Exploring conservative avenues in subacute subdural hematoma: the potential role of atorvastatin and dexamethasone as lifesaving allies.

Q2 Medicine
Tao Liu, Chenrui Wu, Weiwei Jiang, Mingqi Liu, Zhuang Sha, Rongcai Jiang
{"title":"Exploring conservative avenues in subacute subdural hematoma: the potential role of atorvastatin and dexamethasone as lifesaving allies.","authors":"Tao Liu, Chenrui Wu, Weiwei Jiang, Mingqi Liu, Zhuang Sha, Rongcai Jiang","doi":"10.1186/s41016-025-00393-8","DOIUrl":null,"url":null,"abstract":"<p><strong>Background: </strong>Most cases of acute subdural hematoma (ASDH) require emergency surgery; only a few patients can survive without surgery in the early stages and then develop into subacute subdural hematoma (sASDH). However, the optimal conservative treatment has not yet been established for these sASDH patients. Based on our previous studies, atorvastatin plus dexamethasone may be safe and effective for them. This article aims to document such cases and analyze the possible mechanisms.</p><p><strong>Case presentation: </strong>We selected five patients with sASDH who received a treatment regimen of atorvastatin plus low-dose dexamethasone without surgery. We then observed the clinical and radiological features during treatment and follow-up. The PubMed database and Google Scholar were retrieved for literature regarding the efficacy and safety of conservative treatment in patients with ASDH/sASDH. We extracted information including authors, sample size, gender, number of patients (death, poor prognosis, delayed surgery), and risk factors.</p><p><strong>Results: </strong>Of the five patients, all patients who refused surgery for various reasons were resolved after treatment with atorvastatin plus low-dose dexamethasone for their conditions. No hematomas recurred or progressed during an at least 6-month follow-up. We identified 6 studies after searching the database; a total of 1374 patients (F:M = 3:7) with ASDH/sASDH received initial conservative treatment. The pooled results showed that 13.1% of patients who initially received conservative treatment deteriorated and required delayed surgical treatment. Of 1374, the overall incidence of poor prognosis was 19.2%, and 7% of patients eventually died.</p><p><strong>Conclusions: </strong>It is essential to establish an optimal conservative treatment for patients with sASDH who cannot undergo surgery in an emergency for various reasons. Atorvastatin plus dexamethasone may be an alternative treatment in such a subgroup of sASDH, although a randomized proof-of-concept clinical trial is needed.</p>","PeriodicalId":36700,"journal":{"name":"Chinese Neurosurgical Journal","volume":"11 1","pages":"7"},"PeriodicalIF":0.0000,"publicationDate":"2025-04-02","publicationTypes":"Journal Article","fieldsOfStudy":null,"isOpenAccess":false,"openAccessPdf":"https://www.ncbi.nlm.nih.gov/pmc/articles/PMC11963444/pdf/","citationCount":"0","resultStr":null,"platform":"Semanticscholar","paperid":null,"PeriodicalName":"Chinese Neurosurgical Journal","FirstCategoryId":"3","ListUrlMain":"https://doi.org/10.1186/s41016-025-00393-8","RegionNum":0,"RegionCategory":null,"ArticlePicture":[],"TitleCN":null,"AbstractTextCN":null,"PMCID":null,"EPubDate":"","PubModel":"","JCR":"Q2","JCRName":"Medicine","Score":null,"Total":0}
引用次数: 0

Abstract

Background: Most cases of acute subdural hematoma (ASDH) require emergency surgery; only a few patients can survive without surgery in the early stages and then develop into subacute subdural hematoma (sASDH). However, the optimal conservative treatment has not yet been established for these sASDH patients. Based on our previous studies, atorvastatin plus dexamethasone may be safe and effective for them. This article aims to document such cases and analyze the possible mechanisms.

