[Transesophageal echocardiography assessment of mitral valve for patients with atrial septal defects undergoing surgical repair].

Q2 Medicine
Yuxi Li, Xin Meng, Wei Bai, Liang Cao, Guomeng Jiang, Jianlong Yang, Xuezeng Xu, Liwen Liu
{"title":"[Transesophageal echocardiography assessment of mitral valve for patients with atrial septal defects undergoing surgical repair].","authors":"Yuxi Li, Xin Meng, Wei Bai, Liang Cao, Guomeng Jiang, Jianlong Yang, Xuezeng Xu, Liwen Liu","doi":"10.3724/zdxbyxb-2024-0409","DOIUrl":null,"url":null,"abstract":"<p><strong>Objectives: </strong>To investigate the application of transesophageal echocar-diography assessment for mitral valve in patients with atrial septal defects undergoing repair surgery.</p><p><strong>Methods: </strong>The study group comprised of thirty-two adult patients with atrial septal defect who underwent thoracoscopic repair surgery at the First Affiliated Hospital of the Air Force Medical University from March to September 2022. Two-dimensional and real-time three-dimensional transesophageal ultrasonography of the mitral valve were performed after anesthesia. The parameters of the mitral valve structure at the late diastolic and late systolic stages were recorded, including anteroposterior and left-right annular diameters, anterior and posterior valves lengths, the vertical distance from the coaptation point of leaflet zone 2 during systole to the annular plane (mitral valve coaptation depth) and mitral valve coaptation length. Data from 32 patients with normal intracardiac structure and no mitral valve regurgitation (control group) were also collected and compared with those of the study group. Concurrent mitral valvoplasty was performed during the atrial septal defect repair surgery for 7 patients with significant mitral valve structural abnormalities and 2 patients with significantly increased mitral regurgitation after cardiac resuscitation. The study group was followed up with transthoracic echocardiography for 2 years postoperatively.</p><p><strong>Results: </strong>In the study group, 26 (81.3%) patients had varying degrees of mitral valve morphological abnormalities. Among them, 10 (31.3%) patients had short mitral valve coaptation length or depth, 12 (37.5%) patients had closure point malposition, and 4 (12.5%) patients had different bulge of anterior and posterior leaflets. Compared with the control group, the study group had significantly smaller systolic and diastolic mitral left-right annular diameter, mitral posterior valves lengths, mitral coaptation length or depth (all <i>P</i><0.05), a higher pulmonary systemic flow ratio (<i>P</i><0.01), and a lower maximum blood flow velocity across the mitral valve (<i>P</i><0.05). After 2 years of follow-up, among the 9 patients who underwent concurrent mitral valvoplasty, the mitral valve maintained no or little regurgitation, and the average mitral valve pressure difference was less than 5 mmHg (1 mmHg=0.133 kPa). Among the 23 patients without concurrent mitral valvoplasty, 2 patients had moderate regurgitation 1 year after surgery, with a pulmonary/systemic flow ratio larger than 2.8.</p><p><strong>Conclusions: </strong>Patients with large atrial septal defects often have abnormal mitral valve structure. Therefore transesophageal echocardiography is recommended for mitral valve assessment during the surgery. If significant mitral valve structural abnormalities are detected, concurrent mitral valvoplasty is recommended.</p>","PeriodicalId":24007,"journal":{"name":"Zhejiang da xue xue bao. Yi xue ban = Journal of Zhejiang University. Medical sciences","volume":" ","pages":"191-198"},"PeriodicalIF":0.0000,"publicationDate":"2025-03-25","publicationTypes":"Journal Article","fieldsOfStudy":null,"isOpenAccess":false,"openAccessPdf":"https://www.ncbi.nlm.nih.gov/pmc/articles/PMC12062930/pdf/","citationCount":"0","resultStr":null,"platform":"Semanticscholar","paperid":null,"PeriodicalName":"Zhejiang da xue xue bao. Yi xue ban = Journal of Zhejiang University. Medical sciences","FirstCategoryId":"1085","ListUrlMain":"https://doi.org/10.3724/zdxbyxb-2024-0409","RegionNum":0,"RegionCategory":null,"ArticlePicture":[],"TitleCN":null,"AbstractTextCN":null,"PMCID":null,"EPubDate":"","PubModel":"","JCR":"Q2","JCRName":"Medicine","Score":null,"Total":0}
引用次数: 0

