Endoscopic Ultrasound-Guided Fine-Needle Aspiration of Suspected Locoregional Rectal Cancer Localizations: A Valuable Tool.

IF 0.6 Q4 GASTROENTEROLOGY & HEPATOLOGY
Case Reports in Gastroenterology Pub Date : 2025-04-02 eCollection Date: 2025-01-01 DOI:10.1159/000544767
Frank Ter Borg, Shira H de Bie, A Koen Talsma
{"title":"Endoscopic Ultrasound-Guided Fine-Needle Aspiration of Suspected Locoregional Rectal Cancer Localizations: A Valuable Tool.","authors":"Frank Ter Borg, Shira H de Bie, A Koen Talsma","doi":"10.1159/000544767","DOIUrl":null,"url":null,"abstract":"<p><strong>Introduction: </strong>Organ-preserving treatment for rectal cancer using local excision (LE) and/or chemoradiotherapy (CRT) is increasingly used. Locoregional metastasis precludes LE and locoregional regrowth, recurrence, or persistence after LE or chemoradiation (CRT) may prompt total mesorectal excision (TME). We believe that the time has passed to make such life-changing treatment decisions without pathological confirmation and investigated the use of linear endoscopic ultrasound with fine-needle aspiration (EUS-FNA).</p><p><strong>Case presentations: </strong>We report 8 cases of suspected locoregional tumor growth (LRTG) on MRI: adjacent or in the rectal wall, within the mesorectal fascia, high presacral region, and obturator foramen. MRI images were studied thoroughly before and during EUS to identify the target lesion using rectal EUS-FNA. Patients were prepared using an enema. The procedure was performed on an outpatient basis without conscious sedation. FNA was performed using a 25G needle. The patient received a 3-day course of ciprofloxacin after the procedure to prevent infection of the perirectal space. Identification of the target was the most difficult part of EUS but was successful in all cases. FNA revealed adenocarcinoma in 7 cases. Five cases were confirmed by TME results: 1 patient died before the operation, and 1 patient was treated with CRT. One patient with a suspected node in the obturator foramen was free of tumors on FNA. The TME resection specimen contained 31 lymph nodes without metastasis. All procedures were well tolerated, and no complications were observed.</p><p><strong>Conclusion: </strong>Suspected LRTG on MRI can be confirmed using EUS-FNA. In the era of organ-preserving treatment for rectal cancer, EUS-FNA may play a supportive role when considering TME or CRT.</p>","PeriodicalId":9614,"journal":{"name":"Case Reports in Gastroenterology","volume":"19 1","pages":"253-261"},"PeriodicalIF":0.6000,"publicationDate":"2025-04-02","publicationTypes":"Journal Article","fieldsOfStudy":null,"isOpenAccess":false,"openAccessPdf":"https://www.ncbi.nlm.nih.gov/pmc/articles/PMC11964411/pdf/","citationCount":"0","resultStr":null,"platform":"Semanticscholar","paperid":null,"PeriodicalName":"Case Reports in Gastroenterology","FirstCategoryId":"1085","ListUrlMain":"https://doi.org/10.1159/000544767","RegionNum":0,"RegionCategory":null,"ArticlePicture":[],"TitleCN":null,"AbstractTextCN":null,"PMCID":null,"EPubDate":"2025/1/1 0:00:00","PubModel":"eCollection","JCR":"Q4","JCRName":"GASTROENTEROLOGY & HEPATOLOGY","Score":null,"Total":0}
引用次数: 0

Abstract

Introduction: Organ-preserving treatment for rectal cancer using local excision (LE) and/or chemoradiotherapy (CRT) is increasingly used. Locoregional metastasis precludes LE and locoregional regrowth, recurrence, or persistence after LE or chemoradiation (CRT) may prompt total mesorectal excision (TME). We believe that the time has passed to make such life-changing treatment decisions without pathological confirmation and investigated the use of linear endoscopic ultrasound with fine-needle aspiration (EUS-FNA).

