Deep learning-based reconstruction and superresolution for MR-guided thermal ablation of malignant liver lesions.

IF 3.5 2区 医学 Q2 ONCOLOGY
Moritz T Winkelmann, Jens Kübler, Sebastian Gassenmaier, Dominik M Nickel, Antonia Ashkar, Konstantin Nikolaou, Saif Afat, Rüdiger Hoffmann
{"title":"Deep learning-based reconstruction and superresolution for MR-guided thermal ablation of malignant liver lesions.","authors":"Moritz T Winkelmann, Jens Kübler, Sebastian Gassenmaier, Dominik M Nickel, Antonia Ashkar, Konstantin Nikolaou, Saif Afat, Rüdiger Hoffmann","doi":"10.1186/s40644-025-00869-x","DOIUrl":null,"url":null,"abstract":"<p><strong>Objective: </strong>This study evaluates the impact of deep learning-enhanced T1-weighted VIBE sequences (DL-VIBE) on image quality and procedural parameters during MR-guided thermoablation of liver malignancies, compared to standard VIBE (SD-VIBE).</p><p><strong>Methods: </strong>Between September 2021 and February 2023, 34 patients (mean age: 65.4 years; 13 women) underwent MR-guided microwave ablation on a 1.5 T scanner. Intraprocedural SD-VIBE sequences were retrospectively processed with a deep learning algorithm (DL-VIBE) to reduce noise and enhance sharpness. Two interventional radiologists independently assessed image quality, noise, artifacts, sharpness, diagnostic confidence, and procedural parameters using a 5-point Likert scale. Interrater agreement was analyzed, and noise maps were created to assess signal-to-noise ratio improvements.</p><p><strong>Results: </strong>DL-VIBE significantly improved image quality, reduced artifacts and noise, and enhanced sharpness of liver contours and portal vein branches compared to SD-VIBE (p < 0.01). Procedural metrics, including needle tip detectability, confidence in needle positioning, and ablation zone assessment, were significantly better with DL-VIBE (p < 0.01). Interrater agreement was high (Cohen κ = 0.86). Reconstruction times for DL-VIBE were 3 s for k-space reconstruction and 1 s for superresolution processing. Simulated acquisition modifications reduced breath-hold duration by approximately 2 s.</p><p><strong>Conclusion: </strong>DL-VIBE enhances image quality during MR-guided thermal ablation while improving efficiency through reduced processing and acquisition times.</p>","PeriodicalId":9548,"journal":{"name":"Cancer Imaging","volume":"25 1","pages":"47"},"PeriodicalIF":3.5000,"publicationDate":"2025-04-02","publicationTypes":"Journal Article","fieldsOfStudy":null,"isOpenAccess":false,"openAccessPdf":"https://www.ncbi.nlm.nih.gov/pmc/articles/PMC11966842/pdf/","citationCount":"0","resultStr":null,"platform":"Semanticscholar","paperid":null,"PeriodicalName":"Cancer Imaging","FirstCategoryId":"3","ListUrlMain":"https://doi.org/10.1186/s40644-025-00869-x","RegionNum":2,"RegionCategory":"医学","ArticlePicture":[],"TitleCN":null,"AbstractTextCN":null,"PMCID":null,"EPubDate":"","PubModel":"","JCR":"Q2","JCRName":"ONCOLOGY","Score":null,"Total":0}
引用次数: 0

Abstract

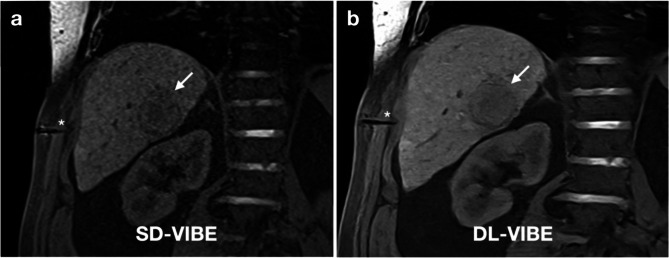
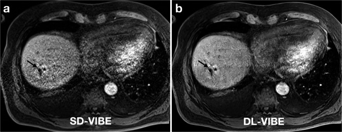
Objective: This study evaluates the impact of deep learning-enhanced T1-weighted VIBE sequences (DL-VIBE) on image quality and procedural parameters during MR-guided thermoablation of liver malignancies, compared to standard VIBE (SD-VIBE).

