From eschar to diagnosis: A case report on scrub typhus causing multi-organ failure in a returning traveller.

IF 3.9 4区 医学 Q1 MEDICINE, GENERAL & INTERNAL
Clinical Medicine Pub Date : 2025-05-01 Epub Date: 2025-04-01 DOI:10.1016/j.clinme.2025.100307
Patrick Eaton, Ahmed Ahmed, Emyr Huws
{"title":"From eschar to diagnosis: A case report on scrub typhus causing multi-organ failure in a returning traveller.","authors":"Patrick Eaton, Ahmed Ahmed, Emyr Huws","doi":"10.1016/j.clinme.2025.100307","DOIUrl":null,"url":null,"abstract":"<p><p>Scrub typhus, caused by Orientia tsutsugamushi, is a rickettsial infection transmitted by mite bites, often underdiagnosed in travellers from endemic regions. This case report describes a 65-year-old female with hypertension who developed severe scrub typhus after a trip to Sri Lanka. She presented with fever, myalgia, headache, fatigue and a scabbed lesion. Initial tests showed neutrophilia, lymphocytopenia and elevated liver enzymes. Malaria was ruled out, and empiric treatment with intravenous Tazocin was initiated. On day 5, she developed Clostridium difficile infection, requiring a switch to oral vancomycin. By day 5, her condition worsened with hypoxia, hypotension, oliguria and renal failure. Chest X-ray revealed bilateral infiltrates and subsequently, she was transferred to critical care. Tests showed positive IgM test for O. tsutsugamushi. Oral doxycycline was started, resulting in rapid improvement. PCR confirmed scrub typhus. This case underscores the importance of early diagnosis and treatment with doxycycline in travellers from endemic areas presenting with febrile illness.</p>","PeriodicalId":10492,"journal":{"name":"Clinical Medicine","volume":" ","pages":"100307"},"PeriodicalIF":3.9000,"publicationDate":"2025-05-01","publicationTypes":"Journal Article","fieldsOfStudy":null,"isOpenAccess":false,"openAccessPdf":"https://www.ncbi.nlm.nih.gov/pmc/articles/PMC12083904/pdf/","citationCount":"0","resultStr":null,"platform":"Semanticscholar","paperid":null,"PeriodicalName":"Clinical Medicine","FirstCategoryId":"3","ListUrlMain":"https://doi.org/10.1016/j.clinme.2025.100307","RegionNum":4,"RegionCategory":"医学","ArticlePicture":[],"TitleCN":null,"AbstractTextCN":null,"PMCID":null,"EPubDate":"2025/4/1 0:00:00","PubModel":"Epub","JCR":"Q1","JCRName":"MEDICINE, GENERAL & INTERNAL","Score":null,"Total":0}
引用次数: 0

Abstract

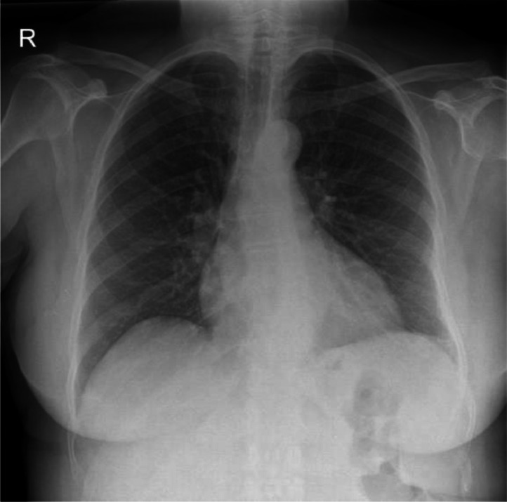
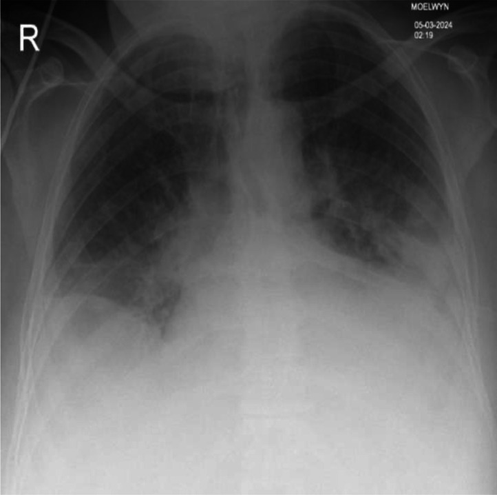
Scrub typhus, caused by Orientia tsutsugamushi, is a rickettsial infection transmitted by mite bites, often underdiagnosed in travellers from endemic regions. This case report describes a 65-year-old female with hypertension who developed severe scrub typhus after a trip to Sri Lanka. She presented with fever, myalgia, headache, fatigue and a scabbed lesion. Initial tests showed neutrophilia, lymphocytopenia and elevated liver enzymes. Malaria was ruled out, and empiric treatment with intravenous Tazocin was initiated. On day 5, she developed Clostridium difficile infection, requiring a switch to oral vancomycin. By day 5, her condition worsened with hypoxia, hypotension, oliguria and renal failure. Chest X-ray revealed bilateral infiltrates and subsequently, she was transferred to critical care. Tests showed positive IgM test for O. tsutsugamushi. Oral doxycycline was started, resulting in rapid improvement. PCR confirmed scrub typhus. This case underscores the importance of early diagnosis and treatment with doxycycline in travellers from endemic areas presenting with febrile illness.