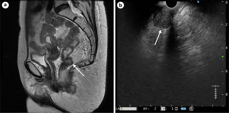
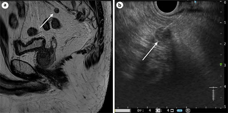
Case presentations: We report 8 cases of suspected locoregional tumor growth (LRTG) on MRI: adjacent or in the rectal wall, within the mesorectal fascia, high presacral region, and obturator foramen. MRI images were studied thoroughly before and during EUS to identify the target lesion using rectal EUS-FNA. Patients were prepared using an enema. The procedure was performed on an outpatient basis without conscious sedation. FNA was performed using a 25G needle. The patient received a 3-day course of ciprofloxacin after the procedure to prevent infection of the perirectal space. Identification of the target was the most difficult part of EUS but was successful in all cases. FNA revealed adenocarcinoma in 7 cases. Five cases were confirmed by TME results: 1 patient died before the operation, and 1 patient was treated with CRT. One patient with a suspected node in the obturator foramen was free of tumors on FNA. The TME resection specimen contained 31 lymph nodes without metastasis. All procedures were well tolerated, and no complications were observed.

Conclusion: Suspected LRTG on MRI can be confirmed using EUS-FNA. In the era of organ-preserving treatment for rectal cancer, EUS-FNA may play a supportive role when considering TME or CRT.

Abstract Image

Abstract Image

Abstract Image

内镜下超声引导下细针抽吸对疑似局部直肠癌的定位:一种有价值的工具。
直肠局部切除(LE)和/或放化疗(CRT)的器官保留治疗越来越多地被使用。局部转移排除LE, LE或放化疗(CRT)后的局部再生、复发或持续可能促使全肠系膜切除术(TME)。我们认为,在没有病理证实的情况下做出这种改变生活的治疗决定的时间已经过去,并研究了细针穿刺线性内镜超声(EUS-FNA)的使用。病例介绍:我们报告8例疑似局部肿瘤生长(LRTG)的MRI:邻近或在直肠壁,直肠系膜筋膜内,骶前高区和闭孔。利用直肠EUS- fna对EUS术前和EUS期间的MRI图像进行全面研究,以确定目标病变。患者准备使用灌肠。该过程是在门诊基础上进行的,没有意识镇静。采用25G针进行FNA。术后患者接受3天环丙沙星治疗,以防止直肠周围间隙感染。目标的识别是EUS最困难的部分,但所有病例都成功。FNA示腺癌7例。经TME结果证实5例,1例术前死亡,1例行CRT治疗。1例疑似闭孔淋巴结的患者在FNA上没有肿瘤。TME切除标本包含31个淋巴结,无转移。所有手术均耐受良好,无并发症发生。结论:EUS-FNA可证实MRI上疑似LRTG。在直肠癌保留器官治疗的时代,EUS-FNA在考虑TME或CRT时可能起到支持作用。
本文章由计算机程序翻译,如有差异,请以英文原文为准。
求助全文
约1分钟内获得全文 求助全文
来源期刊
Case Reports in Gastroenterology
Case Reports in Gastroenterology Medicine-Gastroenterology
CiteScore
1.10
自引率
0.00%
发文量
99
审稿时长
7 weeks
期刊介绍:
×
引用
GB/T 7714-2015
复制
MLA
复制
APA
复制
导出至
BibTeX EndNote RefMan NoteFirst NoteExpress
×
提示
您的信息不完整,为了账户安全,请先补充。
现在去补充
×
提示
您因"违规操作"
具体请查看互助需知
我知道了
×
提示
确定
请完成安全验证×
copy
已复制链接
快去分享给好友吧!
我知道了
右上角分享
点击右上角分享
0
联系我们:info@booksci.cn Book学术提供免费学术资源搜索服务,方便国内外学者检索中英文文献。致力于提供最便捷和优质的服务体验。 Copyright © 2023 布克学术 All rights reserved.
京ICP备2023020795号-1
ghs 京公网安备 11010802042870号
Book学术文献互助
Book学术文献互助群
群 号:604180095
Book学术官方微信