Bronchoesophageal Fistula following Radiotherapy: A Case Report.

IF 0.6 Q4 GASTROENTEROLOGY & HEPATOLOGY
Case Reports in Gastroenterology Pub Date : 2025-04-01 eCollection Date: 2025-01-01 DOI:10.1159/000544975
Eyad Jamileh, Yaeesh Khan, Usamah Hijazi, Mohammad Abusheikha
{"title":"Bronchoesophageal Fistula following Radiotherapy: A Case Report.","authors":"Eyad Jamileh, Yaeesh Khan, Usamah Hijazi, Mohammad Abusheikha","doi":"10.1159/000544975","DOIUrl":null,"url":null,"abstract":"<p><strong>Introduction: </strong>Bronchoesophageal fistulas (BOF) have predominantly been found to result in a decreased quality of life and an increased rate of mortality, particularly due to their severe complications and difficult treatment.</p><p><strong>Case presentation: </strong>This report discusses the case of a 71-year-old female who presented with shortness of breath and a continuous cough secondary to a fistula between the oesophagus and right bronchus on the background of squamous cell carcinoma (SCC). This patient was seen by oncologists for the treatment of her lung cancer after right middle and lower lobe lobotomies, which was then treated with radiotherapy. On admission, a computed tomography scan revealed that the patient had a BOF due to therapeutic radiotherapy for SCC. She underwent intervention from the gastrointestinal and respiratory physicians to treat the BOF. Oesophageal stent placement was performed for treatment; however, the BOF remained patent, so a bronchial stent was considered for insertion. While the patient was awaiting the bronchial stent, she died.</p><p><strong>Conclusion: </strong>This case highlights the complexities and challenges of BOFs, emphasising the need for further research and documentation to improve treatment strategies. More studies are needed to determine when oesophageal stenting is preferred over bronchial stenting and to evaluate the suitability and safety of dual stenting in both the oesophagus and bronchus.</p>","PeriodicalId":9614,"journal":{"name":"Case Reports in Gastroenterology","volume":"19 1","pages":"225-231"},"PeriodicalIF":0.6000,"publicationDate":"2025-04-01","publicationTypes":"Journal Article","fieldsOfStudy":null,"isOpenAccess":false,"openAccessPdf":"https://www.ncbi.nlm.nih.gov/pmc/articles/PMC11961151/pdf/","citationCount":"0","resultStr":null,"platform":"Semanticscholar","paperid":null,"PeriodicalName":"Case Reports in Gastroenterology","FirstCategoryId":"1085","ListUrlMain":"https://doi.org/10.1159/000544975","RegionNum":0,"RegionCategory":null,"ArticlePicture":[],"TitleCN":null,"AbstractTextCN":null,"PMCID":null,"EPubDate":"2025/1/1 0:00:00","PubModel":"eCollection","JCR":"Q4","JCRName":"GASTROENTEROLOGY & HEPATOLOGY","Score":null,"Total":0}
引用次数: 0

Abstract

Introduction: Bronchoesophageal fistulas (BOF) have predominantly been found to result in a decreased quality of life and an increased rate of mortality, particularly due to their severe complications and difficult treatment.

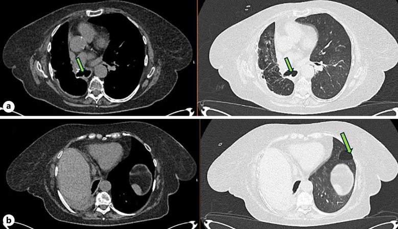
Case presentation: This report discusses the case of a 71-year-old female who presented with shortness of breath and a continuous cough secondary to a fistula between the oesophagus and right bronchus on the background of squamous cell carcinoma (SCC). This patient was seen by oncologists for the treatment of her lung cancer after right middle and lower lobe lobotomies, which was then treated with radiotherapy. On admission, a computed tomography scan revealed that the patient had a BOF due to therapeutic radiotherapy for SCC. She underwent intervention from the gastrointestinal and respiratory physicians to treat the BOF. Oesophageal stent placement was performed for treatment; however, the BOF remained patent, so a bronchial stent was considered for insertion. While the patient was awaiting the bronchial stent, she died.

Conclusion: This case highlights the complexities and challenges of BOFs, emphasising the need for further research and documentation to improve treatment strategies. More studies are needed to determine when oesophageal stenting is preferred over bronchial stenting and to evaluate the suitability and safety of dual stenting in both the oesophagus and bronchus.

Abstract Image

Abstract Image

放疗后支气管食管瘘1例报告。
支气管食管瘘(BOF)主要导致生活质量下降和死亡率增加,特别是由于其严重的并发症和难以治疗。病例介绍:本报告讨论了一例71岁女性,她以食管和右支气管之间的瘘管继发于鳞状细胞癌(SCC)为背景,表现为呼吸短促和持续咳嗽。该患者在接受右中下叶额叶切除术后接受肿瘤医生的治疗,并接受放射治疗。入院时,计算机断层扫描显示,患者有一个BOF由于治疗放疗的SCC。她接受了胃肠道和呼吸内科医生的干预治疗BOF。行食管支架置入治疗;然而,BOF仍未通畅,因此考虑置入支气管支架。当病人在等待支气管支架时,她死了。结论:本病例强调了BOFs的复杂性和挑战,强调了进一步研究和文献记录以改进治疗策略的必要性。需要更多的研究来确定食管支架置入术何时优于支气管支架置入术,以及评估食管和支气管双支架置入术的适用性和安全性。
本文章由计算机程序翻译,如有差异,请以英文原文为准。
求助全文
约1分钟内获得全文 求助全文
来源期刊
Case Reports in Gastroenterology
Case Reports in Gastroenterology Medicine-Gastroenterology
CiteScore
1.10
自引率
0.00%
发文量
99
审稿时长
7 weeks
期刊介绍:
×
引用
GB/T 7714-2015
复制
MLA
复制
APA
复制
导出至
BibTeX EndNote RefMan NoteFirst NoteExpress
×
提示
您的信息不完整,为了账户安全,请先补充。
现在去补充
×
提示
您因"违规操作"
具体请查看互助需知
我知道了
×
提示
确定
请完成安全验证×
copy
已复制链接
快去分享给好友吧!
我知道了
右上角分享
点击右上角分享
0
联系我们:info@booksci.cn Book学术提供免费学术资源搜索服务,方便国内外学者检索中英文文献。致力于提供最便捷和优质的服务体验。 Copyright © 2023 布克学术 All rights reserved.
京ICP备2023020795号-1
ghs 京公网安备 11010802042870号
Book学术文献互助
Book学术文献互助群
群 号:604180095
Book学术官方微信