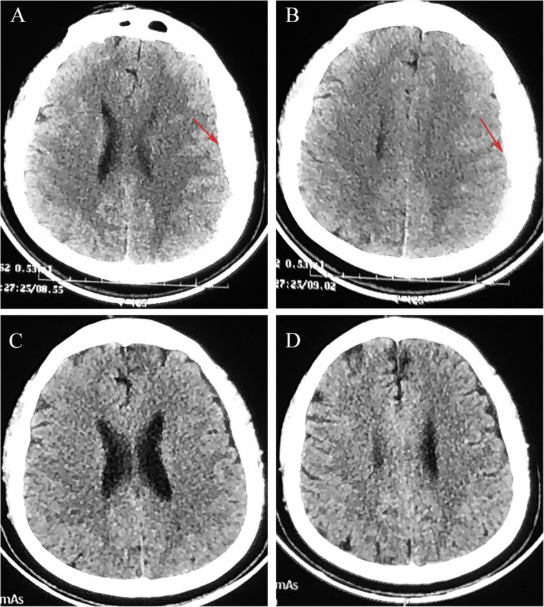
Case presentation: We selected five patients with sASDH who received a treatment regimen of atorvastatin plus low-dose dexamethasone without surgery. We then observed the clinical and radiological features during treatment and follow-up. The PubMed database and Google Scholar were retrieved for literature regarding the efficacy and safety of conservative treatment in patients with ASDH/sASDH. We extracted information including authors, sample size, gender, number of patients (death, poor prognosis, delayed surgery), and risk factors.

Results: Of the five patients, all patients who refused surgery for various reasons were resolved after treatment with atorvastatin plus low-dose dexamethasone for their conditions. No hematomas recurred or progressed during an at least 6-month follow-up. We identified 6 studies after searching the database; a total of 1374 patients (F:M = 3:7) with ASDH/sASDH received initial conservative treatment. The pooled results showed that 13.1% of patients who initially received conservative treatment deteriorated and required delayed surgical treatment. Of 1374, the overall incidence of poor prognosis was 19.2%, and 7% of patients eventually died.

Conclusions: It is essential to establish an optimal conservative treatment for patients with sASDH who cannot undergo surgery in an emergency for various reasons. Atorvastatin plus dexamethasone may be an alternative treatment in such a subgroup of sASDH, although a randomized proof-of-concept clinical trial is needed.

Abstract Image

Abstract Image

Abstract Image

探索亚急性硬膜下血肿的保守治疗途径:阿托伐他汀和地塞米松作为救命盟友的潜在作用。
背景:大多数急性硬膜下血肿(ASDH)需要紧急手术治疗;只有少数患者可以在早期不手术而存活,然后发展为亚急性硬膜下血肿(sash)。然而,对于这些sASDH患者,最佳的保守治疗方法尚未确定。根据我们之前的研究,阿托伐他汀加地塞米松对他们可能是安全有效的。本文旨在记录这些案例并分析可能的机制。病例介绍:我们选择了5例sash患者,他们接受了阿托伐他汀加低剂量地塞米松的治疗方案,没有手术。然后观察治疗和随访期间的临床和放射学特征。检索PubMed数据库和谷歌Scholar,检索有关ASDH/sASDH患者保守治疗的疗效和安全性的文献。我们提取的信息包括作者、样本量、性别、患者数量(死亡、预后不良、延迟手术)和危险因素。结果:5例患者中,因各种原因拒绝手术的患者均经阿托伐他汀联合小剂量地塞米松治疗后痊愈。在至少6个月的随访中没有血肿复发或进展。在检索数据库后,我们确定了6项研究;共有1374例ASDH/sASDH患者(F:M = 3:7)接受了初始保守治疗。合并结果显示,13.1%最初接受保守治疗的患者病情恶化,需要延迟手术治疗。1374例患者中,预后不良的总发生率为19.2%,最终死亡的患者占7%。结论:对于因各种原因不能急诊手术的sash患者,建立最佳保守治疗方案至关重要。阿托伐他汀加地塞米松可能是sash亚组的替代治疗,尽管需要随机的概念验证临床试验。
本文章由计算机程序翻译,如有差异,请以英文原文为准。
求助全文
约1分钟内获得全文 求助全文
来源期刊
CiteScore
2.70
自引率
0.00%
发文量
224
审稿时长
10 weeks
×
引用
GB/T 7714-2015
复制
MLA
复制
APA
复制
导出至
BibTeX EndNote RefMan NoteFirst NoteExpress
×
提示
您的信息不完整,为了账户安全,请先补充。
现在去补充
×
提示
您因"违规操作"
具体请查看互助需知
我知道了
×
提示
确定
请完成安全验证×
copy
已复制链接
快去分享给好友吧!
我知道了
右上角分享
点击右上角分享
0
联系我们:info@booksci.cn Book学术提供免费学术资源搜索服务,方便国内外学者检索中英文文献。致力于提供最便捷和优质的服务体验。 Copyright © 2023 布克学术 All rights reserved.
京ICP备2023020795号-1
ghs 京公网安备 11010802042870号
Book学术文献互助
Book学术文献互助群
群 号:604180095
Book学术官方微信
小红书