Resistant PRL-secreting PitNET associated with breast carcinoma: a case report and literature review.

IF 0.5 Q4 ONCOLOGY
International Cancer Conference Journal Pub Date : 2025-01-04 eCollection Date: 2025-04-01 DOI:10.1007/s13691-024-00741-y
Roxana-Ioana Dumitriu-Stan, Iulia-Florentina Burcea, Valeria Nicoleta Nastase, Raluca Amalia Ceausu, Marius Raica, Catalina Poiana
{"title":"Resistant PRL-secreting PitNET associated with breast carcinoma: a case report and literature review.","authors":"Roxana-Ioana Dumitriu-Stan, Iulia-Florentina Burcea, Valeria Nicoleta Nastase, Raluca Amalia Ceausu, Marius Raica, Catalina Poiana","doi":"10.1007/s13691-024-00741-y","DOIUrl":null,"url":null,"abstract":"<p><p>In several studies, hyperprolactinemia has been associated with increased breast cancer risk. Evidence shows that prolactin (PRL) is linked to mammary tumorigenesis, especially in postmenopausal patients, but the data remain controversial. We present a case of a 67 year-old patient with a resistant PRL-secreting PitNET who subsequently developed breast cancer. The patient was known to have persistent high PRL levels despite multimodal treatment (surgery, radiotherapy, and high doses of cabergoline). The tumor specimens obtained after transsphenoidal intervention were histologically and immunohistochemically examined for the following parameters: anterior pituitary hormones, the ki-67 labeling index, CAM 5.2 expression, ER ∝ expression, and somatostatin receptors, which revealed a densely granulated tumor with intense positivity for PRL and ER ∝ , a ki-67 labeling index of 6% and negative MGMT expression. Years later, the patient was diagnosed with breast carcinoma. Histopathological and immunohistochemical examination of the tumor specimen obtained after radical mastectomy confirmed ductal invasive breast cancer with negative immunostaining for prolactin receptors (PLRr) but positive immunostaining for estrogen (ER) and progesterone receptors (PGR) and a ki-67 labeling index of 8%. PRL is involved in mammary development and differentiation, which leads to lactation, the major driver during pregnancy, by regulating ovarian progesterone production. On the basis of the physiological actions of PRL, a role for this hormone in breast cancer has been suggested. Few cases of different types of breast carcinoma associated with hyperprolactinemia due to a pituitary tumor have been reported in the literature. The association between hyperprolactinemia and the risk of breast carcinoma is not well understood. Immunohistochemistry evaluation of PLRr can be helpful to provide information in these cases.</p>","PeriodicalId":13703,"journal":{"name":"International Cancer Conference Journal","volume":"14 2","pages":"97-106"},"PeriodicalIF":0.5000,"publicationDate":"2025-01-04","publicationTypes":"Journal Article","fieldsOfStudy":null,"isOpenAccess":false,"openAccessPdf":"https://www.ncbi.nlm.nih.gov/pmc/articles/PMC11950448/pdf/","citationCount":"0","resultStr":null,"platform":"Semanticscholar","paperid":null,"PeriodicalName":"International Cancer Conference Journal","FirstCategoryId":"1085","ListUrlMain":"https://doi.org/10.1007/s13691-024-00741-y","RegionNum":0,"RegionCategory":null,"ArticlePicture":[],"TitleCN":null,"AbstractTextCN":null,"PMCID":null,"EPubDate":"2025/4/1 0:00:00","PubModel":"eCollection","JCR":"Q4","JCRName":"ONCOLOGY","Score":null,"Total":0}
引用次数: 0

Abstract

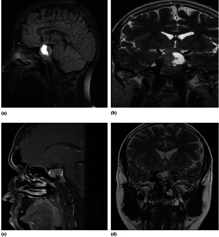
In several studies, hyperprolactinemia has been associated with increased breast cancer risk. Evidence shows that prolactin (PRL) is linked to mammary tumorigenesis, especially in postmenopausal patients, but the data remain controversial. We present a case of a 67 year-old patient with a resistant PRL-secreting PitNET who subsequently developed breast cancer. The patient was known to have persistent high PRL levels despite multimodal treatment (surgery, radiotherapy, and high doses of cabergoline). The tumor specimens obtained after transsphenoidal intervention were histologically and immunohistochemically examined for the following parameters: anterior pituitary hormones, the ki-67 labeling index, CAM 5.2 expression, ER ∝ expression, and somatostatin receptors, which revealed a densely granulated tumor with intense positivity for PRL and ER ∝ , a ki-67 labeling index of 6% and negative MGMT expression. Years later, the patient was diagnosed with breast carcinoma. Histopathological and immunohistochemical examination of the tumor specimen obtained after radical mastectomy confirmed ductal invasive breast cancer with negative immunostaining for prolactin receptors (PLRr) but positive immunostaining for estrogen (ER) and progesterone receptors (PGR) and a ki-67 labeling index of 8%. PRL is involved in mammary development and differentiation, which leads to lactation, the major driver during pregnancy, by regulating ovarian progesterone production. On the basis of the physiological actions of PRL, a role for this hormone in breast cancer has been suggested. Few cases of different types of breast carcinoma associated with hyperprolactinemia due to a pituitary tumor have been reported in the literature. The association between hyperprolactinemia and the risk of breast carcinoma is not well understood. Immunohistochemistry evaluation of PLRr can be helpful to provide information in these cases.