Abstract

Objectives: To investigate the application of transesophageal echocar-diography assessment for mitral valve in patients with atrial septal defects undergoing repair surgery.

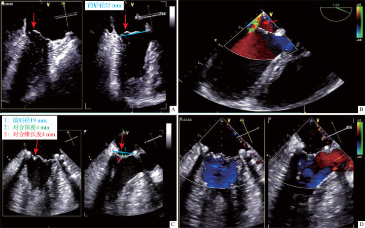
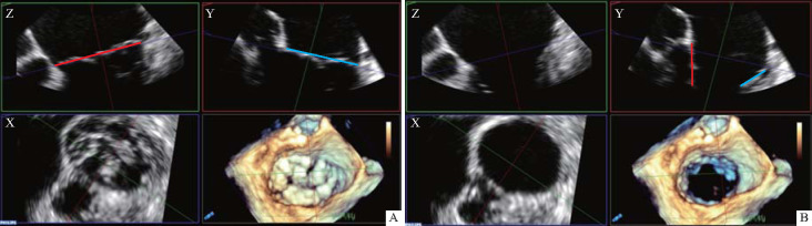
Methods: The study group comprised of thirty-two adult patients with atrial septal defect who underwent thoracoscopic repair surgery at the First Affiliated Hospital of the Air Force Medical University from March to September 2022. Two-dimensional and real-time three-dimensional transesophageal ultrasonography of the mitral valve were performed after anesthesia. The parameters of the mitral valve structure at the late diastolic and late systolic stages were recorded, including anteroposterior and left-right annular diameters, anterior and posterior valves lengths, the vertical distance from the coaptation point of leaflet zone 2 during systole to the annular plane (mitral valve coaptation depth) and mitral valve coaptation length. Data from 32 patients with normal intracardiac structure and no mitral valve regurgitation (control group) were also collected and compared with those of the study group. Concurrent mitral valvoplasty was performed during the atrial septal defect repair surgery for 7 patients with significant mitral valve structural abnormalities and 2 patients with significantly increased mitral regurgitation after cardiac resuscitation. The study group was followed up with transthoracic echocardiography for 2 years postoperatively.

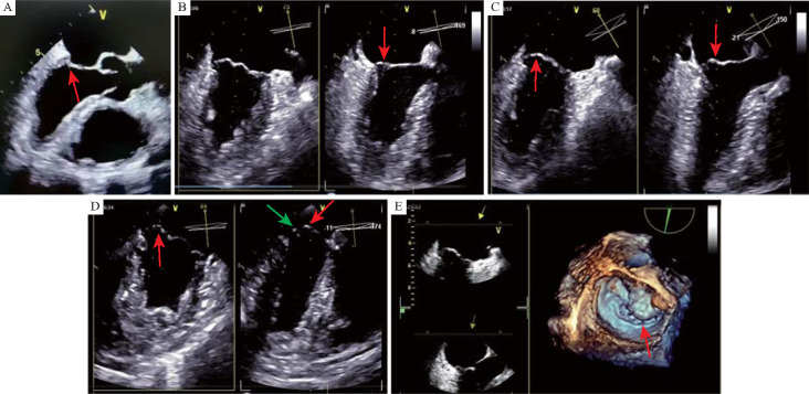
Results: In the study group, 26 (81.3%) patients had varying degrees of mitral valve morphological abnormalities. Among them, 10 (31.3%) patients had short mitral valve coaptation length or depth, 12 (37.5%) patients had closure point malposition, and 4 (12.5%) patients had different bulge of anterior and posterior leaflets. Compared with the control group, the study group had significantly smaller systolic and diastolic mitral left-right annular diameter, mitral posterior valves lengths, mitral coaptation length or depth (all P<0.05), a higher pulmonary systemic flow ratio (P<0.01), and a lower maximum blood flow velocity across the mitral valve (P<0.05). After 2 years of follow-up, among the 9 patients who underwent concurrent mitral valvoplasty, the mitral valve maintained no or little regurgitation, and the average mitral valve pressure difference was less than 5 mmHg (1 mmHg=0.133 kPa). Among the 23 patients without concurrent mitral valvoplasty, 2 patients had moderate regurgitation 1 year after surgery, with a pulmonary/systemic flow ratio larger than 2.8.

