Dynamic left ventricular outflow tract obstruction induced by intra-aortic balloon pump in patient with angioedema.

IF 2.9 Q2 Medicine
Konstantin Yastrebov, Gregory Cranney
{"title":"Dynamic left ventricular outflow tract obstruction induced by intra-aortic balloon pump in patient with angioedema.","authors":"Konstantin Yastrebov, Gregory Cranney","doi":"10.1186/s13089-025-00426-4","DOIUrl":null,"url":null,"abstract":"<p><strong>Background: </strong>Intra-aortic balloon pump is used for temporary mechanical support of failing left ventricle. It works by reducing the arterial afterload during ventricular systole to reduce myocardial work and increasing diastolic proximal aortic pressure to improve coronary perfusion. Rarely, intra-aortic balloon pump (IABP) can become the cause of severe haemodynamic compromise, causing dynamic left ventricular outflow tract obstruction.</p><p><strong>Case presentation: </strong>An 88-yo man presented with angiotensin converting enzyme inhibitor (ACEI) - induced angioedema. He received steroids and adrenaline, but progressed to the respiratory arrest, requiring emergency awake fiberoptic intubation and mechanical ventilation. Echocardiography revealed catecholamine-induced reversed Takotsubo cardiomyopathy. The patient suffered asystolic cardiac arrest on arrival to intensive care unit (ICU), requiring cardiopulmonary resuscitation (CPR). Bradycardia and hypotension were treated with atrial pacing and (IABP). Icatibant was administered for angioedema. After several hours of haemodynamic stability, severe hypotension returned. Bedside echocardiographic diagnosis of recovery from Takotsubo and new development of IABP-induced dynamic left ventricular outflow tract obstruction (DLVOTO) was made. Stopping IABP resulted in rapid haemodynamic recovery. Repeated doses of Icatibant were needed. The patient survived and returned to independent living.</p><p><strong>Conclusions: </strong>Immediate echocardiographic recognition of iatrogenic DLVOTO caused by IABP allows discontinuation of IABP support as a life-saving intervention. Dynamic application of spectral Doppler with changes in IABP settings is required for correct diagnosis.</p>","PeriodicalId":36911,"journal":{"name":"Ultrasound Journal","volume":"17 1","pages":"22"},"PeriodicalIF":2.9000,"publicationDate":"2025-04-07","publicationTypes":"Journal Article","fieldsOfStudy":null,"isOpenAccess":false,"openAccessPdf":"https://www.ncbi.nlm.nih.gov/pmc/articles/PMC11977056/pdf/","citationCount":"0","resultStr":null,"platform":"Semanticscholar","paperid":null,"PeriodicalName":"Ultrasound Journal","FirstCategoryId":"1085","ListUrlMain":"https://doi.org/10.1186/s13089-025-00426-4","RegionNum":0,"RegionCategory":null,"ArticlePicture":[],"TitleCN":null,"AbstractTextCN":null,"PMCID":null,"EPubDate":"","PubModel":"","JCR":"Q2","JCRName":"Medicine","Score":null,"Total":0}
引用次数: 0

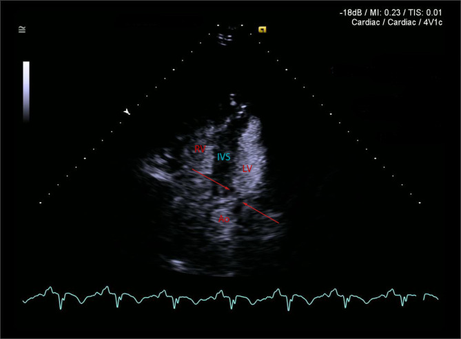
Abstract

Background: Intra-aortic balloon pump is used for temporary mechanical support of failing left ventricle. It works by reducing the arterial afterload during ventricular systole to reduce myocardial work and increasing diastolic proximal aortic pressure to improve coronary perfusion. Rarely, intra-aortic balloon pump (IABP) can become the cause of severe haemodynamic compromise, causing dynamic left ventricular outflow tract obstruction.

