstract

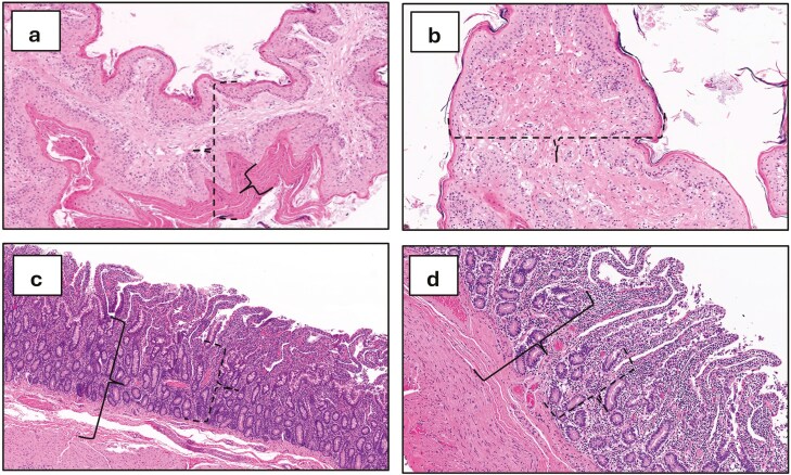
Liver abscesses (LA) are a major cause of hepatic condemnation in feedlot cattle (~ 20% beef carcasses) creating concerns surrounding carcass contamination, impaired performance, and antimicrobial stewardship. Due to antemortem limitations in determining LA status, risk factors for LA during the feeding phase are poorly characterized. The objective was to identify factors associated with the presence of LA in feedlot mortalities at necropsy, including demographic factors, and gross and histologic gastrointestinal (GI) morphologic lesions. Systematic necropsies (n = 900) were performed in 6 central U.S. commercial feedyards (June/July 2022 and 2023). Gross morphologic diagnoses were determined by technicians and confirmed by a veterinarian. Formalin-fixed sections of rumen, small intestine (SI), and spiral colon (SC) were collected from LA cases (n = 40) and time-, feedlot-matched controls (CON; no LA; n = 40). Demographic data collected included sex, days on feed at death (DOF), arrival weight, number of disease treatments, and estimated weight at death. Morphologic features were measured in GI tissues using hematoxylin and eosin stain and alcian blue stain was used to evaluate goblet cell area in SI and SC. General and linear mixed-effects models were used to evaluate LA association with demographic, gross lesions, and histomorphologic changes identified in LA and CON cases. Steers had greater (P < 0.01) probability of LA than heifers (0.16 vs. 0.06, respectively). Dairy-influenced cases had a greater (P = 0.04) probability of LA than traditional beef breeds (0.30 vs. 0.03, respectively). Cases that were 101 + DOF had a greater (P < 0.01) probability of LA than those <50 DOF (0.20 vs. 0.06, respectively). Cases with peritoneal adhesions had a greater (P < 0.01) probability of having LA than cases without peritoneal adhesions. Liver abscess cases had wider (P = 0.03) rumen papillae and thinner (P = 0.05) keratin layer lining papillae in the rumen, and shallower (P = 0.02) crypts and thinner (P = 0.02) propria in the SI than CON cases. A tendency (P = 0.08) for LA cases to have a lower percent area of goblet cells in the SI than CON cases was observed. No differences in SC morphology were observed. Although results are biased to only feedlot mortalities, these findings indicate an association of LA with histomorphologic measures, gross pathology, and demographic factors. Further investigation is required to better understand factors influencing LA formation in feedlot cattle.

Abstract Image

饲料场死亡率中肝脓肿与人口学因素、大体病理和胃肠道组织学形态的关系。
肝脓肿(LA)是饲养场牛(约20%的牛肉尸体)肝脏谴责的主要原因,引起了对胴体污染、性能受损和抗菌药物管理的担忧。由于在死前确定LA状态的限制,在喂养阶段LA的危险因素的特征很差。目的是确定与LA在饲养场尸检死亡率相关的因素,包括人口统计学因素,以及大体和组织学胃肠道(GI)形态学病变。系统尸检(n = 900)在美国中部6个商业饲料场进行(2022年6月/ 7月和2023年)。大体形态学诊断由技术人员确定并由兽医确认。从LA病例(n = 40)和时间、饲料场匹配的对照组(CON;没有拉;n = 40)。收集的人口统计数据包括性别、死亡时进食天数(DOF)、出生体重、疾病治疗次数和死亡时估计体重。使用苏木精和伊红染色测量GI组织的形态学特征,使用阿利新蓝染色评估SI和SC的杯状细胞面积。使用一般和线性混合效应模型评估LA与LA和CON病例中确定的人口统计学、大体病变和组织形态学变化的关系。阉牛患LA的概率高于传统牛肉品种(分别为0.30 vs. 0.03) (P P = 0.04)。101 + DOF组瘤胃乳头较多(P P = 0.03),乳头内角蛋白层较薄(P = 0.05),隐窝较浅(P = 0.02),固有层较薄(P = 0.02)。观察到LA病例在SI中杯状细胞面积比CON病例低的趋势(P = 0.08)。未观察到SC形态的差异。尽管结果仅偏向于饲养场死亡率,但这些发现表明LA与组织形态学测量、大体病理学和人口统计学因素有关。为了更好地了解影响饲养场牛乳酸形成的因素,需要进一步的研究。
本文章由计算机程序翻译,如有差异,请以英文原文为准。
求助全文
约1分钟内获得全文 求助全文
来源期刊
Translational Animal Science
Translational Animal Science Veterinary-Veterinary (all)
CiteScore
2.80
自引率
15.40%
发文量
149
审稿时长
8 weeks
期刊介绍: Translational Animal Science (TAS) is the first open access-open review animal science journal, encompassing a broad scope of research topics in animal science. TAS focuses on translating basic science to innovation, and validation of these innovations by various segments of the allied animal industry. Readers of TAS will typically represent education, industry, and government, including research, teaching, administration, extension, management, quality assurance, product development, and technical services. Those interested in TAS typically include animal breeders, economists, embryologists, engineers, food scientists, geneticists, microbiologists, nutritionists, veterinarians, physiologists, processors, public health professionals, and others with an interest in animal production and applied aspects of animal sciences.
×
引用
GB/T 7714-2015
复制
MLA
复制
APA
复制
导出至
BibTeX EndNote RefMan NoteFirst NoteExpress
×
提示
您的信息不完整,为了账户安全,请先补充。
现在去补充
×
提示
您因"违规操作"
具体请查看互助需知
我知道了
×
提示
确定
请完成安全验证×
copy
已复制链接
快去分享给好友吧!
我知道了
右上角分享
点击右上角分享
0
联系我们:info@booksci.cn Book学术提供免费学术资源搜索服务,方便国内外学者检索中英文文献。致力于提供最便捷和优质的服务体验。 Copyright © 2023 布克学术 All rights reserved.
京ICP备2023020795号-1
ghs 京公网安备 11010802042870号
Book学术文献互助
Book学术文献互助群
群 号:604180095
Book学术官方微信