Antibiotic-Resistant Salmonella Enteritidis in Raw Chicken Meat of Dhaka City, Bangladesh.

IF 3.2 Q3 MICROBIOLOGY
International Journal of Microbiology Pub Date : 2025-03-23 eCollection Date: 2025-01-01 DOI:10.1155/ijm/5654730
Shah Jungy Ibna Karim, K B M Saiful Islam, M Rubaiyat Adnan, Md Abir Hassan Sadi, Mahfuzul Islam
{"title":"Antibiotic-Resistant <i>Salmonella</i> Enteritidis in Raw Chicken Meat of Dhaka City, Bangladesh.","authors":"Shah Jungy Ibna Karim, K B M Saiful Islam, M Rubaiyat Adnan, Md Abir Hassan Sadi, Mahfuzul Islam","doi":"10.1155/ijm/5654730","DOIUrl":null,"url":null,"abstract":"<p><p>Foodborne zoonotic <i>Salmonella</i> is transmitted through contaminated meat, milk, and eggs. This study is aimed at investigating the antimicrobial resistance (AMR) profile of <i>Salmonella</i> Enteritidis isolated from raw chicken meat in Dhaka City, Bangladesh. Two hundred raw chicken meat samples were aseptically collected from 20 retail markets located in Dhaka City, and the isolated <i>Salmonella</i> species were identified based on their morphological, cultural, biochemical, and molecular characterization by polymerase chain reaction (PCR). The primer sets of the <i>Inv</i>A and Enteritidis-specific STM3098 gene were used for the PCR detection of <i>Salmonella</i> species and <i>S.</i> Enteritidis, respectively. The isolates were then screened for AMR phenotypically and the presence of the tetracycline resistance (<i>Tet</i>A) gene. The prevalence of <i>Salmonella</i> species and <i>S.</i> Enteritidis was 22.5% (<i>n</i> = 45/200) and 18.5% (<i>n</i> = 37/200), respectively. However, the prevalence was constant across all the sample markets (<i>p</i> > 0.05). Tetracycline, amoxicillin, and ampicillin resistance was phenotypically present in all isolates (100%). Furthermore, approximately 70%, 49%, and 30% of <i>S.</i> Enteritidis showed resistance against erythromycin, amoxicillin/clavulanic acid, and ciprofloxacin, respectively. However, <i>S.</i> Enteritidis were sensitive to gentamicin (86.5%), meropenem (64.9%), ciprofloxacin (62.2%), and ceftriaxone (59.5%). The <i>Tet</i>A gene, which causes AMR against tetracycline, was shown to be present in all phenotypically resistant <i>Salmonella</i> species. Multiple antibiotic resistance index (MARI) ranged between 0.3 and 0.8. Overall, multidrug resistant (MDR) <i>Salmonella</i> Enteritidis emerged in the chicken meat along with the presence of a resistance gene that is a threat to human health. Therefore, action must be taken to stop the spread of AMR.</p>","PeriodicalId":14098,"journal":{"name":"International Journal of Microbiology","volume":"2025 ","pages":"5654730"},"PeriodicalIF":3.2000,"publicationDate":"2025-03-23","publicationTypes":"Journal Article","fieldsOfStudy":null,"isOpenAccess":false,"openAccessPdf":"https://www.ncbi.nlm.nih.gov/pmc/articles/PMC11955290/pdf/","citationCount":"0","resultStr":null,"platform":"Semanticscholar","paperid":null,"PeriodicalName":"International Journal of Microbiology","FirstCategoryId":"1085","ListUrlMain":"https://doi.org/10.1155/ijm/5654730","RegionNum":0,"RegionCategory":null,"ArticlePicture":[],"TitleCN":null,"AbstractTextCN":null,"PMCID":null,"EPubDate":"2025/1/1 0:00:00","PubModel":"eCollection","JCR":"Q3","JCRName":"MICROBIOLOGY","Score":null,"Total":0}
引用次数: 0

