Dentoalveolar process remodelling in the anterior mandible after Class III camouflage treatment with lower premolar extractions.

IF 2.4 2区 医学 Q2 DENTISTRY, ORAL SURGERY & MEDICINE
Dirk Wiechmann, Robert Leven, Per Rank, Yann Janssens, Jonas Q Schmid
{"title":"Dentoalveolar process remodelling in the anterior mandible after Class III camouflage treatment with lower premolar extractions.","authors":"Dirk Wiechmann, Robert Leven, Per Rank, Yann Janssens, Jonas Q Schmid","doi":"10.1186/s13005-025-00493-x","DOIUrl":null,"url":null,"abstract":"<p><strong>Background: </strong>The aim of this investigation was to evaluate if the hard and soft tissue dentoalveolar process of the mandible follows the tooth movements after lower premolar extractions and anterior retraction in Class III camouflage treatment.</p><p><strong>Methods: </strong>This retrospective study included 25 patients in retention (f/m 12,13) who had previously been treated with lower premolar extractions for Class III camouflage with a completely customized lingual appliance (Wits at T0 -6.7, ± 2.5 mm). The periodontal and dental health of the lower 6 anterior teeth was evaluated (T1) by a thermal sensitivity test, probing and visual inspection after a mean retention period of 3.1 years (± 2.5, min/max 1.0/9.6 years). A novel non-invasive method was used to measure the thickness of the hard and soft tissue dentoalveolar process on the labial and lingual side of the teeth before treatment (T0) and in retention (T1) at 3 different levels using superimposed intraoral scans. A paired t-test with α = 5% was used to evaluate differences between the endpoints.</p><p><strong>Results: </strong>At T1, all 25 patients (mean age 26.8 ± 9.7 years, min/max 16.3/49.5 years) presented uncompromised periodontal and dental situations in the lower anterior segment. The presented digital method for evaluating dimensional changes of the dentoalveolar process had excellent reliability (ICC) with a method error of 0.01 mm. The mean total labio-lingual dimension of the hard and soft tissue dentoalveolar process (min/max 7.89/10.02 mm at T0) was identical at T0 and T1 (mean change of 0.00 ± 0.33 mm, min/max -0.98/0.8 mm). At all levels, the teeth moved only 0.12 mm to the lingual side within the dentoalveolar process and therefore, they moved with the dentoalveolar process and not through it.</p><p><strong>Conclusion: </strong>In non-surgical camouflage treatment with lower premolar extractions in moderate to severe Class III malocclusions, the dentoalveolar process can follow the movement of the mandibular incisors and canines during controlled retraction without any adverse effects.</p>","PeriodicalId":12994,"journal":{"name":"Head & Face Medicine","volume":"21 1","pages":"25"},"PeriodicalIF":2.4000,"publicationDate":"2025-04-04","publicationTypes":"Journal Article","fieldsOfStudy":null,"isOpenAccess":false,"openAccessPdf":"https://www.ncbi.nlm.nih.gov/pmc/articles/PMC11969860/pdf/","citationCount":"0","resultStr":null,"platform":"Semanticscholar","paperid":null,"PeriodicalName":"Head & Face Medicine","FirstCategoryId":"3","ListUrlMain":"https://doi.org/10.1186/s13005-025-00493-x","RegionNum":2,"RegionCategory":"医学","ArticlePicture":[],"TitleCN":null,"AbstractTextCN":null,"PMCID":null,"EPubDate":"","PubModel":"","JCR":"Q2","JCRName":"DENTISTRY, ORAL SURGERY & MEDICINE","Score":null,"Total":0}
引用次数: 0

Abstract

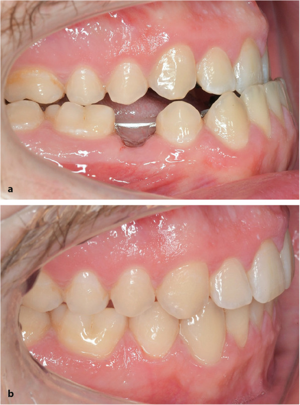
Background: The aim of this investigation was to evaluate if the hard and soft tissue dentoalveolar process of the mandible follows the tooth movements after lower premolar extractions and anterior retraction in Class III camouflage treatment.

Methods: This retrospective study included 25 patients in retention (f/m 12,13) who had previously been treated with lower premolar extractions for Class III camouflage with a completely customized lingual appliance (Wits at T0 -6.7, ± 2.5 mm). The periodontal and dental health of the lower 6 anterior teeth was evaluated (T1) by a thermal sensitivity test, probing and visual inspection after a mean retention period of 3.1 years (± 2.5, min/max 1.0/9.6 years). A novel non-invasive method was used to measure the thickness of the hard and soft tissue dentoalveolar process on the labial and lingual side of the teeth before treatment (T0) and in retention (T1) at 3 different levels using superimposed intraoral scans. A paired t-test with α = 5% was used to evaluate differences between the endpoints.

