An Autopsy Case of Varicella-zoster Virus Uveitis Progressing to Vasculopathy with Multiple Cerebral Infarctions.

IF 1.1 4区 医学 Q3 MEDICINE, GENERAL & INTERNAL
Internal Medicine Pub Date : 2025-09-15 Epub Date: 2025-03-29 DOI:10.2169/internalmedicine.4511-24
Hiroaki Ando, Yuichi Kawagashira, Jun-Ichi Niwa, Akio Akagi, Manabu Doyu
{"title":"An Autopsy Case of Varicella-zoster Virus Uveitis Progressing to Vasculopathy with Multiple Cerebral Infarctions.","authors":"Hiroaki Ando, Yuichi Kawagashira, Jun-Ichi Niwa, Akio Akagi, Manabu Doyu","doi":"10.2169/internalmedicine.4511-24","DOIUrl":null,"url":null,"abstract":"<p><p>We herein report an autopsy case of multiple cerebral infarctions caused by varicella-zoster virus (VZV) vasculopathy. A 60-year-old man, previously diagnosed with VZV uveitis, subsequently developed cerebral infarction with multiple cerebral vessel stenoses. Based on the results of a polymerase chain reaction test of cerebrospinal fluid, the patient was diagnosed with VZV vasculopathy. Despite treatment with acyclovir and prednisolone, the vascular stenosis progressed and became complicated by extensive cerebral infarctions. Upon autopsy, inflammatory cell infiltration was pathologically observed in the vessel walls of the anterior and middle cerebral arteries, consistent with the magnetic resonance imaging findings.</p>","PeriodicalId":13719,"journal":{"name":"Internal Medicine","volume":" ","pages":"2774-2778"},"PeriodicalIF":1.1000,"publicationDate":"2025-09-15","publicationTypes":"Journal Article","fieldsOfStudy":null,"isOpenAccess":false,"openAccessPdf":"https://www.ncbi.nlm.nih.gov/pmc/articles/PMC12508607/pdf/","citationCount":"0","resultStr":null,"platform":"Semanticscholar","paperid":null,"PeriodicalName":"Internal Medicine","FirstCategoryId":"3","ListUrlMain":"https://doi.org/10.2169/internalmedicine.4511-24","RegionNum":4,"RegionCategory":"医学","ArticlePicture":[],"TitleCN":null,"AbstractTextCN":null,"PMCID":null,"EPubDate":"2025/3/29 0:00:00","PubModel":"Epub","JCR":"Q3","JCRName":"MEDICINE, GENERAL & INTERNAL","Score":null,"Total":0}
引用次数: 0

Abstract

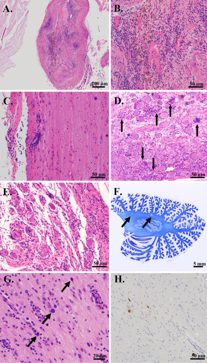
We herein report an autopsy case of multiple cerebral infarctions caused by varicella-zoster virus (VZV) vasculopathy. A 60-year-old man, previously diagnosed with VZV uveitis, subsequently developed cerebral infarction with multiple cerebral vessel stenoses. Based on the results of a polymerase chain reaction test of cerebrospinal fluid, the patient was diagnosed with VZV vasculopathy. Despite treatment with acyclovir and prednisolone, the vascular stenosis progressed and became complicated by extensive cerebral infarctions. Upon autopsy, inflammatory cell infiltration was pathologically observed in the vessel walls of the anterior and middle cerebral arteries, consistent with the magnetic resonance imaging findings.

Abstract Image

Abstract Image

水痘带状疱疹病毒葡萄膜炎进展为血管病变伴多发性脑梗死的尸检一例。
我们在此报告一例由水痘-带状疱疹病毒(VZV)血管病变引起的多发性脑梗死的尸检病例。一名60岁男子,先前诊断为VZV葡萄膜炎,随后发展为脑梗死并多发性脑血管狭窄。根据脑脊液聚合酶链反应试验结果,诊断为VZV血管病变。尽管用阿昔洛韦和强的松龙治疗,血管狭窄进展并并发广泛的脑梗死。尸检时,病理观察到大脑前动脉和中动脉血管壁有炎症细胞浸润,与磁共振成像结果一致。
本文章由计算机程序翻译,如有差异,请以英文原文为准。
求助全文
约1分钟内获得全文 求助全文
来源期刊
Internal Medicine
Internal Medicine 医学-医学:内科
CiteScore
1.90
自引率
8.30%
发文量
0
审稿时长
2.2 months
期刊介绍: Internal Medicine is an open-access online only journal published monthly by the Japanese Society of Internal Medicine. Articles must be prepared in accordance with "The Uniform Requirements for Manuscripts Submitted to Biomedical Journals (see Annals of Internal Medicine 108: 258-265, 1988), must be contributed solely to the Internal Medicine, and become the property of the Japanese Society of Internal Medicine. Statements contained therein are the responsibility of the author(s). The Society reserves copyright and renewal on all published material and such material may not be reproduced in any form without the written permission of the Society.
×
引用
GB/T 7714-2015
复制
MLA
复制
APA
复制
导出至
BibTeX EndNote RefMan NoteFirst NoteExpress
×
提示
您的信息不完整,为了账户安全,请先补充。
现在去补充
×
提示
您因"违规操作"
具体请查看互助需知
我知道了
×
提示
确定
请完成安全验证×
copy
已复制链接
快去分享给好友吧!
我知道了
右上角分享
点击右上角分享
0
联系我们:info@booksci.cn Book学术提供免费学术资源搜索服务,方便国内外学者检索中英文文献。致力于提供最便捷和优质的服务体验。 Copyright © 2023 布克学术 All rights reserved.
京ICP备2023020795号-1
ghs 京公网安备 11010802042870号
Book学术文献互助
Book学术文献互助群
群 号:604180095
Book学术官方微信