Gallstone Ileus in a 25-Year-Old Female With Cyclin-Dependent Kinase-Like 5 Deficiency Disorder: A Case Report.

IF 0.5 Q4 GASTROENTEROLOGY & HEPATOLOGY
Case Reports in Gastrointestinal Medicine Pub Date : 2025-03-23 eCollection Date: 2025-01-01 DOI:10.1155/crgm/4901433
Hikaru Onoda, Mami Kuroda, Ryo Takeguchi, Ryosuke Tanaka, Daisuke Ishii, Hisayuki Miyagi, Masatoshi Hirasawa, Satoru Takahashi
{"title":"Gallstone Ileus in a 25-Year-Old Female With Cyclin-Dependent Kinase-Like 5 Deficiency Disorder: A Case Report.","authors":"Hikaru Onoda, Mami Kuroda, Ryo Takeguchi, Ryosuke Tanaka, Daisuke Ishii, Hisayuki Miyagi, Masatoshi Hirasawa, Satoru Takahashi","doi":"10.1155/crgm/4901433","DOIUrl":null,"url":null,"abstract":"<p><p>Gallstone ileus is an uncommon complication of cholelithiasis and the delayed diagnosis may be associated with increased risk of mortality. When gallstones block the cystic duct, they can lead to cholecystitis. If a fistula forms between the inflamed gallbladder and the adjacent intestine, the gallstones may pass into the intestinal tract and cause obstruction in the intestine. We report a case of 25-year-old female with developmental and epileptic encephalopathy who was intraoperatively diagnosed with gallstone ileus during surgery for small bowel obstruction of unknown origin. The patient had potential risk factors enhancing the formation of cholesterol gallstones, including long-term use of phenobarbital, vagus nerve injury in open gastrostomy and laparoscopic fundoplication, and tube feeding; however, the patient's gallstone had been undiagnosed for a long time. Computed tomography of the abdomen showed small bowel obstruction and pneumobilia. The presence of pneumobilia in a patient without a surgical history of the biliary system should raise suspicion of a bilioenteric fistula. The awareness of this complication of cholelithiasis is important to make an early diagnosis and to initiate the appropriate treatment.</p>","PeriodicalId":45645,"journal":{"name":"Case Reports in Gastrointestinal Medicine","volume":"2025 ","pages":"4901433"},"PeriodicalIF":0.5000,"publicationDate":"2025-03-23","publicationTypes":"Journal Article","fieldsOfStudy":null,"isOpenAccess":false,"openAccessPdf":"https://www.ncbi.nlm.nih.gov/pmc/articles/PMC11955286/pdf/","citationCount":"0","resultStr":null,"platform":"Semanticscholar","paperid":null,"PeriodicalName":"Case Reports in Gastrointestinal Medicine","FirstCategoryId":"1085","ListUrlMain":"https://doi.org/10.1155/crgm/4901433","RegionNum":0,"RegionCategory":null,"ArticlePicture":[],"TitleCN":null,"AbstractTextCN":null,"PMCID":null,"EPubDate":"2025/1/1 0:00:00","PubModel":"eCollection","JCR":"Q4","JCRName":"GASTROENTEROLOGY & HEPATOLOGY","Score":null,"Total":0}
引用次数: 0

Abstract

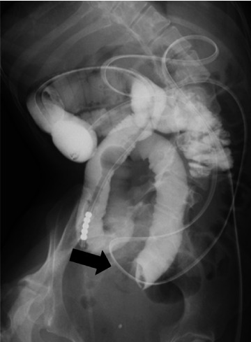
Gallstone ileus is an uncommon complication of cholelithiasis and the delayed diagnosis may be associated with increased risk of mortality. When gallstones block the cystic duct, they can lead to cholecystitis. If a fistula forms between the inflamed gallbladder and the adjacent intestine, the gallstones may pass into the intestinal tract and cause obstruction in the intestine. We report a case of 25-year-old female with developmental and epileptic encephalopathy who was intraoperatively diagnosed with gallstone ileus during surgery for small bowel obstruction of unknown origin. The patient had potential risk factors enhancing the formation of cholesterol gallstones, including long-term use of phenobarbital, vagus nerve injury in open gastrostomy and laparoscopic fundoplication, and tube feeding; however, the patient's gallstone had been undiagnosed for a long time. Computed tomography of the abdomen showed small bowel obstruction and pneumobilia. The presence of pneumobilia in a patient without a surgical history of the biliary system should raise suspicion of a bilioenteric fistula. The awareness of this complication of cholelithiasis is important to make an early diagnosis and to initiate the appropriate treatment.

Abstract Image

Abstract Image

Abstract Image

25岁女性胆石性肠梗阻伴周期蛋白依赖性激酶样5缺乏症1例报告。
胆石性肠梗阻是胆石症的罕见并发症,延迟诊断可能与死亡风险增加有关。当胆结石阻塞胆囊管时,可导致胆囊炎。如果在发炎的胆囊和邻近的肠道之间形成瘘管,胆结石可能会进入肠道并引起肠道阻塞。我们报告一例25岁的女性发育性癫痫性脑病患者,在手术中因不明原因的小肠梗阻被诊断为胆结石性肠梗阻。患者存在促进胆固醇性胆结石形成的潜在危险因素,包括长期使用苯巴比妥、开放式胃造口及腹腔镜底叠术中迷走神经损伤、管饲等;然而,病人的胆结石很长一段时间没有被诊断出来。腹部电脑断层显示小肠梗阻及气动。无胆道系统手术史的患者出现气动应引起胆道肠瘘的怀疑。意识到这种并发症的胆石症是重要的作出早期诊断和开始适当的治疗。
本文章由计算机程序翻译,如有差异,请以英文原文为准。
求助全文
约1分钟内获得全文 求助全文
来源期刊
Case Reports in Gastrointestinal Medicine
Case Reports in Gastrointestinal Medicine GASTROENTEROLOGY & HEPATOLOGY-
自引率
0.00%
发文量
33
审稿时长
14 weeks
×
引用
GB/T 7714-2015
复制
MLA
复制
APA
复制
导出至
BibTeX EndNote RefMan NoteFirst NoteExpress
×
提示
您的信息不完整,为了账户安全,请先补充。
现在去补充
×
提示
您因"违规操作"
具体请查看互助需知
我知道了
×
提示
确定
请完成安全验证×
copy
已复制链接
快去分享给好友吧!
我知道了
右上角分享
点击右上角分享
0
联系我们:info@booksci.cn Book学术提供免费学术资源搜索服务,方便国内外学者检索中英文文献。致力于提供最便捷和优质的服务体验。 Copyright © 2023 布克学术 All rights reserved.
京ICP备2023020795号-1
ghs 京公网安备 11010802042870号
Book学术文献互助
Book学术文献互助群
群 号:604180095
Book学术官方微信