Repurposing of paroxetine and fluoxetine for their antibacterial effects against clinical Pseudomonas aeruginosa isolates in Egypt.

IF 4.1 Q3 MICROBIOLOGY
AIMS Microbiology Pub Date : 2025-02-05 eCollection Date: 2025-01-01 DOI:10.3934/microbiol.2025007
Kholoud Baraka, Rania Abozahra, Eman Khalaf, Mahmoud Elsayed Bennaya, Sarah M Abdelhamid
{"title":"Repurposing of paroxetine and fluoxetine for their antibacterial effects against clinical <i>Pseudomonas aeruginosa</i> isolates in Egypt.","authors":"Kholoud Baraka, Rania Abozahra, Eman Khalaf, Mahmoud Elsayed Bennaya, Sarah M Abdelhamid","doi":"10.3934/microbiol.2025007","DOIUrl":null,"url":null,"abstract":"<p><strong>Background: </strong>Drug repositioning has emerged as a promising strategy for assessing its antimicrobial efficacy in treating infectious diseases.</p><p><strong>Methods: </strong>Seventy-five samples were collected and investigated for the presence of <i>Pseudomonas aeruginosa</i>. Antibiotic resistance, hemolytic activity, twitching motility, and biofilm formation were assessed. <i>lasI</i> and <i>lasR</i> genes were detected using conventional PCR. Minimum inhibitory concentrations of paroxetine, fluoxetine, and levofloxacin were determined by broth micro-dilution. The fractional inhibitory concentration index was calculated to assess the interaction between fluoxetine/levofloxacin and paroxetine/levofloxacin combinations. Half the MIC values of the drugs were selected for inhibitory effect assessment for virulence factors. Antibacterial and healing effects of fluoxetine were investigated on 30 male albino rats using a digital camera, bacterial count, and histological examination.</p><p><strong>Results: </strong>Our 25 <i>P. aeruginosa</i> isolates were highly drug-resistant. 80%, 92%, and 80% of isolates were positive for twitching motility, hemolysis, and biofilm formation, respectively. 92% of isolates were positive for <i>lasI</i> gene and 96% for <i>lasR</i> gene. MICs of fluoxetine and paroxetine ranged from 32 to 512 µg/mL and MICs of levofloxacin ranged from 1 to 256 µg/mL. A synergistic outcome was observed in both combinations. Biofilm formation, twitching motility, and hemolysis were inhibited by paroxetine and fluoxetine in the majority of isolates. Fluoxetine/levofloxacin and paroxetine/levofloxacin combinations inhibited twitching motility, hemolysis, and biofilm formation in all isolates. Enhanced wound healing was observed in rats treated with fluoxetine and levofloxacin, with the fluoxetine/levofloxacin combination group demonstrating the most significant wound-healing effect. Bacterial count decreased in rats treated with levofloxacin, fluoxetine, and the levofloxacin/fluoxetine combination. Histological examination revealed higher wound healing in the levofloxacin-treated group than the fluoxetine group, and the combination treatment group displayed the fastest rate of wound healing.</p><p><strong>Conclusions: </strong>Paroxetine and fluoxetine showed considerable antibacterial inhibitory effects against multi-drug resistant <i>P. aeruginosa</i> isolates. Fluoxetine showed significant improvement in anti-inflammatory effects and wound healing. To the best of our knowledge, this is the first Egyptian study to investigate the repurposing of paroxetine and fluoxetine as antibacterial agents. Further studies are needed to investigate their applicability as antibacterial agents as single agents or in combination with other antibiotics.</p>","PeriodicalId":46108,"journal":{"name":"AIMS Microbiology","volume":"11 1","pages":"126-149"},"PeriodicalIF":4.1000,"publicationDate":"2025-02-05","publicationTypes":"Journal Article","fieldsOfStudy":null,"isOpenAccess":false,"openAccessPdf":"https://www.ncbi.nlm.nih.gov/pmc/articles/PMC11950684/pdf/","citationCount":"0","resultStr":null,"platform":"Semanticscholar","paperid":null,"PeriodicalName":"AIMS Microbiology","FirstCategoryId":"1085","ListUrlMain":"https://doi.org/10.3934/microbiol.2025007","RegionNum":0,"RegionCategory":null,"ArticlePicture":[],"TitleCN":null,"AbstractTextCN":null,"PMCID":null,"EPubDate":"2025/1/1 0:00:00","PubModel":"eCollection","JCR":"Q3","JCRName":"MICROBIOLOGY","Score":null,"Total":0}
引用次数: 0

Abstract

Background: Drug repositioning has emerged as a promising strategy for assessing its antimicrobial efficacy in treating infectious diseases.

Methods: Seventy-five samples were collected and investigated for the presence of Pseudomonas aeruginosa. Antibiotic resistance, hemolytic activity, twitching motility, and biofilm formation were assessed. lasI and lasR genes were detected using conventional PCR. Minimum inhibitory concentrations of paroxetine, fluoxetine, and levofloxacin were determined by broth micro-dilution. The fractional inhibitory concentration index was calculated to assess the interaction between fluoxetine/levofloxacin and paroxetine/levofloxacin combinations. Half the MIC values of the drugs were selected for inhibitory effect assessment for virulence factors. Antibacterial and healing effects of fluoxetine were investigated on 30 male albino rats using a digital camera, bacterial count, and histological examination.

