Migrating Staghorn Calculus Secondary to a Renocolic Fistula: A Case Report and Review of the Literature.

Case Reports in Urology Pub Date : 2025-02-26 eCollection Date: 2025-01-01 DOI:10.1155/criu/1014938
Panagiota Fallon, Abhisekh Chatterjee, Nikolaos Chatzikrachtis, Dimitrios Sapountzis, Ivo Donkov, Samuel Bishara, Konstantinos Charitopoulos, Panagiotis Nikolinakos
{"title":"Migrating Staghorn Calculus Secondary to a Renocolic Fistula: A Case Report and Review of the Literature.","authors":"Panagiota Fallon, Abhisekh Chatterjee, Nikolaos Chatzikrachtis, Dimitrios Sapountzis, Ivo Donkov, Samuel Bishara, Konstantinos Charitopoulos, Panagiotis Nikolinakos","doi":"10.1155/criu/1014938","DOIUrl":null,"url":null,"abstract":"<p><p><b>Background:</b> Staghorn calculi are large renal stones which occupy most of the renal pelvis and are commonly associated with chronic or recurrent upper urinary tract infections (rUTIs). They often require more aggressive management, such as percutaneous nephrolithotomy (PCNL) or nephrectomy, although conservative management may be a safer option for select patients, particularly those with significant comorbidities. The presence of chronic stones or recurrent infections in the kidney increases the risk of complications, including fistula and abscess formation. <b>Case Presentation:</b> A 68-year-old female presented to the emergency department with signs of urosepsis. Computed tomography (CT) imaging revealed a left-sided staghorn calculus with concurrent smaller renal calculi. Due to worsening kidney function during hospitalization, repeat imaging was done, which revealed a staghorn calculus in the rectum. The staghorn calculus migrated to the colon through a renocolic fistula, and the patient subsequently passed the large staghorn through the rectum spontaneously. Conservative management was pursued due to her high surgical risk. Several months after discharge, she represented with signs of infection, and a large left-sided psoas abscess was identified. <b>Conclusion:</b> As the patient had severe comorbidities, our options to manage the staghorn calculi were very limited. She responded well to conservative management initially, but then was found to have another complication associated with the staghorn. It is acceptable to manage uncomplicated staghorn calculi conservatively in a small selection of patients, who are not good candidates for more invasive procedures, though in healthier and younger people, aggressive management is recommended to prevent further complications or deterioration. It is crucial to highlight the importance of early recognition and individualized treatment for renocolic fistulas, as timely intervention can significantly improve patient outcomes.</p>","PeriodicalId":30323,"journal":{"name":"Case Reports in Urology","volume":"2025 ","pages":"1014938"},"PeriodicalIF":0.0000,"publicationDate":"2025-02-26","publicationTypes":"Journal Article","fieldsOfStudy":null,"isOpenAccess":false,"openAccessPdf":"https://www.ncbi.nlm.nih.gov/pmc/articles/PMC11955063/pdf/","citationCount":"0","resultStr":null,"platform":"Semanticscholar","paperid":null,"PeriodicalName":"Case Reports in Urology","FirstCategoryId":"1085","ListUrlMain":"https://doi.org/10.1155/criu/1014938","RegionNum":0,"RegionCategory":null,"ArticlePicture":[],"TitleCN":null,"AbstractTextCN":null,"PMCID":null,"EPubDate":"2025/1/1 0:00:00","PubModel":"eCollection","JCR":"","JCRName":"","Score":null,"Total":0}
引用次数: 0

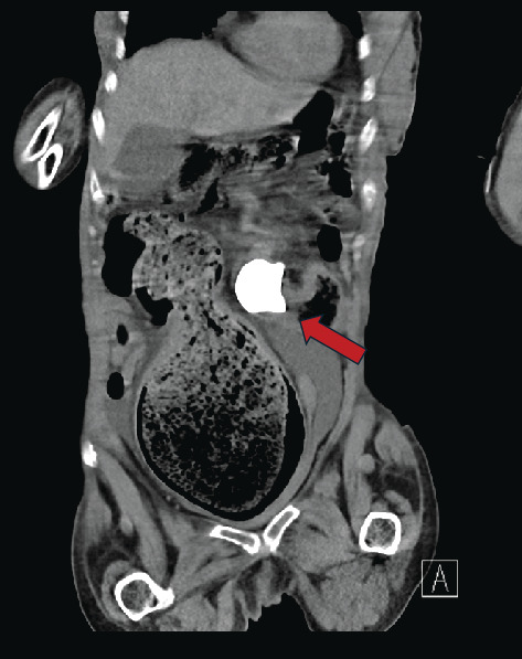
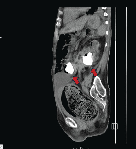
Abstract

