Safety Evaluation of Fermented and Nonfermented Moringa oleifera Seeds in Healthy Albino Rats: Biochemical, Haematological, and Histological Studies.

IF 3.1 Q2 FOOD SCIENCE & TECHNOLOGY
International Journal of Food Science Pub Date : 2025-03-24 eCollection Date: 2025-01-01 DOI:10.1155/ijfo/2694100
Foluso Olutope Adetuyi, Emmanuel Sina Akintimehin, Kayode Olayele Karigidi, Abimbola Oluwatayo Orisawayi
{"title":"Safety Evaluation of Fermented and Nonfermented <i>Moringa oleifera</i> Seeds in Healthy Albino Rats: Biochemical, Haematological, and Histological Studies.","authors":"Foluso Olutope Adetuyi, Emmanuel Sina Akintimehin, Kayode Olayele Karigidi, Abimbola Oluwatayo Orisawayi","doi":"10.1155/ijfo/2694100","DOIUrl":null,"url":null,"abstract":"<p><p>Fermentation preserves and enhances food properties, but consuming locally fermented foods can cause health issues like flatulence, gastrointestinal disorders, kidney stones, and sometimes death. This study evaluated the biochemical, haematological, and histological effects of supplementing diets with fermented <i>Moringa oleifera</i> seed (FMS) and nonfermented <i>Moringa oleifera</i> seed (NFMS) in healthy albino rats. Male rats were fed diets containing 10%, 20%, and 30% FMS and NFMS for 14 days. No significant changes were observed in body weight or organ/body weight ratios. However, platelet count increased significantly (<i>p</i> < 0.05) at higher supplementation levels, suggesting enhanced haemostatic activity. While haematological parameters remained stable, NFMS at 20% and 30% increased urea and creatinine levels, indicating potential renal stress. Histological analysis showed mild alterations at higher supplementation levels, more pronounced in NFMS-fed rats. Fermentation mitigated antinutrient effects, enhancing safety. FMS and NFMS are safe up to 20% inclusion, with potential applications in human nutrition and functional food development.</p>","PeriodicalId":14125,"journal":{"name":"International Journal of Food Science","volume":"2025 ","pages":"2694100"},"PeriodicalIF":3.1000,"publicationDate":"2025-03-24","publicationTypes":"Journal Article","fieldsOfStudy":null,"isOpenAccess":false,"openAccessPdf":"https://www.ncbi.nlm.nih.gov/pmc/articles/PMC11957865/pdf/","citationCount":"0","resultStr":null,"platform":"Semanticscholar","paperid":null,"PeriodicalName":"International Journal of Food Science","FirstCategoryId":"1085","ListUrlMain":"https://doi.org/10.1155/ijfo/2694100","RegionNum":0,"RegionCategory":null,"ArticlePicture":[],"TitleCN":null,"AbstractTextCN":null,"PMCID":null,"EPubDate":"2025/1/1 0:00:00","PubModel":"eCollection","JCR":"Q2","JCRName":"FOOD SCIENCE & TECHNOLOGY","Score":null,"Total":0}
引用次数: 0

Abstract

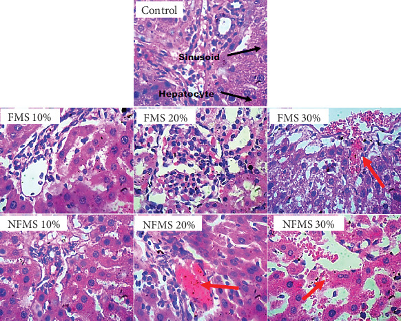
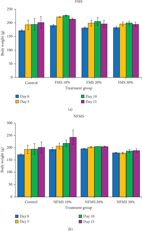
Fermentation preserves and enhances food properties, but consuming locally fermented foods can cause health issues like flatulence, gastrointestinal disorders, kidney stones, and sometimes death. This study evaluated the biochemical, haematological, and histological effects of supplementing diets with fermented Moringa oleifera seed (FMS) and nonfermented Moringa oleifera seed (NFMS) in healthy albino rats. Male rats were fed diets containing 10%, 20%, and 30% FMS and NFMS for 14 days. No significant changes were observed in body weight or organ/body weight ratios. However, platelet count increased significantly (p < 0.05) at higher supplementation levels, suggesting enhanced haemostatic activity. While haematological parameters remained stable, NFMS at 20% and 30% increased urea and creatinine levels, indicating potential renal stress. Histological analysis showed mild alterations at higher supplementation levels, more pronounced in NFMS-fed rats. Fermentation mitigated antinutrient effects, enhancing safety. FMS and NFMS are safe up to 20% inclusion, with potential applications in human nutrition and functional food development.

Abstract Image

Abstract Image

Abstract Image

发酵和非发酵辣木种子对健康白化大鼠的安全性评价:生化、血液学和组织学研究。
发酵可以保存和增强食物的特性,但食用当地发酵的食物会导致肠胃胀气、胃肠道紊乱、肾结石等健康问题,有时甚至会导致死亡。本研究评估了添加发酵辣木籽(FMS)和非发酵辣木籽(NFMS)对健康白化大鼠的生化、血液学和组织学的影响。雄性大鼠分别饲喂含有10%、20%和30% FMS和NFMS的日粮14 d。体重或脏器/体重比未见明显变化。然而,在高添加水平下,血小板计数显著增加(p < 0.05),表明止血活性增强。虽然血液学参数保持稳定,但20%和30%的NFMS增加了尿素和肌酐水平,表明潜在的肾脏应激。组织学分析显示,在较高的补充水平下,有轻微的变化,在nfms喂养的大鼠中更为明显。发酵减轻了抗营养作用,提高了安全性。FMS和NFMS的安全含量高达20%,在人类营养和功能食品开发中具有潜在的应用前景。
本文章由计算机程序翻译,如有差异,请以英文原文为准。
求助全文
约1分钟内获得全文 求助全文
来源期刊
International Journal of Food Science
International Journal of Food Science Agricultural and Biological Sciences-Food Science
CiteScore
6.20
自引率
2.50%
发文量
105
审稿时长
11 weeks
期刊介绍: International Journal of Food Science is a peer-reviewed, Open Access journal that publishes research and review articles in all areas of food science. As a multidisciplinary journal, articles discussing all aspects of food science will be considered, including, but not limited to: enhancing shelf life, food deterioration, food engineering, food handling, food processing, food quality, food safety, microbiology, and nutritional research. The journal aims to provide a valuable resource for food scientists, food producers, food retailers, nutritionists, the public health sector, and relevant governmental and non-governmental agencies.
×
引用
GB/T 7714-2015
复制
MLA
复制
APA
复制
导出至
BibTeX EndNote RefMan NoteFirst NoteExpress
×
提示
您的信息不完整,为了账户安全,请先补充。
现在去补充
×
提示
您因"违规操作"
具体请查看互助需知
我知道了
×
提示
确定
请完成安全验证×
copy
已复制链接
快去分享给好友吧!
我知道了
右上角分享
点击右上角分享
0
联系我们:info@booksci.cn Book学术提供免费学术资源搜索服务,方便国内外学者检索中英文文献。致力于提供最便捷和优质的服务体验。 Copyright © 2023 布克学术 All rights reserved.
京ICP备2023020795号-1
ghs 京公网安备 11010802042870号
Book学术文献互助
Book学术文献互助群
群 号:604180095
Book学术官方微信