Exceptional response to brigatinib following alectinib failure in a patient with ALK fusion-positive duodenal carcinoma.

IF 0.5 Q4 ONCOLOGY
International Cancer Conference Journal Pub Date : 2025-02-10 eCollection Date: 2025-04-01 DOI:10.1007/s13691-025-00745-2
Akinori Sasaki, Sayaka Chihara, Risa Okamoto, Takayuki Yoshino, Yoshiaki Nakamura
{"title":"Exceptional response to brigatinib following alectinib failure in a patient with <i>ALK</i> fusion-positive duodenal carcinoma.","authors":"Akinori Sasaki, Sayaka Chihara, Risa Okamoto, Takayuki Yoshino, Yoshiaki Nakamura","doi":"10.1007/s13691-025-00745-2","DOIUrl":null,"url":null,"abstract":"<p><p>Patients with advanced duodenal carcinoma typically have a poor prognosis due to limited practical chemotherapy options. While studies on genotype-directed therapy in patients with duodenal carcinoma is progressing, clinical data assessing the efficacy of molecularly targeted therapy remains scarce. We report the case of a 65-year-old woman diagnosed with anaplastic lymphocyte kinase (<i>ALK</i>) fusion-positive advanced duodenal carcinoma. The patient had been treated with alectinib for approximately 2 years for <i>ALK</i>-positive duodenal carcinoma but developed progressive liver metastases, indicating alectinib failure. During the disease progression, circulating tumor DNA (ctDNA) sequencing revealed the emergence of <i>ALK</i> L1196M mutation, which demonstrated sensitivity to brigatinib. After switching to brigatinib, marked shrinkage of liver metastases was observed. The patient maintained brigatinib treatment for 7 months until tumor progression. This is the first report demonstrating the efficacy of brigatinib after alectinib failure in a patient with duodenal carcinoma harboring <i>ALK</i> fusion. Furthermore, this case suggests that ctDNA sequencing can detect specific acquired mutations and help expand optimal treatment options for patients.</p>","PeriodicalId":13703,"journal":{"name":"International Cancer Conference Journal","volume":"14 2","pages":"131-135"},"PeriodicalIF":0.5000,"publicationDate":"2025-02-10","publicationTypes":"Journal Article","fieldsOfStudy":null,"isOpenAccess":false,"openAccessPdf":"https://www.ncbi.nlm.nih.gov/pmc/articles/PMC11950605/pdf/","citationCount":"0","resultStr":null,"platform":"Semanticscholar","paperid":null,"PeriodicalName":"International Cancer Conference Journal","FirstCategoryId":"1085","ListUrlMain":"https://doi.org/10.1007/s13691-025-00745-2","RegionNum":0,"RegionCategory":null,"ArticlePicture":[],"TitleCN":null,"AbstractTextCN":null,"PMCID":null,"EPubDate":"2025/4/1 0:00:00","PubModel":"eCollection","JCR":"Q4","JCRName":"ONCOLOGY","Score":null,"Total":0}
引用次数: 0

Abstract

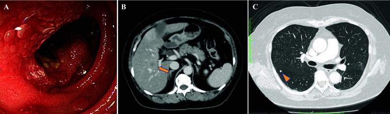
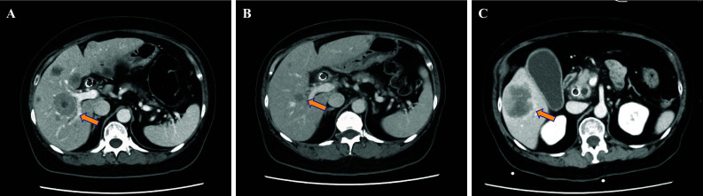
Patients with advanced duodenal carcinoma typically have a poor prognosis due to limited practical chemotherapy options. While studies on genotype-directed therapy in patients with duodenal carcinoma is progressing, clinical data assessing the efficacy of molecularly targeted therapy remains scarce. We report the case of a 65-year-old woman diagnosed with anaplastic lymphocyte kinase (ALK) fusion-positive advanced duodenal carcinoma. The patient had been treated with alectinib for approximately 2 years for ALK-positive duodenal carcinoma but developed progressive liver metastases, indicating alectinib failure. During the disease progression, circulating tumor DNA (ctDNA) sequencing revealed the emergence of ALK L1196M mutation, which demonstrated sensitivity to brigatinib. After switching to brigatinib, marked shrinkage of liver metastases was observed. The patient maintained brigatinib treatment for 7 months until tumor progression. This is the first report demonstrating the efficacy of brigatinib after alectinib failure in a patient with duodenal carcinoma harboring ALK fusion. Furthermore, this case suggests that ctDNA sequencing can detect specific acquired mutations and help expand optimal treatment options for patients.