Abstract Image

Abstract Image

Abstract Image

耐药prl分泌PitNET与乳腺癌相关:1例报告及文献复习。
在几项研究中,高泌乳素血症与乳腺癌风险增加有关。有证据表明,催乳素(PRL)与乳腺肿瘤的发生有关,特别是在绝经后患者中,但数据仍然存在争议。我们提出一个病例,67岁的患者抵抗prl分泌PitNET谁随后发展为乳腺癌。尽管多模式治疗(手术、放疗和高剂量卡麦角林),该患者PRL水平仍持续高。经蝶窦干预后的肿瘤标本经组织学和免疫组织化学检查垂体前叶激素、ki-67标记指数、CAM 5.2表达、ER∝表达、生长抑素受体,结果显示肿瘤呈致密颗粒状,PRL和ER∝呈强烈阳性,ki-67标记指数为6%,MGMT表达阴性。几年后,病人被诊断出患有乳腺癌。乳房根治术后肿瘤标本的组织病理学和免疫组化检查证实为导管浸润性乳腺癌,催乳素受体(PLRr)免疫染色阴性,雌激素受体(ER)和孕激素受体(PGR)免疫染色阳性,ki-67标记指数为8%。PRL通过调节卵巢黄体酮的产生,参与乳房发育和分化,从而导致哺乳,这是怀孕期间的主要驱动因素。根据PRL的生理作用,有人提出该激素在乳腺癌中的作用。文献中很少报道不同类型的乳腺癌合并垂体瘤引起的高泌乳素血症。高泌乳素血症与乳腺癌风险之间的关系尚不清楚。在这些病例中,免疫组织化学评价PLRr有助于提供信息。
本文章由计算机程序翻译,如有差异,请以英文原文为准。
求助全文
约1分钟内获得全文 求助全文
来源期刊
自引率
14.30%
发文量
57
期刊介绍: This online-only journal publishes original case reports on all types of cancer. In particular, we welcome not only case reports of educational value in the diagnosis and treatment of cancers, but also reports on molecularly analyzed cancer cases, including gene mutations, gene fusions, gene expression, and changes in copy number, regardless of their known clinical significance. Assessing the molecular analysis of a tumor usually requires a “cancer conference” in which experts from various fields discuss it. Even if the authors and their respective “cancer conference” were unable to determine the clinical significance of molecular changes at the time of submission and publication, their data may provide evidence that will help the scientific community develop precision medicine solutions in the future. We welcome case reports with reviews of the literature on similar cases, as they are more useful and valuable to readers than are reports of rare cases. International Cancer Conference Journal is the official publication of the Japan Society of Clinical Oncology (JSCO). - Presents an online-only collection of original case reports on all types of cancer - In particular, welcomes molecularly analyzed cancer cases - The Official Publication of the Japan Society of Clinical Oncology (JSCO)
×
引用
GB/T 7714-2015
复制
MLA
复制
APA
复制
导出至
BibTeX EndNote RefMan NoteFirst NoteExpress
×
提示
您的信息不完整,为了账户安全,请先补充。
现在去补充
×
提示
您因"违规操作"
具体请查看互助需知
我知道了
×
提示
确定
请完成安全验证×
copy
已复制链接
快去分享给好友吧!
我知道了
右上角分享
点击右上角分享
0
联系我们:info@booksci.cn Book学术提供免费学术资源搜索服务,方便国内外学者检索中英文文献。致力于提供最便捷和优质的服务体验。 Copyright © 2023 布克学术 All rights reserved.
京ICP备2023020795号-1
ghs 京公网安备 11010802042870号
Book学术文献互助
Book学术文献互助群
群 号:604180095
Book学术官方微信