Congruency between publicly available pictorial displays of medial temporal lobe atrophy.

IF 4.7 2区 医学 Q1 RADIOLOGY, NUCLEAR MEDICINE & MEDICAL IMAGING
European Radiology Pub Date : 2025-10-01 Epub Date: 2025-04-03 DOI:10.1007/s00330-025-11529-w
Felicia Forseni Flodin, Sven Haller, Leo Poom, David Fällmar
{"title":"Congruency between publicly available pictorial displays of medial temporal lobe atrophy.","authors":"Felicia Forseni Flodin, Sven Haller, Leo Poom, David Fällmar","doi":"10.1007/s00330-025-11529-w","DOIUrl":null,"url":null,"abstract":"<p><p>The medial temporal lobe atrophy (MTA) score is used for visual assessment of MTA on radiological images in suspected neurodegenerative dementia. Although volumetric tools are available, many radiologists still use visual scoring and compare to reference images. Numerous such example images are found online on educational websites and in scientific articles. The aim of this study was to compare congruencies between MTA scores of publicly available sample images with normalized heights and areas of relevant brain structures, measured in the same images.</p><p><strong>Method: </strong>Systematic online searches yielded 148 individual sample images. The height and area of relevant brain structures were manually delineated, normalized, and compared with regard to the displayed MTA score.</p><p><strong>Results: </strong>The normalized heights and areas showed correlation with MTA but with considerable overlap between adjacent scores, especially when comparing heights. Also, displays of the MTA score were more consistent with the area of the temporal horn than with the hippocampal area.</p><p><strong>Conclusion: </strong>There is considerable overlap between adjacent scores in publicly available pictorial displays of the MTA grading system. Insufficient congruency leads to confusion and reduces inter-rater reliability. We also found that publicly available images are more consistent with temporal horn area than the hippocampus, which means that ventricular size may bias the grading. This can impede relevant differential diagnostics, especially regarding normal pressure hydrocephalus. Here, we present lectotype images selected specifically with regard to the hippocampal area.</p><p><strong>Key points: </strong>Question Overlap between publicly available example images of medial temporal atrophy causes confusion and limits reliability. Findings Available images are more consistent with ventricular dilatation than hippocampal atrophy; this article provides lectotype images selected specifically regarding the hippocampal area. Clinical relevance Visual assessment of medial temporal atrophy is used daily and worldwide in radiological examinations regarding suspected dementia. In clinical routine, many radiologists experience uncertainty, and hydrocephalus is often overlooked. This may be caused by insufficient congruency between educational sample images.</p>","PeriodicalId":12076,"journal":{"name":"European Radiology","volume":" ","pages":"5944-5953"},"PeriodicalIF":4.7000,"publicationDate":"2025-10-01","publicationTypes":"Journal Article","fieldsOfStudy":null,"isOpenAccess":false,"openAccessPdf":"https://www.ncbi.nlm.nih.gov/pmc/articles/PMC12417228/pdf/","citationCount":"0","resultStr":null,"platform":"Semanticscholar","paperid":null,"PeriodicalName":"European Radiology","FirstCategoryId":"3","ListUrlMain":"https://doi.org/10.1007/s00330-025-11529-w","RegionNum":2,"RegionCategory":"医学","ArticlePicture":[],"TitleCN":null,"AbstractTextCN":null,"PMCID":null,"EPubDate":"2025/4/3 0:00:00","PubModel":"Epub","JCR":"Q1","JCRName":"RADIOLOGY, NUCLEAR MEDICINE & MEDICAL IMAGING","Score":null,"Total":0}
引用次数: 0

Abstract

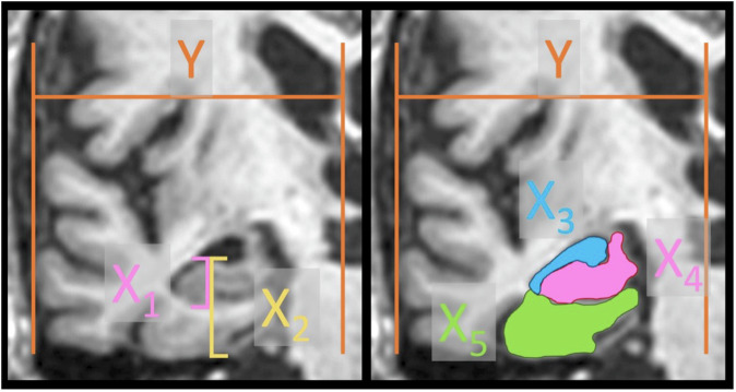
The medial temporal lobe atrophy (MTA) score is used for visual assessment of MTA on radiological images in suspected neurodegenerative dementia. Although volumetric tools are available, many radiologists still use visual scoring and compare to reference images. Numerous such example images are found online on educational websites and in scientific articles. The aim of this study was to compare congruencies between MTA scores of publicly available sample images with normalized heights and areas of relevant brain structures, measured in the same images.

