Bilateral Renal Infarction, a Rare Consequence of Blunt Renal Artery Injury: A Case Report.

IF 0.6 Q3 MEDICINE, GENERAL & INTERNAL
Clinical Medicine Insights. Case Reports Pub Date : 2025-03-31 eCollection Date: 2025-01-01 DOI:10.1177/11795476241297632
Ali Tavoosian, Amirreza Shamshirgaran, Seyed Mohammad Kazem Aghamir
{"title":"Bilateral Renal Infarction, a Rare Consequence of Blunt Renal Artery Injury: A Case Report.","authors":"Ali Tavoosian, Amirreza Shamshirgaran, Seyed Mohammad Kazem Aghamir","doi":"10.1177/11795476241297632","DOIUrl":null,"url":null,"abstract":"<p><strong>Background: </strong>Renal infarction is an uncommon complication of Blunt renal artery injury (BRAI) following abdominal trauma. Diagnosis of infarction is difficult and mostly delayed due to non-specific symptoms. Early diagnosis can lead to appropriate and effective treatment, which prevents further complication.</p><p><strong>Case presentation: </strong>We report a case of 21-year-old man falling from a height of 9 m. A contrast-enhanced CT scan in the nephrogram phase showed no evidence of absorption in the right kidney and significantly decreased absorption in the left kidney. The pyelogram phase showed no secretion in the right kidney and decreased secretion in the left kidney suggesting segmental renal infarction. Subsequently, heparin infusion was initiated immediately. A follow-up contrast- enhanced abdominopelvic CT scan was performed after 1 month and showed no sign of infarction, and all laboratory tests were normal.</p><p><strong>Conclusion: </strong>Contrast-enhanced abdominopelvic CT scan helps physicians diagnose the renal infarction immediately and start appropriate treatment. Treatment can vary from aggressive surgical procedures to observation and supportive care.</p>","PeriodicalId":10357,"journal":{"name":"Clinical Medicine Insights. Case Reports","volume":"18 ","pages":"11795476241297632"},"PeriodicalIF":0.6000,"publicationDate":"2025-03-31","publicationTypes":"Journal Article","fieldsOfStudy":null,"isOpenAccess":false,"openAccessPdf":"https://www.ncbi.nlm.nih.gov/pmc/articles/PMC11960154/pdf/","citationCount":"0","resultStr":null,"platform":"Semanticscholar","paperid":null,"PeriodicalName":"Clinical Medicine Insights. Case Reports","FirstCategoryId":"1085","ListUrlMain":"https://doi.org/10.1177/11795476241297632","RegionNum":0,"RegionCategory":null,"ArticlePicture":[],"TitleCN":null,"AbstractTextCN":null,"PMCID":null,"EPubDate":"2025/1/1 0:00:00","PubModel":"eCollection","JCR":"Q3","JCRName":"MEDICINE, GENERAL & INTERNAL","Score":null,"Total":0}
引用次数: 0

Abstract

Background: Renal infarction is an uncommon complication of Blunt renal artery injury (BRAI) following abdominal trauma. Diagnosis of infarction is difficult and mostly delayed due to non-specific symptoms. Early diagnosis can lead to appropriate and effective treatment, which prevents further complication.

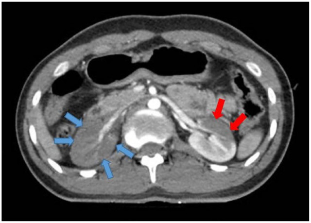
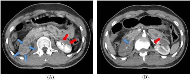
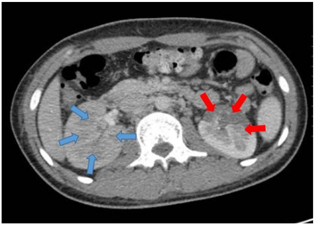
Case presentation: We report a case of 21-year-old man falling from a height of 9 m. A contrast-enhanced CT scan in the nephrogram phase showed no evidence of absorption in the right kidney and significantly decreased absorption in the left kidney. The pyelogram phase showed no secretion in the right kidney and decreased secretion in the left kidney suggesting segmental renal infarction. Subsequently, heparin infusion was initiated immediately. A follow-up contrast- enhanced abdominopelvic CT scan was performed after 1 month and showed no sign of infarction, and all laboratory tests were normal.

Conclusion: Contrast-enhanced abdominopelvic CT scan helps physicians diagnose the renal infarction immediately and start appropriate treatment. Treatment can vary from aggressive surgical procedures to observation and supportive care.

Abstract Image

Abstract Image

Abstract Image

双侧肾梗死,一个罕见的后果钝性肾动脉损伤:1例报告。
背景:肾梗死是腹部外伤后钝性肾动脉损伤(BRAI)的罕见并发症。梗塞的诊断是困难的,并且大多由于非特异性症状而延迟。早期诊断可导致适当和有效的治疗,从而防止进一步的并发症。病例介绍:我们报告一例21岁男子从9米高处坠落。肾图期CT增强扫描显示右肾无吸收迹象,左肾吸收明显减少。肾盂造影期显示右肾无分泌,左肾分泌减少,提示节段性肾梗死。随后立即开始肝素输注。随访1个月后进行了对比增强腹部骨盆CT扫描,未发现梗死迹象,所有实验室检查正常。结论:盆腔CT增强扫描有助于医生及时诊断肾梗死并开始适当的治疗。治疗可以从积极的外科手术到观察和支持性护理。
本文章由计算机程序翻译,如有差异,请以英文原文为准。
求助全文
约1分钟内获得全文 求助全文
来源期刊
Clinical Medicine Insights. Case Reports
Clinical Medicine Insights. Case Reports MEDICINE, GENERAL & INTERNAL-
CiteScore
1.10
自引率
0.00%
发文量
57
审稿时长
8 weeks
×
引用
GB/T 7714-2015
复制
MLA
复制
APA
复制
导出至
BibTeX EndNote RefMan NoteFirst NoteExpress
×
提示
您的信息不完整,为了账户安全,请先补充。
现在去补充
×
提示
您因"违规操作"
具体请查看互助需知
我知道了
×
提示
确定
请完成安全验证×
copy
已复制链接
快去分享给好友吧!
我知道了
右上角分享
点击右上角分享
0
联系我们:info@booksci.cn Book学术提供免费学术资源搜索服务,方便国内外学者检索中英文文献。致力于提供最便捷和优质的服务体验。 Copyright © 2023 布克学术 All rights reserved.
京ICP备2023020795号-1
ghs 京公网安备 11010802042870号
Book学术文献互助
Book学术文献互助群
群 号:604180095
Book学术官方微信