Abstract Image

Abstract Image

Abstract Image

ALK融合阳性十二指肠癌患者alectiinib失败后对布加替尼的特殊反应。
由于实际的化疗选择有限,晚期十二指肠癌患者通常预后较差。虽然对十二指肠癌患者基因型定向治疗的研究正在取得进展,但评估分子靶向治疗疗效的临床数据仍然很少。我们报告的情况下,65岁的妇女诊断为间变性淋巴细胞激酶(ALK)融合阳性晚期十二指肠癌。该患者因alk阳性十二指肠癌接受了约2年的阿勒替尼治疗,但出现了进展性肝转移,表明阿勒替尼治疗失败。在疾病进展过程中,循环肿瘤DNA (ctDNA)测序显示ALK L1196M突变的出现,该突变对布加替尼敏感。改用布加替尼后,观察到肝转移灶明显缩小。患者维持布加替尼治疗7个月直到肿瘤进展。这是首个证明布加替尼在阿勒替尼失效后对十二指肠癌合并ALK融合患者疗效的报告。此外,该病例表明ctDNA测序可以检测特定的获得性突变,并有助于扩大患者的最佳治疗选择。
本文章由计算机程序翻译,如有差异,请以英文原文为准。
求助全文
约1分钟内获得全文 求助全文
来源期刊
自引率
14.30%
发文量
57
期刊介绍: This online-only journal publishes original case reports on all types of cancer. In particular, we welcome not only case reports of educational value in the diagnosis and treatment of cancers, but also reports on molecularly analyzed cancer cases, including gene mutations, gene fusions, gene expression, and changes in copy number, regardless of their known clinical significance. Assessing the molecular analysis of a tumor usually requires a “cancer conference” in which experts from various fields discuss it. Even if the authors and their respective “cancer conference” were unable to determine the clinical significance of molecular changes at the time of submission and publication, their data may provide evidence that will help the scientific community develop precision medicine solutions in the future. We welcome case reports with reviews of the literature on similar cases, as they are more useful and valuable to readers than are reports of rare cases. International Cancer Conference Journal is the official publication of the Japan Society of Clinical Oncology (JSCO). - Presents an online-only collection of original case reports on all types of cancer - In particular, welcomes molecularly analyzed cancer cases - The Official Publication of the Japan Society of Clinical Oncology (JSCO)
×
引用
GB/T 7714-2015
复制
MLA
复制
APA
复制
导出至
BibTeX EndNote RefMan NoteFirst NoteExpress
×
提示
您的信息不完整,为了账户安全,请先补充。
现在去补充
×
提示
您因"违规操作"
具体请查看互助需知
我知道了
×
提示
确定
请完成安全验证×
copy
已复制链接
快去分享给好友吧!
我知道了
右上角分享
点击右上角分享
0
联系我们:info@booksci.cn Book学术提供免费学术资源搜索服务,方便国内外学者检索中英文文献。致力于提供最便捷和优质的服务体验。 Copyright © 2023 布克学术 All rights reserved.
京ICP备2023020795号-1
ghs 京公网安备 11010802042870号
Book学术文献互助
Book学术文献互助群
群 号:604180095
Book学术官方微信