Method: Systematic online searches yielded 148 individual sample images. The height and area of relevant brain structures were manually delineated, normalized, and compared with regard to the displayed MTA score.

Results: The normalized heights and areas showed correlation with MTA but with considerable overlap between adjacent scores, especially when comparing heights. Also, displays of the MTA score were more consistent with the area of the temporal horn than with the hippocampal area.

Conclusion: There is considerable overlap between adjacent scores in publicly available pictorial displays of the MTA grading system. Insufficient congruency leads to confusion and reduces inter-rater reliability. We also found that publicly available images are more consistent with temporal horn area than the hippocampus, which means that ventricular size may bias the grading. This can impede relevant differential diagnostics, especially regarding normal pressure hydrocephalus. Here, we present lectotype images selected specifically with regard to the hippocampal area.

Key points: Question Overlap between publicly available example images of medial temporal atrophy causes confusion and limits reliability. Findings Available images are more consistent with ventricular dilatation than hippocampal atrophy; this article provides lectotype images selected specifically regarding the hippocampal area. Clinical relevance Visual assessment of medial temporal atrophy is used daily and worldwide in radiological examinations regarding suspected dementia. In clinical routine, many radiologists experience uncertainty, and hydrocephalus is often overlooked. This may be caused by insufficient congruency between educational sample images.

Abstract Image

Abstract Image

Abstract Image

内侧颞叶萎缩的公开图像显示之间的一致性。
内侧颞叶萎缩(MTA)评分用于MTA在疑似神经退行性痴呆的放射图像上的视觉评估。虽然体积测量工具是可用的,但许多放射科医生仍然使用视觉评分并与参考图像进行比较。在网上的教育网站和科学文章中可以找到许多这样的例子。本研究的目的是比较在相同图像中测量的具有标准化高度和相关脑结构区域的公开可用样本图像的MTA分数之间的一致性。方法:系统的在线检索得到148张单独的样本图像。相关脑结构的高度和面积被手工描绘、归一化,并与显示的MTA评分进行比较。结果:归一化高度和面积与MTA具有相关性,但相邻分数之间存在相当大的重叠,特别是在比较高度时。此外,MTA评分的显示与颞角的面积比海马的面积更一致。结论:在公开的MTA分级系统图像显示中,相邻的分数有相当大的重叠。一致性不足会导致混淆,降低评分者之间的可靠性。我们还发现,公开可用的图像与海马相比,颞角面积更一致,这意味着心室大小可能会影响分级。这可能妨碍相关的鉴别诊断,特别是对于正常压力脑积水。在这里,我们提出了关于海马区特异性选择的模型图像。公开获得的内侧颞叶萎缩示例图像之间的重叠会导致混淆并限制可靠性。现有图像与脑室扩张比海马萎缩更一致;这篇文章提供了关于海马区特异性选择的模型图像。临床意义内侧颞叶萎缩的视觉评估在日常和世界范围内用于疑似痴呆的放射检查。在临床常规中,许多放射科医师经历不确定性,脑积水经常被忽视。这可能是由于教育样本图像之间一致性不足造成的。
本文章由计算机程序翻译,如有差异,请以英文原文为准。
求助全文
约1分钟内获得全文 求助全文
来源期刊
European Radiology
European Radiology 医学-核医学
CiteScore
11.60
自引率
8.50%
发文量
874
审稿时长
2-4 weeks
期刊介绍: European Radiology (ER) continuously updates scientific knowledge in radiology by publication of strong original articles and state-of-the-art reviews written by leading radiologists. A well balanced combination of review articles, original papers, short communications from European radiological congresses and information on society matters makes ER an indispensable source for current information in this field. This is the Journal of the European Society of Radiology, and the official journal of a number of societies. From 2004-2008 supplements to European Radiology were published under its companion, European Radiology Supplements, ISSN 1613-3749.
×
引用
GB/T 7714-2015
复制
MLA
复制
APA
复制
导出至
BibTeX EndNote RefMan NoteFirst NoteExpress
×
提示
您的信息不完整,为了账户安全,请先补充。
现在去补充
×
提示
您因"违规操作"
具体请查看互助需知
我知道了
×
提示
确定
请完成安全验证×
copy
已复制链接
快去分享给好友吧!
我知道了
右上角分享
点击右上角分享
0
联系我们:info@booksci.cn Book学术提供免费学术资源搜索服务,方便国内外学者检索中英文文献。致力于提供最便捷和优质的服务体验。 Copyright © 2023 布克学术 All rights reserved.
京ICP备2023020795号-1
ghs 京公网安备 11010802042870号
Book学术文献互助
Book学术文献互助群
群 号:604180095
Book学术官方微信