Combined Minimally Invasive Surgical and Percutaneous Approaches for a Patient on Hemodialysis With Severe Aortic Stenosis and Complex Coronary Artery Disease.

IF 0.5 Q4 CARDIAC & CARDIOVASCULAR SYSTEMS
Case Reports in Cardiology Pub Date : 2025-03-21 eCollection Date: 2025-01-01 DOI:10.1155/cric/9229849
Teruaki Wada, Kentaro Honda, Hironori Kitabata, Yoshiharu Nishimura, Atsushi Tanaka
{"title":"Combined Minimally Invasive Surgical and Percutaneous Approaches for a Patient on Hemodialysis With Severe Aortic Stenosis and Complex Coronary Artery Disease.","authors":"Teruaki Wada, Kentaro Honda, Hironori Kitabata, Yoshiharu Nishimura, Atsushi Tanaka","doi":"10.1155/cric/9229849","DOIUrl":null,"url":null,"abstract":"<p><p>Patients on hemodialysis with concomitant severe aortic stenosis (AS) and multivessel coronary artery disease (CAD) are at high risk for surgical aortic valve replacement (SAVR) and coronary artery bypass grafting (CABG). Transsubclavian-transcatheter aortic valve implantation (TSc-TAVI) is a well-established alternative approach to transfemoral TAVI for patients with unfavorable femoral access. Herein, we report a case in which minimally invasive surgical treatment and TSc-TAVI were performed simultaneously in a patient with severe AS and multivessel CAD undergoing hemodialysis. An 85-year-old man undergoing hemodialysis for end-stage renal disease owing to severe AS (mean pressure gradient, 46 mmHg; aortic valve area, 0.75 cm<sup>2</sup>; and left ventricular ejection fraction, 59%) presented to our hospital with chest pain on exertion. Preoperative coronary angiography revealed significant stenosis of the left anterior descending (LAD) coronary artery and right coronary artery (RCA), requiring revascularization. However, the patient was not a good candidate for transfemoral TAVI because of a porcelain ascending aorta and a shaggy descending aorta observed on computed tomography. He was scheduled for concomitant right TSc-TAVI and minimally invasive cardiac surgery (MICS)-CABG after percutaneous coronary intervention (PCI) for the RCA. The treatment was successful. Simultaneous TSc-TAVI and MICS-CABG with PCI may be applied as a minimally invasive surgical treatment modality for patients with AS and CAD undergoing hemodialysis.</p>","PeriodicalId":51760,"journal":{"name":"Case Reports in Cardiology","volume":"2025 ","pages":"9229849"},"PeriodicalIF":0.5000,"publicationDate":"2025-03-21","publicationTypes":"Journal Article","fieldsOfStudy":null,"isOpenAccess":false,"openAccessPdf":"https://www.ncbi.nlm.nih.gov/pmc/articles/PMC11952915/pdf/","citationCount":"0","resultStr":null,"platform":"Semanticscholar","paperid":null,"PeriodicalName":"Case Reports in Cardiology","FirstCategoryId":"1085","ListUrlMain":"https://doi.org/10.1155/cric/9229849","RegionNum":0,"RegionCategory":null,"ArticlePicture":[],"TitleCN":null,"AbstractTextCN":null,"PMCID":null,"EPubDate":"2025/1/1 0:00:00","PubModel":"eCollection","JCR":"Q4","JCRName":"CARDIAC & CARDIOVASCULAR SYSTEMS","Score":null,"Total":0}
引用次数: 0

