Immune checkpoint inhibitor restores daily function in patient with microsatellite instability (MSI)-high advanced endometrial cancer and poor performance status.

IF 0.5 Q4 ONCOLOGY
International Cancer Conference Journal Pub Date : 2025-02-14 eCollection Date: 2025-04-01 DOI:10.1007/s13691-025-00752-3
Ayaka Matsui, Taichi Yoshida, Yuya Takahashi, Koji Fukuda, Kazuhiro Shimazu, Daiki Taguchi, Hanae Shinozaki, Naoaki Kodama, Shunsuke Kato, Hironori Waki, Hiroshi Nanjo, Hiroyuki Shibata
{"title":"Immune checkpoint inhibitor restores daily function in patient with microsatellite instability (MSI)-high advanced endometrial cancer and poor performance status.","authors":"Ayaka Matsui, Taichi Yoshida, Yuya Takahashi, Koji Fukuda, Kazuhiro Shimazu, Daiki Taguchi, Hanae Shinozaki, Naoaki Kodama, Shunsuke Kato, Hironori Waki, Hiroshi Nanjo, Hiroyuki Shibata","doi":"10.1007/s13691-025-00752-3","DOIUrl":null,"url":null,"abstract":"<p><p>The immune checkpoint system suppresses T-cell activity. Unlike cytotoxic anticancer drugs that directly kill cells, immune checkpoint inhibitors (ICIs) are generally safer by stimulating tumor immunity. However, most clinical trials require patients to have a better performance status (PS), leaving limited evidence for those with poorer PS. In practice, patients may be classified with poor PS due to tumor-induced pain and motor dysfunction, even if major organs remain functional. Real-world data on non-small cell lung cancer has shown no safety difference between patients with PS 3/4 and those with lower PS. Approximately 20-30% of endometrial cancer cases show microsatellite instability-high (MSI-high), the highest among common malignancies. A 46-year-old patient with advanced, recurrent endometrial cancer resistant to standard chemotherapy, and PS of 4 from severe pelvic pain, was diagnosed with MSI-high. Pembrolizumab was initiated and continued for 19 courses, after which lesions had disappeared or calcified, leading to drug discontinuation. Now, 4 and a half years post-treatment, she has regained independent mobility and returned to work, and her PS has improved to approximately 1. Side effects included Grade 2 or lower thyroiditis, hypothyroidism, and hypoadrenalism, manageable with hormone replacement therapy and temporary pembrolizumab suspension. This case underscores the need to test for MSI-high/mismatch repair deficiency in endometrial cancer and to consider ICI therapy in patients with poor PS but no major organ dysfunction. In such cases, ICI can rapidly improve overall condition, a phenomenon known as a Lazarus-type response, as seen in other cancers such as non-small cell lung cancer.</p><p><strong>Supplementary information: </strong>The online version contains supplementary material available at 10.1007/s13691-025-00752-3.</p>","PeriodicalId":13703,"journal":{"name":"International Cancer Conference Journal","volume":"14 2","pages":"163-170"},"PeriodicalIF":0.5000,"publicationDate":"2025-02-14","publicationTypes":"Journal Article","fieldsOfStudy":null,"isOpenAccess":false,"openAccessPdf":"https://www.ncbi.nlm.nih.gov/pmc/articles/PMC11950546/pdf/","citationCount":"0","resultStr":null,"platform":"Semanticscholar","paperid":null,"PeriodicalName":"International Cancer Conference Journal","FirstCategoryId":"1085","ListUrlMain":"https://doi.org/10.1007/s13691-025-00752-3","RegionNum":0,"RegionCategory":null,"ArticlePicture":[],"TitleCN":null,"AbstractTextCN":null,"PMCID":null,"EPubDate":"2025/4/1 0:00:00","PubModel":"eCollection","JCR":"Q4","JCRName":"ONCOLOGY","Score":null,"Total":0}
引用次数: 0

Abstract

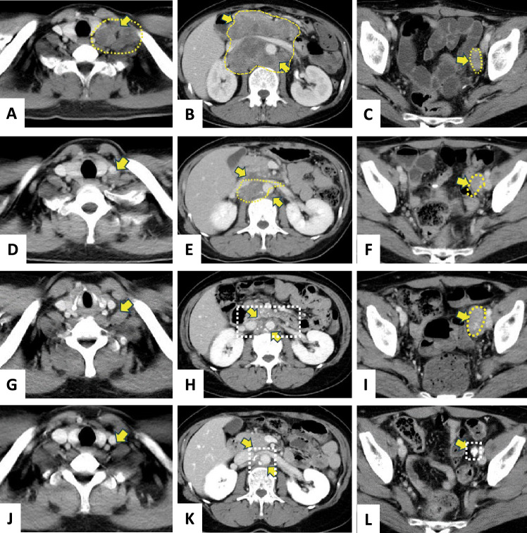
The immune checkpoint system suppresses T-cell activity. Unlike cytotoxic anticancer drugs that directly kill cells, immune checkpoint inhibitors (ICIs) are generally safer by stimulating tumor immunity. However, most clinical trials require patients to have a better performance status (PS), leaving limited evidence for those with poorer PS. In practice, patients may be classified with poor PS due to tumor-induced pain and motor dysfunction, even if major organs remain functional. Real-world data on non-small cell lung cancer has shown no safety difference between patients with PS 3/4 and those with lower PS. Approximately 20-30% of endometrial cancer cases show microsatellite instability-high (MSI-high), the highest among common malignancies. A 46-year-old patient with advanced, recurrent endometrial cancer resistant to standard chemotherapy, and PS of 4 from severe pelvic pain, was diagnosed with MSI-high. Pembrolizumab was initiated and continued for 19 courses, after which lesions had disappeared or calcified, leading to drug discontinuation. Now, 4 and a half years post-treatment, she has regained independent mobility and returned to work, and her PS has improved to approximately 1. Side effects included Grade 2 or lower thyroiditis, hypothyroidism, and hypoadrenalism, manageable with hormone replacement therapy and temporary pembrolizumab suspension. This case underscores the need to test for MSI-high/mismatch repair deficiency in endometrial cancer and to consider ICI therapy in patients with poor PS but no major organ dysfunction. In such cases, ICI can rapidly improve overall condition, a phenomenon known as a Lazarus-type response, as seen in other cancers such as non-small cell lung cancer.