Case presentation: An 88-yo man presented with angiotensin converting enzyme inhibitor (ACEI) - induced angioedema. He received steroids and adrenaline, but progressed to the respiratory arrest, requiring emergency awake fiberoptic intubation and mechanical ventilation. Echocardiography revealed catecholamine-induced reversed Takotsubo cardiomyopathy. The patient suffered asystolic cardiac arrest on arrival to intensive care unit (ICU), requiring cardiopulmonary resuscitation (CPR). Bradycardia and hypotension were treated with atrial pacing and (IABP). Icatibant was administered for angioedema. After several hours of haemodynamic stability, severe hypotension returned. Bedside echocardiographic diagnosis of recovery from Takotsubo and new development of IABP-induced dynamic left ventricular outflow tract obstruction (DLVOTO) was made. Stopping IABP resulted in rapid haemodynamic recovery. Repeated doses of Icatibant were needed. The patient survived and returned to independent living.

Conclusions: Immediate echocardiographic recognition of iatrogenic DLVOTO caused by IABP allows discontinuation of IABP support as a life-saving intervention. Dynamic application of spectral Doppler with changes in IABP settings is required for correct diagnosis.

Abstract Image

Abstract Image

主动脉内球囊泵致血管性水肿患者动态左室流出道梗阻。
背景:主动脉内球囊泵用于衰竭左心室的临时机械支持。它通过减少心室收缩时动脉后负荷来减少心肌功,增加舒张期主动脉近端压来改善冠状动脉灌注。很少,主动脉内球囊泵(IABP)可成为严重血流动力学损害的原因,引起动态左心室流出道阻塞。病例介绍:一名88岁的男性出现血管紧张素转换酶抑制剂(ACEI)诱导的血管性水肿。他接受了类固醇和肾上腺素治疗,但进展到呼吸骤停,需要紧急清醒纤维插管和机械通气。超声心动图显示儿茶酚胺诱导的逆转Takotsubo心肌病。患者到达重症监护病房(ICU)时出现心脏骤停,需要心肺复苏(CPR)。心动过缓和低血压均予心房起搏和(IABP)治疗。给予伊卡替班治疗血管性水肿。血流动力学稳定几个小时后,又出现了严重的低血压。本文对Takotsubo术后恢复的床边超声心动图诊断及iabp诱发的动态左室流出道梗阻(DLVOTO)的新进展进行了综述。停用IABP可迅速恢复血流动力学。需要重复使用伊卡替班特。病人活了下来,恢复了独立生活。结论:立即超声心动图识别IABP引起的医源性DLVOTO,允许停止IABP支持作为一种挽救生命的干预措施。动态应用光谱多普勒随IABP设置的变化是正确诊断所必需的。
本文章由计算机程序翻译,如有差异,请以英文原文为准。
求助全文
约1分钟内获得全文 求助全文
来源期刊
Ultrasound Journal
Ultrasound Journal Health Professions-Radiological and Ultrasound Technology
CiteScore
6.80
自引率
2.90%
发文量
45
审稿时长
22 weeks
×
引用
GB/T 7714-2015
复制
MLA
复制
APA
复制
导出至
BibTeX EndNote RefMan NoteFirst NoteExpress
×
提示
您的信息不完整,为了账户安全,请先补充。
现在去补充
×
提示
您因"违规操作"
具体请查看互助需知
我知道了
×
提示
确定
请完成安全验证×
copy
已复制链接
快去分享给好友吧!
我知道了
右上角分享
点击右上角分享
0
联系我们:info@booksci.cn Book学术提供免费学术资源搜索服务,方便国内外学者检索中英文文献。致力于提供最便捷和优质的服务体验。 Copyright © 2023 布克学术 All rights reserved.
京ICP备2023020795号-1
ghs 京公网安备 11010802042870号
Book学术文献互助
Book学术文献互助群
群 号:604180095
Book学术官方微信