Abstract

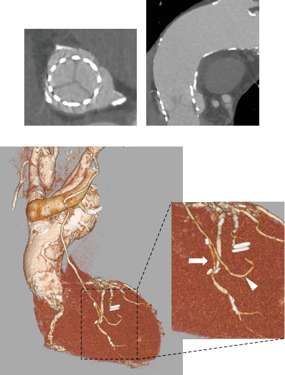
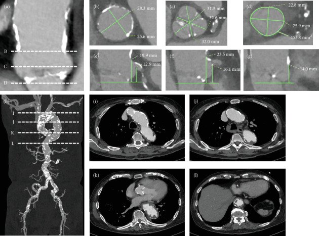
Patients on hemodialysis with concomitant severe aortic stenosis (AS) and multivessel coronary artery disease (CAD) are at high risk for surgical aortic valve replacement (SAVR) and coronary artery bypass grafting (CABG). Transsubclavian-transcatheter aortic valve implantation (TSc-TAVI) is a well-established alternative approach to transfemoral TAVI for patients with unfavorable femoral access. Herein, we report a case in which minimally invasive surgical treatment and TSc-TAVI were performed simultaneously in a patient with severe AS and multivessel CAD undergoing hemodialysis. An 85-year-old man undergoing hemodialysis for end-stage renal disease owing to severe AS (mean pressure gradient, 46 mmHg; aortic valve area, 0.75 cm2; and left ventricular ejection fraction, 59%) presented to our hospital with chest pain on exertion. Preoperative coronary angiography revealed significant stenosis of the left anterior descending (LAD) coronary artery and right coronary artery (RCA), requiring revascularization. However, the patient was not a good candidate for transfemoral TAVI because of a porcelain ascending aorta and a shaggy descending aorta observed on computed tomography. He was scheduled for concomitant right TSc-TAVI and minimally invasive cardiac surgery (MICS)-CABG after percutaneous coronary intervention (PCI) for the RCA. The treatment was successful. Simultaneous TSc-TAVI and MICS-CABG with PCI may be applied as a minimally invasive surgical treatment modality for patients with AS and CAD undergoing hemodialysis.

Abstract Image

Abstract Image

Abstract Image

微创手术联合经皮入路治疗血液透析合并严重主动脉狭窄和复杂冠状动脉疾病1例。
伴有严重主动脉狭窄(AS)和多支冠状动脉疾病(CAD)的血液透析患者手术主动脉瓣置换术(SAVR)和冠状动脉旁路移植术(CABG)的风险很高。经锁骨下-经导管主动脉瓣植入术(TSc-TAVI)是一种成熟的替代经股主动脉瓣植入术的方法。在这里,我们报告了一例微创手术治疗和TSc-TAVI同时进行严重AS和多血管CAD进行血液透析的患者。1例85岁男性,因严重AS导致终末期肾病接受血液透析(平均压力梯度,46 mmHg;主动脉瓣面积0.75 cm2;左心室射血分数(59%)以用力时胸痛就诊。术前冠状动脉造影显示左前降支(LAD)和右冠状动脉(RCA)明显狭窄,需要血运重建术。然而,由于在计算机断层扫描上观察到瓷状升主动脉和粗糙的降主动脉,患者不适合进行经股TAVI。他计划在RCA经皮冠状动脉介入治疗(PCI)后同时行右侧TSc-TAVI和微创心脏手术(MICS)-CABG。治疗很成功。TSc-TAVI和MICS-CABG联合PCI可作为as和CAD患者进行血液透析的微创手术治疗方式。
本文章由计算机程序翻译,如有差异,请以英文原文为准。
求助全文
约1分钟内获得全文 求助全文
来源期刊
Case Reports in Cardiology
Case Reports in Cardiology CARDIAC & CARDIOVASCULAR SYSTEMS-
自引率
0.00%
发文量
63
审稿时长
13 weeks
期刊介绍: Case Reports in Cardiology is a peer-reviewed, Open Access journal that publishes case reports and case series related to hypertension, arrhythmia, congestive heart failure, valvular heart disease, vascular disease, congenital heart disease and cardiomyopathy.
×
引用
GB/T 7714-2015
复制
MLA
复制
APA
复制
导出至
BibTeX EndNote RefMan NoteFirst NoteExpress
×
提示
您的信息不完整,为了账户安全,请先补充。
现在去补充
×
提示
您因"违规操作"
具体请查看互助需知
我知道了
×
提示
确定
请完成安全验证×
copy
已复制链接
快去分享给好友吧!
我知道了
右上角分享
点击右上角分享
0
联系我们:info@booksci.cn Book学术提供免费学术资源搜索服务,方便国内外学者检索中英文文献。致力于提供最便捷和优质的服务体验。 Copyright © 2023 布克学术 All rights reserved.
京ICP备2023020795号-1
ghs 京公网安备 11010802042870号
Book学术文献互助
Book学术文献互助群
群 号:604180095
Book学术官方微信