Diagnostic approach to blastic plasmacytoid dendritic cell neoplasm: historical perspectives and current understanding.

IF 1.4 Q4 HEMATOLOGY
Kana Sakamoto, Kengo Takeuchi
{"title":"Diagnostic approach to blastic plasmacytoid dendritic cell neoplasm: historical perspectives and current understanding.","authors":"Kana Sakamoto, Kengo Takeuchi","doi":"10.3960/jslrt.24069","DOIUrl":null,"url":null,"abstract":"<p><p>Blastic plasmacytoid dendritic cell neoplasm (BPDCN) is a rare hematologic malignancy composed of immature cells that exhibit plasmacytoid dendritic cell (pDC) differentiation. The diagnosis of BPDCN is often challenging due to its rarity and morphologic and phenotypic overlap with other hematologic malignancies, such as acute myeloid leukemia (AML). The emergence of tagraxofusp, a CD123-directed cytotoxin, and other novel therapies has underscored the importance of accurately diagnosing BPDCN. This review initially outlined the clinical and histopathological features of BPDCN, including patients with immunoblastoid morphology. Various proposed diagnostic criteria based on flow cytometry and immunohistochemistry findings were presented, highlighting critical points of caution in the diagnostic process. Strategies for detecting minimal residual disease or microinvasion in BPDCN, a significant clinical issue, were also discussed. Additionally, we reviewed the recurrent 8q24 (MYC) and MYB rearrangements observed in BPDCN, which can aid in diagnosis. Furthermore, we explored mature plasmacytoid dendritic cell proliferation (MPDCP) associated with myeloid neoplasm, which is characterized by a clonal proliferation of pDCs in cases with a defined myeloid neoplasm and may also serve as a potential differential diagnosis for BPDCN. Lastly, we discussed pDC-AML, characterized by pDC proliferation in AML cases, which can also be part of MPDCP and is often associated with frequent RUNX1 mutations. Overall, this review provides insights into BPDCN diagnosis and highlights the current challenges in its detection and differential diagnosis.</p>","PeriodicalId":45936,"journal":{"name":"Journal of Clinical and Experimental Hematopathology","volume":"65 1","pages":"1-16"},"PeriodicalIF":1.4000,"publicationDate":"2025-01-01","publicationTypes":"Journal Article","fieldsOfStudy":null,"isOpenAccess":false,"openAccessPdf":"https://www.ncbi.nlm.nih.gov/pmc/articles/PMC12051425/pdf/","citationCount":"0","resultStr":null,"platform":"Semanticscholar","paperid":null,"PeriodicalName":"Journal of Clinical and Experimental Hematopathology","FirstCategoryId":"1085","ListUrlMain":"https://doi.org/10.3960/jslrt.24069","RegionNum":0,"RegionCategory":null,"ArticlePicture":[],"TitleCN":null,"AbstractTextCN":null,"PMCID":null,"EPubDate":"","PubModel":"","JCR":"Q4","JCRName":"HEMATOLOGY","Score":null,"Total":0}
引用次数: 0