Abstract

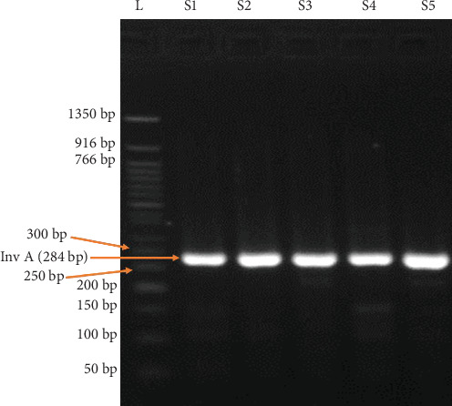
Foodborne zoonotic Salmonella is transmitted through contaminated meat, milk, and eggs. This study is aimed at investigating the antimicrobial resistance (AMR) profile of Salmonella Enteritidis isolated from raw chicken meat in Dhaka City, Bangladesh. Two hundred raw chicken meat samples were aseptically collected from 20 retail markets located in Dhaka City, and the isolated Salmonella species were identified based on their morphological, cultural, biochemical, and molecular characterization by polymerase chain reaction (PCR). The primer sets of the InvA and Enteritidis-specific STM3098 gene were used for the PCR detection of Salmonella species and S. Enteritidis, respectively. The isolates were then screened for AMR phenotypically and the presence of the tetracycline resistance (TetA) gene. The prevalence of Salmonella species and S. Enteritidis was 22.5% (n = 45/200) and 18.5% (n = 37/200), respectively. However, the prevalence was constant across all the sample markets (p > 0.05). Tetracycline, amoxicillin, and ampicillin resistance was phenotypically present in all isolates (100%). Furthermore, approximately 70%, 49%, and 30% of S. Enteritidis showed resistance against erythromycin, amoxicillin/clavulanic acid, and ciprofloxacin, respectively. However, S. Enteritidis were sensitive to gentamicin (86.5%), meropenem (64.9%), ciprofloxacin (62.2%), and ceftriaxone (59.5%). The TetA gene, which causes AMR against tetracycline, was shown to be present in all phenotypically resistant Salmonella species. Multiple antibiotic resistance index (MARI) ranged between 0.3 and 0.8. Overall, multidrug resistant (MDR) Salmonella Enteritidis emerged in the chicken meat along with the presence of a resistance gene that is a threat to human health. Therefore, action must be taken to stop the spread of AMR.

Abstract Image

Abstract Image

Abstract Image

孟加拉国达卡市生鸡肉中的耐抗生素肠炎沙门氏菌。
食源性人畜共患病沙门氏菌通过受污染的肉类、牛奶和鸡蛋传播。本研究旨在调查从孟加拉国达卡市生鸡肉中分离的肠炎沙门氏菌的抗微生物药物耐药性(AMR)谱。从达卡市20个零售市场无菌采集200份生鸡肉样品,采用聚合酶链反应(PCR)对分离的沙门氏菌进行形态、培养、生化和分子鉴定。利用InvA和enterititis -specific STM3098基因引物分别对沙门氏菌和肠炎沙门氏菌进行PCR检测。然后对分离株进行AMR表型筛选和四环素耐药(TetA)基因的存在。沙门氏菌和肠炎沙门氏菌的感染率分别为22.5% (n = 45/200)和18.5% (n = 37/200)。然而,在所有样本市场中,患病率是恒定的(p > 0.05)。所有分离株表型上均存在四环素、阿莫西林和氨苄西林耐药(100%)。此外,大约70%、49%和30%的肠炎沙门氏菌分别对红霉素、阿莫西林/克拉维酸和环丙沙星耐药。肠炎沙门氏菌对庆大霉素(86.5%)、美罗培南(64.9%)、环丙沙星(62.2%)、头孢曲松(59.5%)敏感。TetA基因引起对四环素的耐药性,被证明存在于所有具有表型抗性的沙门氏菌物种中。多重抗生素耐药指数(MARI)在0.3 ~ 0.8之间。总的来说,鸡肉中出现了多药耐药肠炎沙门氏菌,同时还存在一种对人类健康构成威胁的耐药基因。因此,必须采取行动阻止抗生素耐药性的蔓延。
本文章由计算机程序翻译,如有差异,请以英文原文为准。
求助全文
约1分钟内获得全文 求助全文
来源期刊
CiteScore
7.90
自引率
0.00%
发文量
57
审稿时长
13 weeks
期刊介绍: International Journal of Microbiology is a peer-reviewed, Open Access journal that publishes original research articles, review articles, and clinical studies on microorganisms and their interaction with hosts and the environment. The journal covers all microbes, including bacteria, fungi, viruses, archaea, and protozoa. Basic science will be considered, as well as medical and applied research.
×
引用
GB/T 7714-2015
复制
MLA
复制
APA
复制
导出至
BibTeX EndNote RefMan NoteFirst NoteExpress
×
提示
您的信息不完整,为了账户安全,请先补充。
现在去补充
×
提示
您因"违规操作"
具体请查看互助需知
我知道了
×
提示
确定
请完成安全验证×
copy
已复制链接
快去分享给好友吧!
我知道了
右上角分享
点击右上角分享
0
联系我们:info@booksci.cn Book学术提供免费学术资源搜索服务,方便国内外学者检索中英文文献。致力于提供最便捷和优质的服务体验。 Copyright © 2023 布克学术 All rights reserved.
京ICP备2023020795号-1
ghs 京公网安备 11010802042870号
Book学术文献互助
Book学术文献互助群
群 号:604180095
Book学术官方微信