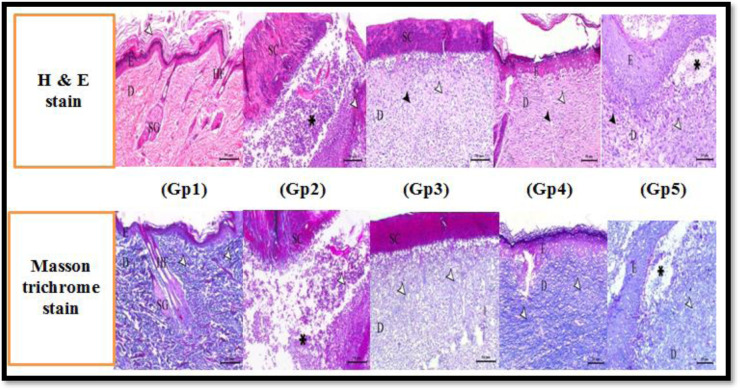
Results: Our 25 P. aeruginosa isolates were highly drug-resistant. 80%, 92%, and 80% of isolates were positive for twitching motility, hemolysis, and biofilm formation, respectively. 92% of isolates were positive for lasI gene and 96% for lasR gene. MICs of fluoxetine and paroxetine ranged from 32 to 512 µg/mL and MICs of levofloxacin ranged from 1 to 256 µg/mL. A synergistic outcome was observed in both combinations. Biofilm formation, twitching motility, and hemolysis were inhibited by paroxetine and fluoxetine in the majority of isolates. Fluoxetine/levofloxacin and paroxetine/levofloxacin combinations inhibited twitching motility, hemolysis, and biofilm formation in all isolates. Enhanced wound healing was observed in rats treated with fluoxetine and levofloxacin, with the fluoxetine/levofloxacin combination group demonstrating the most significant wound-healing effect. Bacterial count decreased in rats treated with levofloxacin, fluoxetine, and the levofloxacin/fluoxetine combination. Histological examination revealed higher wound healing in the levofloxacin-treated group than the fluoxetine group, and the combination treatment group displayed the fastest rate of wound healing.

Conclusions: Paroxetine and fluoxetine showed considerable antibacterial inhibitory effects against multi-drug resistant P. aeruginosa isolates. Fluoxetine showed significant improvement in anti-inflammatory effects and wound healing. To the best of our knowledge, this is the first Egyptian study to investigate the repurposing of paroxetine and fluoxetine as antibacterial agents. Further studies are needed to investigate their applicability as antibacterial agents as single agents or in combination with other antibiotics.

Abstract Image

Abstract Image

Abstract Image

帕罗西汀和氟西汀对埃及铜绿假单胞菌临床分离株抗菌作用的研究。
背景:药物重新定位已成为评估其治疗传染病的抗菌效果的一种有前途的策略。方法:采集75份样品,对铜绿假单胞菌进行检查。评估抗生素耐药性、溶血活性、抽搐运动性和生物膜形成。采用常规PCR检测lasI和lasR基因。用微量肉汤稀释法测定了帕罗西汀、氟西汀和左氧氟沙星的最低抑菌浓度。计算分数抑制浓度指数以评估氟西汀/左氧氟沙星与帕罗西汀/左氧氟沙星联合用药之间的相互作用。选取半数药物MIC值对毒力因子进行抑制效果评价。采用数码相机、细菌计数和组织学检查,观察氟西汀对30只雄性白化大鼠的抗菌和愈合作用。结果:25株铜绿假单胞菌具有高度耐药性。分别有80%、92%和80%的分离株抽动、溶血和生物膜形成呈阳性。其中lasI基因和r基因分别为92%和96%。氟西汀和帕罗西汀的mic范围为32 ~ 512µg/mL,左氧氟沙星的mic范围为1 ~ 256µg/mL。两种组合均有协同效果。在大多数分离株中,帕罗西汀和氟西汀抑制了生物膜的形成、抽搐运动和溶血。氟西汀/左氧氟沙星和帕罗西汀/左氧氟沙星联合用药抑制所有分离株的抽搐运动、溶血和生物膜形成。氟西汀和左氧氟沙星治疗大鼠伤口愈合明显增强,其中氟西汀/左氧氟沙星联合治疗组伤口愈合效果最显著。用左氧氟沙星、氟西汀和左氧氟沙星/氟西汀联合治疗的大鼠细菌计数减少。组织学检查显示左氧氟沙星治疗组创面愈合速度高于氟西汀组,且联合治疗组创面愈合速度最快。结论:帕罗西汀和氟西汀对多重耐药铜绿假单胞菌具有明显的抑菌作用。氟西汀对抗炎作用和伤口愈合有显著改善。据我们所知,这是埃及第一次研究帕罗西汀和氟西汀作为抗菌剂的再利用。其作为抗菌剂单独使用或与其他抗生素联合使用的适用性有待进一步研究。
本文章由计算机程序翻译,如有差异,请以英文原文为准。
求助全文
约1分钟内获得全文 求助全文
来源期刊
AIMS Microbiology
AIMS Microbiology MICROBIOLOGY-
CiteScore
7.00
自引率
2.10%
发文量
22
审稿时长
8 weeks
×
引用
GB/T 7714-2015
复制
MLA
复制
APA
复制
导出至
BibTeX EndNote RefMan NoteFirst NoteExpress
×
提示
您的信息不完整,为了账户安全,请先补充。
现在去补充
×
提示
您因"违规操作"
具体请查看互助需知
我知道了
×
提示
确定
请完成安全验证×
copy
已复制链接
快去分享给好友吧!
我知道了
右上角分享
点击右上角分享
0
联系我们:info@booksci.cn Book学术提供免费学术资源搜索服务,方便国内外学者检索中英文文献。致力于提供最便捷和优质的服务体验。 Copyright © 2023 布克学术 All rights reserved.
京ICP备2023020795号-1
ghs 京公网安备 11010802042870号
Book学术文献互助
Book学术文献互助群
群 号:604180095
Book学术官方微信