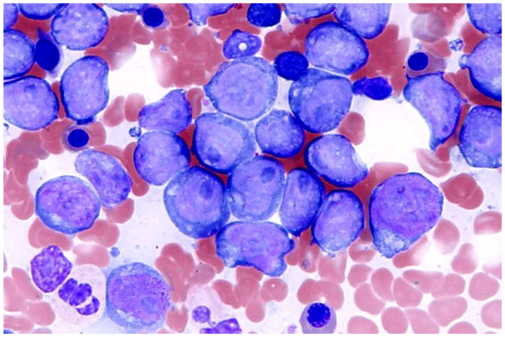
Abstract

Blastic plasmacytoid dendritic cell neoplasm (BPDCN) is a rare hematologic malignancy composed of immature cells that exhibit plasmacytoid dendritic cell (pDC) differentiation. The diagnosis of BPDCN is often challenging due to its rarity and morphologic and phenotypic overlap with other hematologic malignancies, such as acute myeloid leukemia (AML). The emergence of tagraxofusp, a CD123-directed cytotoxin, and other novel therapies has underscored the importance of accurately diagnosing BPDCN. This review initially outlined the clinical and histopathological features of BPDCN, including patients with immunoblastoid morphology. Various proposed diagnostic criteria based on flow cytometry and immunohistochemistry findings were presented, highlighting critical points of caution in the diagnostic process. Strategies for detecting minimal residual disease or microinvasion in BPDCN, a significant clinical issue, were also discussed. Additionally, we reviewed the recurrent 8q24 (MYC) and MYB rearrangements observed in BPDCN, which can aid in diagnosis. Furthermore, we explored mature plasmacytoid dendritic cell proliferation (MPDCP) associated with myeloid neoplasm, which is characterized by a clonal proliferation of pDCs in cases with a defined myeloid neoplasm and may also serve as a potential differential diagnosis for BPDCN. Lastly, we discussed pDC-AML, characterized by pDC proliferation in AML cases, which can also be part of MPDCP and is often associated with frequent RUNX1 mutations. Overall, this review provides insights into BPDCN diagnosis and highlights the current challenges in its detection and differential diagnosis.

Abstract Image

Abstract Image

Abstract Image

母浆细胞样树突状细胞肿瘤的诊断方法:历史观点和当前认识。
母浆细胞样树突状细胞肿瘤(BPDCN)是一种罕见的血液恶性肿瘤,由未成熟细胞组成,表现为浆细胞样树突状细胞(pDC)分化。由于BPDCN的罕见性和与其他血液系统恶性肿瘤(如急性髓性白血病(AML))的形态和表型重叠,BPDCN的诊断通常具有挑战性。tagraxofusp(一种cd123导向的细胞毒素)和其他新疗法的出现强调了准确诊断BPDCN的重要性。本综述初步概述了BPDCN的临床和组织病理学特征,包括具有免疫母细胞样形态的患者。提出了各种基于流式细胞术和免疫组织化学结果的诊断标准,强调了诊断过程中的关键点。本文还讨论了检测BPDCN微小残留病变或微侵袭的策略,这是一个重要的临床问题。此外,我们回顾了在BPDCN中观察到的复发性8q24 (MYC)和MYB重排,这有助于诊断。此外,我们探讨了成熟浆细胞样树突状细胞增殖(MPDCP)与髓系肿瘤的关系,其特征是在髓系肿瘤中,成熟浆细胞样树突状细胞的克隆性增殖,这也可能作为BPDCN的潜在鉴别诊断。最后,我们讨论了pDC-AML,其特征是AML病例中的pDC增殖,这也可能是MPDCP的一部分,并且通常与频繁的RUNX1突变相关。总的来说,这篇综述提供了BPDCN诊断的见解,并强调了目前在其检测和鉴别诊断方面的挑战。
本文章由计算机程序翻译,如有差异,请以英文原文为准。
求助全文
约1分钟内获得全文 求助全文
来源期刊
CiteScore
2.00
自引率
6.70%
发文量
25
审稿时长
11 weeks
×
引用
GB/T 7714-2015
复制
MLA
复制
APA
复制
导出至
BibTeX EndNote RefMan NoteFirst NoteExpress
×
提示
您的信息不完整,为了账户安全,请先补充。
现在去补充
×
提示
您因"违规操作"
具体请查看互助需知
我知道了
×
提示
确定
请完成安全验证×
copy
已复制链接
快去分享给好友吧!
我知道了
右上角分享
点击右上角分享
0
联系我们:info@booksci.cn Book学术提供免费学术资源搜索服务,方便国内外学者检索中英文文献。致力于提供最便捷和优质的服务体验。 Copyright © 2023 布克学术 All rights reserved.
京ICP备2023020795号-1
ghs 京公网安备 11010802042870号
Book学术文献互助
Book学术文献互助群
群 号:604180095
Book学术官方微信