Supplementary information: The online version contains supplementary material available at 10.1007/s13691-025-00752-3.

Abstract Image

Abstract Image

Abstract Image

免疫检查点抑制剂恢复微卫星不稳定(MSI)患者的日常功能-高晚期子宫内膜癌和不良状态。
免疫检查点系统抑制t细胞的活性。与直接杀死细胞的细胞毒性抗癌药物不同,免疫检查点抑制剂(ICIs)通常通过刺激肿瘤免疫而更安全。然而,大多数临床试验要求患者具有较好的表现状态(performance status, PS),因此对于表现较差的患者,证据有限。在实践中,即使主要器官功能正常,患者也可能因肿瘤引起的疼痛和运动功能障碍而被划分为表现较差的PS。非小细胞肺癌的实际数据显示,PS 3/4和PS较低的患者之间没有安全性差异。大约20-30%的子宫内膜癌病例显示微卫星不稳定性高(MSI-high),在常见恶性肿瘤中最高。一名46岁晚期复发性子宫内膜癌患者,对标准化疗耐药,严重骨盆疼痛的PS为4分,被诊断为msi高。Pembrolizumab开始并持续19个疗程,之后病变消失或钙化,导致停药。现在,经过4年半的治疗,她已经恢复了独立行动能力并重返工作岗位,她的PS已经提高到大约1。副作用包括2级或更低级别甲状腺炎、甲状腺功能减退和肾上腺素减退,可通过激素替代治疗和临时派姆单抗暂停治疗来控制。本病例强调需要检测子宫内膜癌的msi高/错配修复缺陷,并考虑对PS差但无主要器官功能障碍的患者进行ICI治疗。在这种情况下,ICI可以迅速改善整体状况,这种现象被称为拉撒路型反应,就像在其他癌症(如非小细胞肺癌)中看到的那样。补充信息:在线版本包含补充资料,可在10.1007/s13691-025-00752-3获得。
本文章由计算机程序翻译,如有差异,请以英文原文为准。
求助全文
约1分钟内获得全文 求助全文
来源期刊
自引率
14.30%
发文量
57
期刊介绍: This online-only journal publishes original case reports on all types of cancer. In particular, we welcome not only case reports of educational value in the diagnosis and treatment of cancers, but also reports on molecularly analyzed cancer cases, including gene mutations, gene fusions, gene expression, and changes in copy number, regardless of their known clinical significance. Assessing the molecular analysis of a tumor usually requires a “cancer conference” in which experts from various fields discuss it. Even if the authors and their respective “cancer conference” were unable to determine the clinical significance of molecular changes at the time of submission and publication, their data may provide evidence that will help the scientific community develop precision medicine solutions in the future. We welcome case reports with reviews of the literature on similar cases, as they are more useful and valuable to readers than are reports of rare cases. International Cancer Conference Journal is the official publication of the Japan Society of Clinical Oncology (JSCO). - Presents an online-only collection of original case reports on all types of cancer - In particular, welcomes molecularly analyzed cancer cases - The Official Publication of the Japan Society of Clinical Oncology (JSCO)
×
引用
GB/T 7714-2015
复制
MLA
复制
APA
复制
导出至
BibTeX EndNote RefMan NoteFirst NoteExpress
×
提示
您的信息不完整,为了账户安全,请先补充。
现在去补充
×
提示
您因"违规操作"
具体请查看互助需知
我知道了
×
提示
确定
请完成安全验证×
copy
已复制链接
快去分享给好友吧!
我知道了
右上角分享
点击右上角分享
0
联系我们:info@booksci.cn Book学术提供免费学术资源搜索服务,方便国内外学者检索中英文文献。致力于提供最便捷和优质的服务体验。 Copyright © 2023 布克学术 All rights reserved.
京ICP备2023020795号-1
ghs 京公网安备 11010802042870号
Book学术文献互助
Book学术文献互助群
群 号:604180095
Book学术官方微信