Unusual Presentation of Epidermodysplasia Verruciformis (EV) in Non-Sun Exposed Area: A Case Report.

Q3 Medicine
Case Reports in Dermatological Medicine Pub Date : 2025-03-26 eCollection Date: 2025-01-01 DOI:10.1155/crdm/7801944
Nidal Jebrini, Majed Dwaik, Mohanad Jaber, Sami Jabari, Raghad Razem, Man Sarahna, Rashad Alzaro, Feras Aljabari, Mohamed Aqel, Husein Sarahneh
{"title":"Unusual Presentation of Epidermodysplasia Verruciformis (EV) in Non-Sun Exposed Area: A Case Report.","authors":"Nidal Jebrini, Majed Dwaik, Mohanad Jaber, Sami Jabari, Raghad Razem, Man Sarahna, Rashad Alzaro, Feras Aljabari, Mohamed Aqel, Husein Sarahneh","doi":"10.1155/crdm/7801944","DOIUrl":null,"url":null,"abstract":"<p><p><b>Introduction and Importance:</b> Epidermodysplasia verruciformis (EV), a rare hereditary skin disorder linked to HPV immunity, increases the risk of squamous cell carcinoma (SCC), typically in sun-exposed areas. This case highlights an extraordinary instance of SCC in a Sun-shielded region, marking the second documented case globally. <b>Methods:</b> The medical records and histopathological slides of the case were retrospectively reviewed. This work has been reported based on the CARE criteria. <b>Case Presentation:</b> A 28-year-old Palestinian woman, who adheres to a sun-protective Hijab due to her Muslim faith and has limited sun exposure working in a clothing store, with painful scalp lesions presented at the dermatology clinic. She and her siblings were diagnosed with EV. Three years ago, a painful, enlarging lesion on her scalp led to a diagnosis of trichoblastic carcinoma, followed by the development of six similar lesions. A year later, she returned with multiple painful, pus-producing lesions exhibiting features of trichoblastic and verrucous carcinoma, posing a challenging clinical scenario. <b>Clinical Discussion:</b> EV is a rare genetic skin disorder linked to EVER1/TCM6 or EVER2/TCM8 gene mutations, causing widespread warts due to specific HPV types. It heightens the risk of nonmelanoma skin cancer (NMSC), mainly SCC, often associated with beta-HPVs 5 and 8. Notably, atypical cases challenge the sun-exposure SCC concept. The reatment involves UV protection, retinoids, and close monitoring, critical to prevent lesion recurrence and aggressive malignancy interventions upon therapy discontinuation. <b>Conclusion:</b> In this unique case, a patient with EV developed SCC in an uncommonly sun-protected skin area, highlighting the extreme rarity of such an event within the context of this condition's complications.</p>","PeriodicalId":9630,"journal":{"name":"Case Reports in Dermatological Medicine","volume":"2025 ","pages":"7801944"},"PeriodicalIF":0.0000,"publicationDate":"2025-03-26","publicationTypes":"Journal Article","fieldsOfStudy":null,"isOpenAccess":false,"openAccessPdf":"https://www.ncbi.nlm.nih.gov/pmc/articles/PMC11964711/pdf/","citationCount":"0","resultStr":null,"platform":"Semanticscholar","paperid":null,"PeriodicalName":"Case Reports in Dermatological Medicine","FirstCategoryId":"1085","ListUrlMain":"https://doi.org/10.1155/crdm/7801944","RegionNum":0,"RegionCategory":null,"ArticlePicture":[],"TitleCN":null,"AbstractTextCN":null,"PMCID":null,"EPubDate":"2025/1/1 0:00:00","PubModel":"eCollection","JCR":"Q3","JCRName":"Medicine","Score":null,"Total":0}
引用次数: 0