Conclusions: Patients with large atrial septal defects often have abnormal mitral valve structure. Therefore transesophageal echocardiography is recommended for mitral valve assessment during the surgery. If significant mitral valve structural abnormalities are detected, concurrent mitral valvoplasty is recommended.

Abstract Image

Abstract Image

Abstract Image

经食管超声心动图对房间隔缺损手术修复患者二尖瓣的评价。
目的:探讨经食管超声心动图评价二尖瓣在房间隔缺损修复术中的应用。方法:收集2022年3月至9月在空军军医大学第一附属医院行胸腔镜下房间隔缺损修补术的成人患者32例(研究组)。麻醉后行经食管二尖瓣二维及实时三维超声检查。记录舒张晚期和收缩期二尖瓣结构参数,包括前后、左右环直径、前后瓣长度、收缩期小叶2区吻合点到环平面的垂直距离(二尖瓣吻合深度)、二尖瓣吻合长度。同时收集32例心内结构正常、无二尖瓣返流的患者(对照组)的上述数据,并与研究组进行比较。对7例二尖瓣结构明显异常及2例心脏复苏后二尖瓣返流明显加重的患者在房间隔缺损修复术中行同期二尖瓣成形术。术后随访2年经胸超声心动图。结果:研究组有26例(81.3%)患者有不同程度的二尖瓣形态异常,其中10例(31.3%)患者二尖瓣闭合长度或闭合深度短,12例(37.5%)患者有闭合点错位,4例(12.5%)患者有前后小叶不同程度的凸出。与对照组相比,研究组的收缩期和舒张期二尖瓣左右环直径、二尖瓣后瓣长度、二尖瓣覆盖长度或覆盖深度均明显小于对照组(均为ppp)。房间隔缺损较大的患者常合并二尖瓣结构异常,术中建议经食管超声心动图对二尖瓣进行评估,如有明显的二尖瓣结构异常,可同时行二尖瓣成形术。
本文章由计算机程序翻译,如有差异,请以英文原文为准。
求助全文
约1分钟内获得全文 求助全文
来源期刊
CiteScore
3.80
自引率
0.00%
发文量
67
×
引用
GB/T 7714-2015
复制
MLA
复制
APA
复制
导出至
BibTeX EndNote RefMan NoteFirst NoteExpress
×
提示
您的信息不完整,为了账户安全,请先补充。
现在去补充
×
提示
您因"违规操作"
具体请查看互助需知
我知道了
×
提示
确定
请完成安全验证×
copy
已复制链接
快去分享给好友吧!
我知道了
右上角分享
点击右上角分享
0
联系我们:info@booksci.cn Book学术提供免费学术资源搜索服务,方便国内外学者检索中英文文献。致力于提供最便捷和优质的服务体验。 Copyright © 2023 布克学术 All rights reserved.
京ICP备2023020795号-1
ghs 京公网安备 11010802042870号
Book学术文献互助
Book学术文献互助群
群 号:604180095
Book学术官方微信