Results: At T1, all 25 patients (mean age 26.8 ± 9.7 years, min/max 16.3/49.5 years) presented uncompromised periodontal and dental situations in the lower anterior segment. The presented digital method for evaluating dimensional changes of the dentoalveolar process had excellent reliability (ICC) with a method error of 0.01 mm. The mean total labio-lingual dimension of the hard and soft tissue dentoalveolar process (min/max 7.89/10.02 mm at T0) was identical at T0 and T1 (mean change of 0.00 ± 0.33 mm, min/max -0.98/0.8 mm). At all levels, the teeth moved only 0.12 mm to the lingual side within the dentoalveolar process and therefore, they moved with the dentoalveolar process and not through it.

Conclusion: In non-surgical camouflage treatment with lower premolar extractions in moderate to severe Class III malocclusions, the dentoalveolar process can follow the movement of the mandibular incisors and canines during controlled retraction without any adverse effects.

Abstract Image

Abstract Image

Abstract Image

下颌前磨牙III类伪装治疗后牙槽突的重建。
背景:本研究的目的是评估在III类伪装治疗中,下颌硬软组织牙槽突是否跟随下前磨牙拔除和前缩后的牙齿运动。方法:本回顾性研究包括25例患者(f/m 12,13),这些患者先前使用完全定制的舌矫治器(Wits在T0 -6.7,±2.5 mm)进行下前磨牙拔牙治疗III类掩饰。平均保留时间3.1年(±2.5年,最小/最大1.0/9.6年)后,通过热敏试验、探诊和目视检查评估下6颗前牙的牙周和牙齿健康(T1)。采用一种新颖的无创方法,利用叠加口内扫描在治疗前(T0)和保留期(T1)的3个不同水平上测量牙齿唇侧和舌侧硬、软组织牙槽突的厚度。采用α = 5%的配对t检验来评价终点间的差异。结果:在T1时,25例患者(平均年龄26.8±9.7岁,最小/最大年龄16.3/49.5岁)均未出现下前段牙周和牙体损伤。所提出的牙槽突尺寸变化的数字化评价方法具有良好的可靠性(ICC),方法误差为0.01 mm。硬、软组织牙槽突唇舌平均总尺寸(T0时min/max为7.89/10.02 mm)与T1时相同(平均变化0.00±0.33 mm, min/max为-0.98/0.8 mm)。在所有水平,牙齿在牙槽突内仅向舌侧移动0.12 mm,因此,它们随牙槽突移动而不是通过牙槽突。结论:中重度III类错颌非手术伪装下前磨牙拔除治疗中,牙槽突可随下颌切牙和犬齿控制内收时的运动而变化,无不良反应。
本文章由计算机程序翻译,如有差异,请以英文原文为准。
求助全文
约1分钟内获得全文 求助全文
来源期刊
Head & Face Medicine
Head & Face Medicine DENTISTRY, ORAL SURGERY & MEDICINE-
CiteScore
4.70
自引率
3.30%
发文量
32
审稿时长
>12 weeks
期刊介绍: Head & Face Medicine is a multidisciplinary open access journal that publishes basic and clinical research concerning all aspects of cranial, facial and oral conditions. The journal covers all aspects of cranial, facial and oral diseases and their management. It has been designed as a multidisciplinary journal for clinicians and researchers involved in the diagnostic and therapeutic aspects of diseases which affect the human head and face. The journal is wide-ranging, covering the development, aetiology, epidemiology and therapy of head and face diseases to the basic science that underlies these diseases. Management of head and face diseases includes all aspects of surgical and non-surgical treatments including psychopharmacological therapies.
×
引用
GB/T 7714-2015
复制
MLA
复制
APA
复制
导出至
BibTeX EndNote RefMan NoteFirst NoteExpress
×
提示
您的信息不完整,为了账户安全,请先补充。
现在去补充
×
提示
您因"违规操作"
具体请查看互助需知
我知道了
×
提示
确定
请完成安全验证×
copy
已复制链接
快去分享给好友吧!
我知道了
右上角分享
点击右上角分享
0
联系我们:info@booksci.cn Book学术提供免费学术资源搜索服务,方便国内外学者检索中英文文献。致力于提供最便捷和优质的服务体验。 Copyright © 2023 布克学术 All rights reserved.
京ICP备2023020795号-1
ghs 京公网安备 11010802042870号
Book学术文献互助
Book学术文献互助群
群 号:604180095
Book学术官方微信