Behçet syndrome with eye involvement.

IF 1.2 Q4 OPHTHALMOLOGY
Saudi Journal of Ophthalmology Pub Date : 2025-02-07 eCollection Date: 2025-01-01 DOI:10.4103/sjopt.sjopt_228_24
Didar Ucar, Sinem N Esatoglu
{"title":"Behçet syndrome with eye involvement.","authors":"Didar Ucar, Sinem N Esatoglu","doi":"10.4103/sjopt.sjopt_228_24","DOIUrl":null,"url":null,"abstract":"<p><p>Behçet's uveitis (BU) is a significant form of major organ involvement in Behçet syndrome and is associated with considerable morbidity. Ocular examination is crucial for diagnosing BS and detecting vitreous cells, even in asymptomatic patients. The primary goals in managing BU are to rapidly suppress ocular inflammation and prevent relapses. Initial treatment for posterior segment involvement in BU typically involves immunosuppressive agents combined with glucocorticoids. Biologic agents are increasingly used in BU management, including as first-line treatments for patients with poor prognostic risk factors or sight-threatening uveitis. There is no established consensus on when to discontinue or taper immunosuppressive therapy. Once remission is achieved, the absence of retinal vasculitis should be confirmed with fluorescein angiography, which should be utilized throughout the process of tapering immunosuppressive therapy. In addition to monoclonal tumor necrosis factor-alpha antagonists and tocilizumab, Janus kinase inhibitors may offer the potential for managing BU in the future.</p>","PeriodicalId":46810,"journal":{"name":"Saudi Journal of Ophthalmology","volume":"39 1","pages":"47-53"},"PeriodicalIF":1.2000,"publicationDate":"2025-02-07","publicationTypes":"Journal Article","fieldsOfStudy":null,"isOpenAccess":false,"openAccessPdf":"https://www.ncbi.nlm.nih.gov/pmc/articles/PMC11964342/pdf/","citationCount":"0","resultStr":null,"platform":"Semanticscholar","paperid":null,"PeriodicalName":"Saudi Journal of Ophthalmology","FirstCategoryId":"1085","ListUrlMain":"https://doi.org/10.4103/sjopt.sjopt_228_24","RegionNum":0,"RegionCategory":null,"ArticlePicture":[],"TitleCN":null,"AbstractTextCN":null,"PMCID":null,"EPubDate":"2025/1/1 0:00:00","PubModel":"eCollection","JCR":"Q4","JCRName":"OPHTHALMOLOGY","Score":null,"Total":0}
引用次数: 0

Abstract

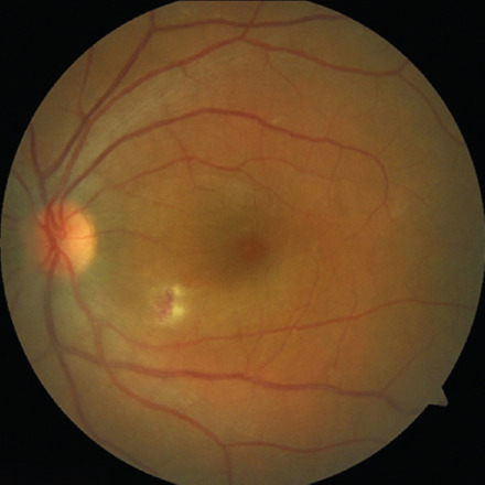
Behçet's uveitis (BU) is a significant form of major organ involvement in Behçet syndrome and is associated with considerable morbidity. Ocular examination is crucial for diagnosing BS and detecting vitreous cells, even in asymptomatic patients. The primary goals in managing BU are to rapidly suppress ocular inflammation and prevent relapses. Initial treatment for posterior segment involvement in BU typically involves immunosuppressive agents combined with glucocorticoids. Biologic agents are increasingly used in BU management, including as first-line treatments for patients with poor prognostic risk factors or sight-threatening uveitis. There is no established consensus on when to discontinue or taper immunosuppressive therapy. Once remission is achieved, the absence of retinal vasculitis should be confirmed with fluorescein angiography, which should be utilized throughout the process of tapering immunosuppressive therapy. In addition to monoclonal tumor necrosis factor-alpha antagonists and tocilizumab, Janus kinase inhibitors may offer the potential for managing BU in the future.

Abstract Image

Abstract Image

Abstract Image

伴有眼部受累的behaperet综合征。
贝赫切特葡萄膜炎(BU)是贝赫切特综合征主要器官受累的一种重要形式,发病率相当高。眼部检查是诊断贝赫切特综合征和检测玻璃体细胞的关键,即使在无症状的患者中也是如此。治疗贝赫切特综合征的首要目标是迅速抑制眼部炎症并防止复发。BU后节受累的初始治疗通常包括免疫抑制剂和糖皮质激素。生物制剂正越来越多地用于 BU 的治疗,包括作为一线治疗药物用于有不良预后风险因素或有视力威胁的葡萄膜炎患者。关于何时停用或减量免疫抑制剂治疗,目前尚无定论。一旦病情得到缓解,应通过荧光素血管造影术确认视网膜血管炎不存在,并在整个减量免疫抑制治疗过程中加以应用。除了单克隆肿瘤坏死因子-α拮抗剂和托珠单抗外,Janus 激酶抑制剂也有可能在未来用于治疗 BU。
本文章由计算机程序翻译,如有差异,请以英文原文为准。
求助全文
约1分钟内获得全文 求助全文
来源期刊
CiteScore
0.90
自引率
0.00%
发文量
79
审稿时长
13 weeks
期刊介绍: Saudi Journal of Ophthalmology is an English language, peer-reviewed scholarly publication in the area of ophthalmology. Saudi Journal of Ophthalmology publishes original papers, clinical studies, reviews and case reports. Saudi Journal of Ophthalmology is the official publication of the Saudi Ophthalmological Society and is published by King Saud University in collaboration with Elsevier and is edited by an international group of eminent researchers.
×
引用
GB/T 7714-2015
复制
MLA
复制
APA
复制
导出至
BibTeX EndNote RefMan NoteFirst NoteExpress
×
提示
您的信息不完整,为了账户安全,请先补充。
现在去补充
×
提示
您因"违规操作"
具体请查看互助需知
我知道了
×
提示
确定
请完成安全验证×
copy
已复制链接
快去分享给好友吧!
我知道了
右上角分享
点击右上角分享
0
联系我们:info@booksci.cn Book学术提供免费学术资源搜索服务,方便国内外学者检索中英文文献。致力于提供最便捷和优质的服务体验。 Copyright © 2023 布克学术 All rights reserved.
京ICP备2023020795号-1
ghs 京公网安备 11010802042870号
Book学术文献互助
Book学术文献互助群
群 号:604180095
Book学术官方微信