Abstract Image

Abstract Image

Abstract Image

从感染到诊断:一名返程旅客感染恙虫病致多器官功能衰竭1例报告。
恙虫病东方体引起的恙虫病恙虫病是一种由螨叮咬传播的立克次体感染,通常在来自流行地区的旅行者中未得到诊断。本病例报告描述了一名患有高血压的65岁女性,她在前往斯里兰卡旅行后患上了严重的恙虫病。她表现为发热、肌痛、头痛、疲劳和结痂。初步检查显示中性粒细胞增多,淋巴细胞减少,肝酶升高。疟疾被排除在外,并开始了静脉注射他佐辛的经验性治疗。第三天,她出现艰难梭菌感染,需要改用口服万古霉素。第五天,她的病情恶化,出现缺氧、低血压、少尿和肾功能衰竭。胸部x光片显示双侧浸润,随后,她被转入重症监护室。检测显示恙虫病体IgM阳性。开始口服强力霉素,病情迅速好转。PCR确诊为恙虫病。这一病例强调了对来自流行地区出现发热性疾病的旅行者进行早期诊断和强力霉素治疗的重要性。
本文章由计算机程序翻译,如有差异,请以英文原文为准。
求助全文
约1分钟内获得全文 求助全文
来源期刊
Clinical Medicine
Clinical Medicine 医学-医学:内科
CiteScore
7.20
自引率
0.00%
发文量
0
审稿时长
6-12 weeks
期刊介绍: Clinical Medicine is aimed at practising physicians in the UK and overseas and has relevance to all those managing or working within the healthcare sector. Available in print and online, the journal seeks to encourage high standards of medical care by promoting good clinical practice through original research, review and comment. The journal also includes a dedicated continuing medical education (CME) section in each issue. This presents the latest advances in a chosen specialty, with self-assessment questions at the end of each topic enabling CPD accreditation to be acquired. ISSN: 1470-2118 E-ISSN: 1473-4893 Frequency: 6 issues per year
×
引用
GB/T 7714-2015
复制
MLA
复制
APA
复制
导出至
BibTeX EndNote RefMan NoteFirst NoteExpress
×
提示
您的信息不完整,为了账户安全,请先补充。
现在去补充
×
提示
您因"违规操作"
具体请查看互助需知
我知道了
×
提示
确定
请完成安全验证×
copy
已复制链接
快去分享给好友吧!
我知道了
右上角分享
点击右上角分享
0
联系我们:info@booksci.cn Book学术提供免费学术资源搜索服务,方便国内外学者检索中英文文献。致力于提供最便捷和优质的服务体验。 Copyright © 2023 布克学术 All rights reserved.
京ICP备2023020795号-1
ghs 京公网安备 11010802042870号
Book学术文献互助
Book学术文献互助群
群 号:604180095
Book学术官方微信