Detection of MRI-Invisible Disease Using PSMA PET/CT in a Patient Considering Focal Therapy.

Case Reports in Urology Pub Date : 2025-03-26 eCollection Date: 2025-01-01 DOI:10.1155/criu/2981515
Jae Woong Jang, Aaron Abrams, Anugayathri Jawahar, Hatice Savas, Ximing J Yang, Vikas Mehta, Marina Schnauss, Edward M Schaeffer, Ridwan Alam, Ashley E Ross
{"title":"Detection of MRI-Invisible Disease Using PSMA PET/CT in a Patient Considering Focal Therapy.","authors":"Jae Woong Jang, Aaron Abrams, Anugayathri Jawahar, Hatice Savas, Ximing J Yang, Vikas Mehta, Marina Schnauss, Edward M Schaeffer, Ridwan Alam, Ashley E Ross","doi":"10.1155/criu/2981515","DOIUrl":null,"url":null,"abstract":"<p><p>Patient selection for focal therapy (FT) of prostate cancer requires the assessment of MRI and biopsy results. However, there is currently little guidance for the utility of PSMA PET/CT in FT planning. We describe the case of a man originally considered an ideal candidate for FT based on biopsy and MRI who was found to have a contralateral lesion-harboring cancer detected only on PSMA PET/CT. <b>Trial Registration:</b> ClinicalTrials.gov identifier: NCT05852041.</p>","PeriodicalId":30323,"journal":{"name":"Case Reports in Urology","volume":"2025 ","pages":"2981515"},"PeriodicalIF":0.0000,"publicationDate":"2025-03-26","publicationTypes":"Journal Article","fieldsOfStudy":null,"isOpenAccess":false,"openAccessPdf":"https://www.ncbi.nlm.nih.gov/pmc/articles/PMC11964713/pdf/","citationCount":"0","resultStr":null,"platform":"Semanticscholar","paperid":null,"PeriodicalName":"Case Reports in Urology","FirstCategoryId":"1085","ListUrlMain":"https://doi.org/10.1155/criu/2981515","RegionNum":0,"RegionCategory":null,"ArticlePicture":[],"TitleCN":null,"AbstractTextCN":null,"PMCID":null,"EPubDate":"2025/1/1 0:00:00","PubModel":"eCollection","JCR":"","JCRName":"","Score":null,"Total":0}
引用次数: 0

Abstract

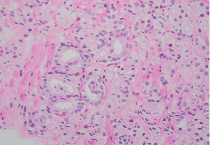
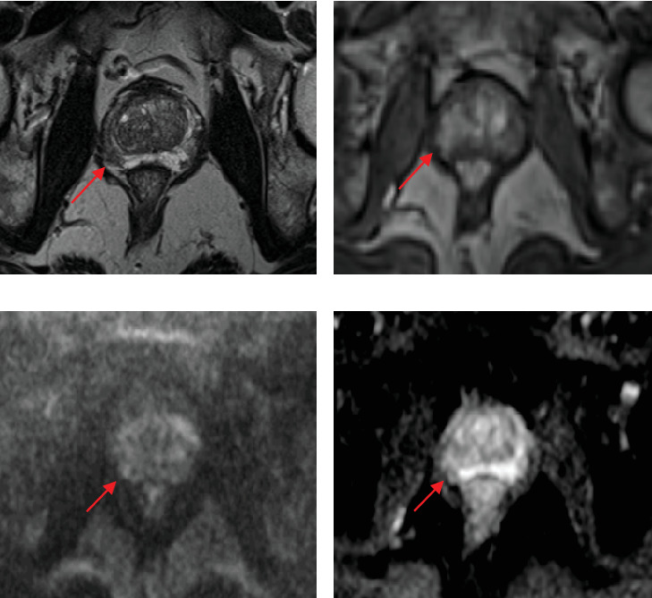
Patient selection for focal therapy (FT) of prostate cancer requires the assessment of MRI and biopsy results. However, there is currently little guidance for the utility of PSMA PET/CT in FT planning. We describe the case of a man originally considered an ideal candidate for FT based on biopsy and MRI who was found to have a contralateral lesion-harboring cancer detected only on PSMA PET/CT. Trial Registration: ClinicalTrials.gov identifier: NCT05852041.

Abstract Image

Abstract Image

Abstract Image

考虑局灶治疗的患者使用PSMA PET/CT检测mri不可见疾病
选择前列腺癌病灶治疗(FT)的患者需要对核磁共振成像和活检结果进行评估。然而,目前几乎没有关于 PSMA PET/CT 在病灶治疗计划中的实用性的指导。我们描述了这样一个病例:根据活检和核磁共振成像结果,一名男性原本被认为是前列腺癌病灶治疗的理想候选者,但在PSMA PET/CT检查中却发现他患有对侧病灶灶癌。试验注册:临床试验注册:ClinicalTrials.gov identifier:NCT05852041。
本文章由计算机程序翻译,如有差异,请以英文原文为准。
求助全文
约1分钟内获得全文 求助全文
来源期刊
自引率
0.00%
发文量
28
审稿时长
13 weeks
×
引用
GB/T 7714-2015
复制
MLA
复制
APA
复制
导出至
BibTeX EndNote RefMan NoteFirst NoteExpress
×
提示
您的信息不完整,为了账户安全,请先补充。
现在去补充
×
提示
您因"违规操作"
具体请查看互助需知
我知道了
×
提示
确定
请完成安全验证×
copy
已复制链接
快去分享给好友吧!
我知道了
右上角分享
点击右上角分享
0
联系我们:info@booksci.cn Book学术提供免费学术资源搜索服务,方便国内外学者检索中英文文献。致力于提供最便捷和优质的服务体验。 Copyright © 2023 布克学术 All rights reserved.
京ICP备2023020795号-1
ghs 京公网安备 11010802042870号
Book学术文献互助
Book学术文献互助群
群 号:604180095
Book学术官方微信