Abstract

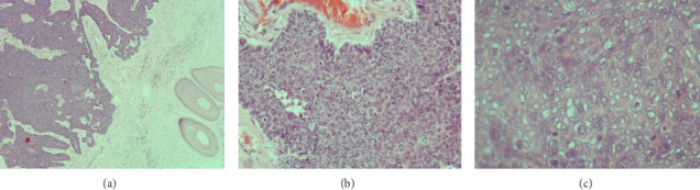
Introduction and Importance: Epidermodysplasia verruciformis (EV), a rare hereditary skin disorder linked to HPV immunity, increases the risk of squamous cell carcinoma (SCC), typically in sun-exposed areas. This case highlights an extraordinary instance of SCC in a Sun-shielded region, marking the second documented case globally. Methods: The medical records and histopathological slides of the case were retrospectively reviewed. This work has been reported based on the CARE criteria. Case Presentation: A 28-year-old Palestinian woman, who adheres to a sun-protective Hijab due to her Muslim faith and has limited sun exposure working in a clothing store, with painful scalp lesions presented at the dermatology clinic. She and her siblings were diagnosed with EV. Three years ago, a painful, enlarging lesion on her scalp led to a diagnosis of trichoblastic carcinoma, followed by the development of six similar lesions. A year later, she returned with multiple painful, pus-producing lesions exhibiting features of trichoblastic and verrucous carcinoma, posing a challenging clinical scenario. Clinical Discussion: EV is a rare genetic skin disorder linked to EVER1/TCM6 or EVER2/TCM8 gene mutations, causing widespread warts due to specific HPV types. It heightens the risk of nonmelanoma skin cancer (NMSC), mainly SCC, often associated with beta-HPVs 5 and 8. Notably, atypical cases challenge the sun-exposure SCC concept. The reatment involves UV protection, retinoids, and close monitoring, critical to prevent lesion recurrence and aggressive malignancy interventions upon therapy discontinuation. Conclusion: In this unique case, a patient with EV developed SCC in an uncommonly sun-protected skin area, highlighting the extreme rarity of such an event within the context of this condition's complications.

Abstract Image

Abstract Image

Abstract Image

疣状表皮发育不良(EV)在非阳光照射区域的异常表现:1例报告。
简介和重要性:疣状表皮发育不良(EV)是一种罕见的遗传性皮肤病,与HPV免疫有关,会增加鳞状细胞癌(SCC)的风险,通常发生在阳光照射的区域。该病例突出了在遮阳地区发生的罕见SCC病例,标志着全球第二例记录在案的病例。方法:回顾性分析该病例的病历和病理切片。这项工作是根据CARE标准报道的。病例介绍:一名28岁的巴勒斯坦妇女,由于她的穆斯林信仰而戴着防晒头巾,在一家服装店工作时受到有限的阳光照射,在皮肤科诊所出现头皮疼痛病变。她和她的兄弟姐妹被诊断出患有肠炎。三年前,她的头皮上出现了一个疼痛的、不断扩大的病变,随后被诊断为毛胚癌,随后又出现了六个类似的病变。一年后,她因多发疼痛、脓液产生的病变返回,表现为毛细胞癌和疣状癌的特征,提出了一个具有挑战性的临床方案。临床讨论:EV是一种罕见的遗传性皮肤病,与EVER1/TCM6或EVER2/TCM8基因突变有关,由于特定的HPV类型导致广泛的疣。它增加了非黑色素瘤皮肤癌(NMSC)的风险,主要是SCC,通常与β - hpv 5和8相关。值得注意的是,非典型病例挑战了阳光照射SCC的概念。治疗包括紫外线防护、类维生素a和密切监测,这对预防病变复发和停止治疗后的侵袭性恶性肿瘤干预至关重要。结论:在这个独特的病例中,一名EV患者在不常见的防晒皮肤区域发展为SCC,强调了在这种情况的并发症背景下这种事件的极端罕见性。
本文章由计算机程序翻译,如有差异,请以英文原文为准。
求助全文
约1分钟内获得全文 求助全文
来源期刊
CiteScore
1.50
自引率
0.00%
发文量
24
审稿时长
15 weeks
×
引用
GB/T 7714-2015
复制
MLA
复制
APA
复制
导出至
BibTeX EndNote RefMan NoteFirst NoteExpress
×
提示
您的信息不完整,为了账户安全,请先补充。
现在去补充
×
提示
您因"违规操作"
具体请查看互助需知
我知道了
×
提示
确定
请完成安全验证×
copy
已复制链接
快去分享给好友吧!
我知道了
右上角分享
点击右上角分享
0
联系我们:info@booksci.cn Book学术提供免费学术资源搜索服务,方便国内外学者检索中英文文献。致力于提供最便捷和优质的服务体验。 Copyright © 2023 布克学术 All rights reserved.
京ICP备2023020795号-1
ghs 京公网安备 11010802042870号
Book学术文献互助
Book学术文献互助群
群 号:604180095
Book学术官方微信