Background: Staghorn calculi are large renal stones which occupy most of the renal pelvis and are commonly associated with chronic or recurrent upper urinary tract infections (rUTIs). They often require more aggressive management, such as percutaneous nephrolithotomy (PCNL) or nephrectomy, although conservative management may be a safer option for select patients, particularly those with significant comorbidities. The presence of chronic stones or recurrent infections in the kidney increases the risk of complications, including fistula and abscess formation. Case Presentation: A 68-year-old female presented to the emergency department with signs of urosepsis. Computed tomography (CT) imaging revealed a left-sided staghorn calculus with concurrent smaller renal calculi. Due to worsening kidney function during hospitalization, repeat imaging was done, which revealed a staghorn calculus in the rectum. The staghorn calculus migrated to the colon through a renocolic fistula, and the patient subsequently passed the large staghorn through the rectum spontaneously. Conservative management was pursued due to her high surgical risk. Several months after discharge, she represented with signs of infection, and a large left-sided psoas abscess was identified. Conclusion: As the patient had severe comorbidities, our options to manage the staghorn calculi were very limited. She responded well to conservative management initially, but then was found to have another complication associated with the staghorn. It is acceptable to manage uncomplicated staghorn calculi conservatively in a small selection of patients, who are not good candidates for more invasive procedures, though in healthier and younger people, aggressive management is recommended to prevent further complications or deterioration. It is crucial to highlight the importance of early recognition and individualized treatment for renocolic fistulas, as timely intervention can significantly improve patient outcomes.

Abstract Image

Abstract Image

Abstract Image

迁移性鹿角结石继发于肾结肠瘘:1例报告及文献回顾。
背景:鹿角结石是一种巨大的肾结石,它占据了肾盂的大部分,通常与慢性或复发性上尿路感染(rUTIs)有关。他们通常需要更积极的治疗,如经皮肾镜取石术(PCNL)或肾切除术,尽管保守治疗可能是一个更安全的选择,特别是那些有明显合并症的患者。肾脏慢性结石或复发性感染增加并发症的风险,包括瘘管和脓肿的形成。病例介绍:一名68岁女性因尿脓毒症就诊于急诊科。计算机断层扫描(CT)显示左侧鹿角状结石并伴有较小的肾结石。由于住院期间肾功能恶化,再次影像学检查发现直肠有鹿角结石。鹿角结石通过肾结肠瘘迁移到结肠,随后患者自发地将大鹿角结石通过直肠。手术风险高,采取保守治疗。出院几个月后,她表现出感染的迹象,并确定了一个大的左侧腰肌脓肿。结论:由于患者有严重的合并症,我们治疗鹿角型结石的选择非常有限。她最初对保守治疗反应良好,但随后被发现有另一个与鹿角有关的并发症。对于一小部分不适合采用侵入性手术的患者,保守治疗不复杂的鹿角型结石是可以接受的,但对于更健康和年轻的患者,建议采取积极治疗以防止进一步的并发症或恶化。强调早期识别和个体化治疗肾结肠瘘的重要性是至关重要的,因为及时干预可以显著改善患者的预后。
本文章由计算机程序翻译,如有差异,请以英文原文为准。
求助全文
约1分钟内获得全文 求助全文
来源期刊
自引率
0.00%
发文量
28
审稿时长
13 weeks
×
引用
GB/T 7714-2015
复制
MLA
复制
APA
复制
导出至
BibTeX EndNote RefMan NoteFirst NoteExpress
×
提示
您的信息不完整,为了账户安全,请先补充。
现在去补充
×
提示
您因"违规操作"
具体请查看互助需知
我知道了
×
提示
确定
请完成安全验证×
copy
已复制链接
快去分享给好友吧!
我知道了
右上角分享
点击右上角分享
0
联系我们:info@booksci.cn Book学术提供免费学术资源搜索服务,方便国内外学者检索中英文文献。致力于提供最便捷和优质的服务体验。 Copyright © 2023 布克学术 All rights reserved.
京ICP备2023020795号-1
ghs 京公网安备 11010802042870号
Book学术文献互助
Book学术文献互助群
群 号:604180095
Book学术官方微信