Macular Morphological Changes in Familial Exudative Vitreoretinopathy with Macular Traction on OCT.

IF 0.6 Q4 OPHTHALMOLOGY
Case Reports in Ophthalmology Pub Date : 2025-03-03 eCollection Date: 2025-01-01 DOI:10.1159/000545011
Asaki Hirai, Yota Kikuchi, Yuki Ohara, Toshihiko Ohta, Shintaro Nakao
{"title":"Macular Morphological Changes in Familial Exudative Vitreoretinopathy with Macular Traction on OCT.","authors":"Asaki Hirai, Yota Kikuchi, Yuki Ohara, Toshihiko Ohta, Shintaro Nakao","doi":"10.1159/000545011","DOIUrl":null,"url":null,"abstract":"<p><strong>Introduction: </strong>We aimed to report macular morphological changes observed on optical coherence tomography (OCT) in a child with familial exudative vitreoretinopathy (FEVR), experiencing macular traction caused by fibrovascular tissue (FT), who underwent vitrectomy.</p><p><strong>Case presentation: </strong>A 7-year-old girl presented with the chief complaint of decreased visual acuity in the left eye during a school examination. Fundus examination revealed retinal folds with FT extending from the peripheral retina to the posterior pole of the left eye. Despite interventions such as retinal photocoagulation and encircling buckling aimed at reducing the traction on the macula, OCT revealed persistent deep retinal folds and a thickened outer nuclear layer (ONL), indicating gradually increasing macular traction, which contributed to vision loss. A subsequent vitrectomy alleviated the macular traction, enhanced the retinal morphology, and reduced ONL thickening regardless of persistent ectopic inner foveal layers.</p><p><strong>Conclusions: </strong>Macular morphological changes before and after vitrectomy in a pediatric case of FEVR can be observed using OCT. Vitrectomy with FT removal may be effective in partially improving macular morphology in FEVR with macular traction.</p>","PeriodicalId":9635,"journal":{"name":"Case Reports in Ophthalmology","volume":"16 1","pages":"239-245"},"PeriodicalIF":0.6000,"publicationDate":"2025-03-03","publicationTypes":"Journal Article","fieldsOfStudy":null,"isOpenAccess":false,"openAccessPdf":"https://www.ncbi.nlm.nih.gov/pmc/articles/PMC11961152/pdf/","citationCount":"0","resultStr":null,"platform":"Semanticscholar","paperid":null,"PeriodicalName":"Case Reports in Ophthalmology","FirstCategoryId":"1085","ListUrlMain":"https://doi.org/10.1159/000545011","RegionNum":0,"RegionCategory":null,"ArticlePicture":[],"TitleCN":null,"AbstractTextCN":null,"PMCID":null,"EPubDate":"2025/1/1 0:00:00","PubModel":"eCollection","JCR":"Q4","JCRName":"OPHTHALMOLOGY","Score":null,"Total":0}
引用次数: 0

Abstract

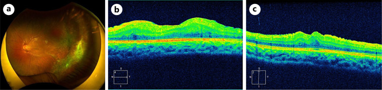
Introduction: We aimed to report macular morphological changes observed on optical coherence tomography (OCT) in a child with familial exudative vitreoretinopathy (FEVR), experiencing macular traction caused by fibrovascular tissue (FT), who underwent vitrectomy.

Case presentation: A 7-year-old girl presented with the chief complaint of decreased visual acuity in the left eye during a school examination. Fundus examination revealed retinal folds with FT extending from the peripheral retina to the posterior pole of the left eye. Despite interventions such as retinal photocoagulation and encircling buckling aimed at reducing the traction on the macula, OCT revealed persistent deep retinal folds and a thickened outer nuclear layer (ONL), indicating gradually increasing macular traction, which contributed to vision loss. A subsequent vitrectomy alleviated the macular traction, enhanced the retinal morphology, and reduced ONL thickening regardless of persistent ectopic inner foveal layers.

Conclusions: Macular morphological changes before and after vitrectomy in a pediatric case of FEVR can be observed using OCT. Vitrectomy with FT removal may be effective in partially improving macular morphology in FEVR with macular traction.

Abstract Image

Abstract Image

Abstract Image

家族性渗出性玻璃体视网膜病变伴黄斑牵引的黄斑形态改变。
简介:我们的目的是报道一名患有家族性渗出性玻璃体视网膜病变(FEVR)的儿童在光学相干断层扫描(OCT)上观察到的黄斑形态变化,该儿童患有纤维血管组织(FT)引起的黄斑牵引,接受了玻璃体切除术。病例介绍:一名七岁女孩在学校考试时以左眼视力下降为主诉。眼底检查显示视网膜褶皱伴FT从周围视网膜延伸至左眼后极。尽管采取了诸如视网膜光凝和环扣等旨在减少对黄斑牵引力的干预措施,但OCT显示持续的深视网膜褶皱和增厚的外核层(ONL),表明黄斑牵引力逐渐增加,导致视力下降。随后的玻璃体切除术减轻了黄斑牵引力,增强了视网膜形态,并减少了ONL增厚,而不考虑持续异位的内中央凹层。结论:应用oct可以观察到小儿feevr患者玻璃体切除前后黄斑形态的变化,玻璃体切除联合FT切除可部分改善黄斑牵引的feevr患者黄斑形态。
本文章由计算机程序翻译,如有差异,请以英文原文为准。
求助全文
约1分钟内获得全文 求助全文
来源期刊
CiteScore
0.90
自引率
0.00%
发文量
129
审稿时长
12 weeks
期刊介绍: This peer-reviewed online-only journal publishes original case reports covering the entire spectrum of ophthalmology, including prevention, diagnosis, treatment, toxicities of therapy, supportive care, quality-of-life, and survivorship issues. The submission of negative results is strongly encouraged. The journal will also accept case reports dealing with the use of novel technologies, both in the arena of diagnosis and treatment. Supplementary material is welcomed. The intent of the journal is to provide clinicians and researchers with a tool to disseminate their personal experiences to a wider public as well as to review interesting cases encountered by colleagues all over the world. Universally used terms can be searched across the entire growing collection of case reports, further facilitating the retrieval of specific information. Following the open access principle, the entire contents can be retrieved at no charge, guaranteeing easy access to this valuable source of anecdotal information at all times.
×
引用
GB/T 7714-2015
复制
MLA
复制
APA
复制
导出至
BibTeX EndNote RefMan NoteFirst NoteExpress
×
提示
您的信息不完整,为了账户安全,请先补充。
现在去补充
×
提示
您因"违规操作"
具体请查看互助需知
我知道了
×
提示
确定
请完成安全验证×
copy
已复制链接
快去分享给好友吧!
我知道了
右上角分享
点击右上角分享
0
联系我们:info@booksci.cn Book学术提供免费学术资源搜索服务,方便国内外学者检索中英文文献。致力于提供最便捷和优质的服务体验。 Copyright © 2023 布克学术 All rights reserved.
京ICP备2023020795号-1
ghs 京公网安备 11010802042870号
Book学术文献互助
Book学术文献互助群
群 号:604180095
Book学术官方微信