Immediate and late effects of supraphysiological doses of nandrolone decanoate on the testis of rats.

IF 1.3
Acta cirurgica brasileira Pub Date : 2025-03-31 eCollection Date: 2025-01-01 DOI:10.1590/acb402925
Bruno Felix-Patricio, Roger Gaspar Marchon, Bianca Martins Gregório, Diogo Benchimol De Souza
{"title":"Immediate and late effects of supraphysiological doses of nandrolone decanoate on the testis of rats.","authors":"Bruno Felix-Patricio, Roger Gaspar Marchon, Bianca Martins Gregório, Diogo Benchimol De Souza","doi":"10.1590/acb402925","DOIUrl":null,"url":null,"abstract":"<p><strong>Purpose: </strong>To investigate the effects of supraphysiologic doses of nandrolone decanoate on the testicular morphology of rats and if these effects could be transitory or permanent.</p><p><strong>Methods: </strong>Twenty-five male rats were divided in four groups. C28 and C40 were control rats killed with 28 and 40 weeks old, respectively; and T28 and T40 were treated with nandrolone decanoate (10 mg/kg) and killed immediately after the treatment (T28) or 12 weeks after the end of treatment (T40). The testis weight and volume were measured, and the seminiferous tubule area and epithelium height were assessed by histomorphometric methods.</p><p><strong>Results: </strong>The seminiferous tubules area and epithelium height of group T28 were reduced in comparison to C28. Group T40 showed reduced testicular weight and volume, as well as seminiferous tubule area and epithelium height in comparison to C40.</p><p><strong>Conclusion: </strong>The use of nandrolone decanoate promotes major structural modifications on the testes of rats. These modifications are even worse 12 weeks after ending the use of the anabolic androgenic steroid.</p>","PeriodicalId":93850,"journal":{"name":"Acta cirurgica brasileira","volume":"40 ","pages":"e402925"},"PeriodicalIF":1.3000,"publicationDate":"2025-03-31","publicationTypes":"Journal Article","fieldsOfStudy":null,"isOpenAccess":false,"openAccessPdf":"https://www.ncbi.nlm.nih.gov/pmc/articles/PMC11960594/pdf/","citationCount":"0","resultStr":null,"platform":"Semanticscholar","paperid":null,"PeriodicalName":"Acta cirurgica brasileira","FirstCategoryId":"1085","ListUrlMain":"https://doi.org/10.1590/acb402925","RegionNum":0,"RegionCategory":null,"ArticlePicture":[],"TitleCN":null,"AbstractTextCN":null,"PMCID":null,"EPubDate":"2025/1/1 0:00:00","PubModel":"eCollection","JCR":"","JCRName":"","Score":null,"Total":0}
引用次数: 0

Abstract

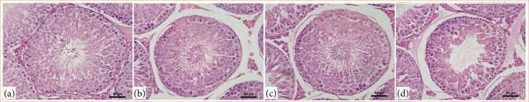
Purpose: To investigate the effects of supraphysiologic doses of nandrolone decanoate on the testicular morphology of rats and if these effects could be transitory or permanent.

Methods: Twenty-five male rats were divided in four groups. C28 and C40 were control rats killed with 28 and 40 weeks old, respectively; and T28 and T40 were treated with nandrolone decanoate (10 mg/kg) and killed immediately after the treatment (T28) or 12 weeks after the end of treatment (T40). The testis weight and volume were measured, and the seminiferous tubule area and epithelium height were assessed by histomorphometric methods.

Results: The seminiferous tubules area and epithelium height of group T28 were reduced in comparison to C28. Group T40 showed reduced testicular weight and volume, as well as seminiferous tubule area and epithelium height in comparison to C40.

Conclusion: The use of nandrolone decanoate promotes major structural modifications on the testes of rats. These modifications are even worse 12 weeks after ending the use of the anabolic androgenic steroid.

Abstract Image

Abstract Image

超生理剂量癸酸诺龙对大鼠睾丸的即时和后期影响。
目的:探讨超生理剂量癸酸诺龙对大鼠睾丸形态的影响及这种影响是暂时性的还是永久性的。方法:25只雄性大鼠分为4组。C28和C40分别为28周龄和40周龄处死的对照大鼠;T28和T40分别给予十酸诺龙(10 mg/kg)治疗,治疗后立即(T28)或治疗结束后12周(T40)处死。测量睾丸重量和体积,用组织形态学方法测定精小管面积和上皮高度。结果:T28组精小管面积和上皮高度较C28组明显减少。与C40组相比,T40组睾丸重量、体积、精小管面积和上皮高度均减少。结论:癸酸诺龙可促进大鼠睾丸结构的改变。在停止使用合成代谢雄激素类固醇12周后,这些变化甚至更糟。
本文章由计算机程序翻译,如有差异,请以英文原文为准。
求助全文
约1分钟内获得全文 求助全文
来源期刊
自引率
0.00%
发文量
0
×
引用
GB/T 7714-2015
复制
MLA
复制
APA
复制
导出至
BibTeX EndNote RefMan NoteFirst NoteExpress
×
提示
您的信息不完整,为了账户安全,请先补充。
现在去补充
×
提示
您因"违规操作"
具体请查看互助需知
我知道了
×
提示
确定
请完成安全验证×
copy
已复制链接
快去分享给好友吧!
我知道了
右上角分享
点击右上角分享
0
联系我们:info@booksci.cn Book学术提供免费学术资源搜索服务,方便国内外学者检索中英文文献。致力于提供最便捷和优质的服务体验。 Copyright © 2023 布克学术 All rights reserved.
京ICP备2023020795号-1
ghs 京公网安备 11010802042870号
Book学术文献互助
Book学术文献互助群
群 号:604180095
Book学术官方微信