Methods: Between September 2021 and February 2023, 34 patients (mean age: 65.4 years; 13 women) underwent MR-guided microwave ablation on a 1.5 T scanner. Intraprocedural SD-VIBE sequences were retrospectively processed with a deep learning algorithm (DL-VIBE) to reduce noise and enhance sharpness. Two interventional radiologists independently assessed image quality, noise, artifacts, sharpness, diagnostic confidence, and procedural parameters using a 5-point Likert scale. Interrater agreement was analyzed, and noise maps were created to assess signal-to-noise ratio improvements.

Results: DL-VIBE significantly improved image quality, reduced artifacts and noise, and enhanced sharpness of liver contours and portal vein branches compared to SD-VIBE (p < 0.01). Procedural metrics, including needle tip detectability, confidence in needle positioning, and ablation zone assessment, were significantly better with DL-VIBE (p < 0.01). Interrater agreement was high (Cohen κ = 0.86). Reconstruction times for DL-VIBE were 3 s for k-space reconstruction and 1 s for superresolution processing. Simulated acquisition modifications reduced breath-hold duration by approximately 2 s.

Conclusion: DL-VIBE enhances image quality during MR-guided thermal ablation while improving efficiency through reduced processing and acquisition times.

Abstract Image

Abstract Image

Abstract Image

基于深度学习的重建和超分辨率在磁共振引导下肝恶性病变热消融中的应用。
目的:与标准VIBE (SD-VIBE)相比,本研究评估了深度学习增强的t1加权VIBE序列(DL-VIBE)对磁共振引导下肝脏恶性肿瘤热消融过程中图像质量和程序参数的影响。方法:2021年9月至2023年2月,34例患者(平均年龄:65.4岁;13名妇女)在1.5 T扫描仪上接受了核磁共振引导的微波消融。使用深度学习算法(DL-VIBE)对程序内SD-VIBE序列进行回顾性处理,以降低噪声并增强清晰度。两名介入放射科医生使用5点李克特量表独立评估图像质量、噪声、伪影、清晰度、诊断置信度和程序参数。分析了相互间的一致性,并创建了噪声图来评估信噪比的改进。结果:与SD-VIBE相比,DL-VIBE显著改善了图像质量,减少了伪影和噪声,增强了肝脏轮廓和门静脉分支的清晰度(p结论:DL-VIBE在mr引导热消融过程中增强了图像质量,同时通过减少处理和采集时间提高了效率。
本文章由计算机程序翻译,如有差异,请以英文原文为准。
求助全文
约1分钟内获得全文 求助全文
来源期刊
Cancer Imaging
Cancer Imaging ONCOLOGY-RADIOLOGY, NUCLEAR MEDICINE & MEDICAL IMAGING
CiteScore
7.00
自引率
0.00%
发文量
66
审稿时长
>12 weeks
期刊介绍: Cancer Imaging is an open access, peer-reviewed journal publishing original articles, reviews and editorials written by expert international radiologists working in oncology. The journal encompasses CT, MR, PET, ultrasound, radionuclide and multimodal imaging in all kinds of malignant tumours, plus new developments, techniques and innovations. Topics of interest include: Breast Imaging Chest Complications of treatment Ear, Nose & Throat Gastrointestinal Hepatobiliary & Pancreatic Imaging biomarkers Interventional Lymphoma Measurement of tumour response Molecular functional imaging Musculoskeletal Neuro oncology Nuclear Medicine Paediatric.
×
引用
GB/T 7714-2015
复制
MLA
复制
APA
复制
导出至
BibTeX EndNote RefMan NoteFirst NoteExpress
×
提示
您的信息不完整,为了账户安全,请先补充。
现在去补充
×
提示
您因"违规操作"
具体请查看互助需知
我知道了
×
提示
确定
请完成安全验证×
copy
已复制链接
快去分享给好友吧!
我知道了
右上角分享
点击右上角分享
0
联系我们:info@booksci.cn Book学术提供免费学术资源搜索服务,方便国内外学者检索中英文文献。致力于提供最便捷和优质的服务体验。 Copyright © 2023 布克学术 All rights reserved.
京ICP备2023020795号-1
ghs 京公网安备 11010802042870号
Book学术文献互助
Book学术文献互助群
群 号:604180095
Book学术官方微信