The ability of dietary essential oils to mitigate nickel-induced growth retardation, immune-antioxidant suppression, and endoplasmic reticulum stress activation in Nile tilapia.

IF 2.5 3区 农林科学 Q3 BIOCHEMISTRY & MOLECULAR BIOLOGY
Shaimaa A A Ahmed, Ghada I Abd El-Rahman, Haiam A Mohammed, Samar A Abdo, Mohamed Y M Aly, Hala Elshahat Ghannam, Fatma Mahsoub, Tarek Khamis, Rowida E Ibrahim
{"title":"The ability of dietary essential oils to mitigate nickel-induced growth retardation, immune-antioxidant suppression, and endoplasmic reticulum stress activation in Nile tilapia.","authors":"Shaimaa A A Ahmed, Ghada I Abd El-Rahman, Haiam A Mohammed, Samar A Abdo, Mohamed Y M Aly, Hala Elshahat Ghannam, Fatma Mahsoub, Tarek Khamis, Rowida E Ibrahim","doi":"10.1007/s10695-025-01482-2","DOIUrl":null,"url":null,"abstract":"<p><p>Fish immunity is significantly impacted by waterborne metal intoxication. Nickel is a ubiquitous metal in aquatic bodies which badly impacts fish immune responses and survival. In the current research, we looked into the possible protective effects of essential oils of tea tree (TTO) and basil (BEO) against nickel exposure in Nile tilapia, or Oreochromis niloticus. To achieve this, 240 Nile tilapia (27.92 ± 0.22 g) were categorized into six groups for 45 days; three groups were fed on basal control, TTO, and BEO diets without Ni exposure. The other three groups were subjected to Ni at a level of 3.6 mg/L and fed on basal, TTO, and BEO diets. The outcomes showed a substantial decrease in the growth measures and survival % in the Ni-exposed fish. Oxidative stress (higher splenic malondialdehyde and lower splenic catalase, reduced glutathione, and superoxide dismutase), immune suppression (lower serum lysozyme, myeloperoxidase, and nitric oxide), and elevated serum cortisol levels were observed in the Ni-intoxicated group. The Ni-intoxicated group exhibited various pathological alterations detected in the intestinal tissue mainly inflammatory and necrotic changes, moreover, moderate depletion of lymphoid elements represented by necrotic lymphocytes in the splenic tissue. Ni-exposure induced endoplasmic reticulum stress through up-regulation of the splenic expression of protein kinase R-like endoplasmic reticulum kinase, activating transcription factor 6, CCAAT/enhancer-binding protein homologous protein, X-box binding protein 1, α-subunit of eukaryotic initiation factor 2, inositol-requiring kinase 1a, mitogen-activated protein kinase, c-JunN-terminal kinase, and binding protein for immunoglobulins. Feeding on the TTO and BEO diets improved the growth measures, survival, and antioxidant capacity. Immunomodulation, enhancement of the intestinal and splenic architecture, and relief of the endoplasmic reticulum stress condition were noticed when the Ni-intoxicant groups were fed on TTO and BEO diets. Overall, the effect of the TTO diet was more pronounced than the BEO diet in mitigating the negative consequences of Ni-intoxication in Nile tilapia. Dietary fortification of 0.1% TTO and/or 0.1% BEO is recommended during Ni exposure in aquaculture practices.</p>","PeriodicalId":12274,"journal":{"name":"Fish Physiology and Biochemistry","volume":"51 2","pages":"76"},"PeriodicalIF":2.5000,"publicationDate":"2025-03-31","publicationTypes":"Journal Article","fieldsOfStudy":null,"isOpenAccess":false,"openAccessPdf":"https://www.ncbi.nlm.nih.gov/pmc/articles/PMC11958502/pdf/","citationCount":"0","resultStr":null,"platform":"Semanticscholar","paperid":null,"PeriodicalName":"Fish Physiology and Biochemistry","FirstCategoryId":"97","ListUrlMain":"https://doi.org/10.1007/s10695-025-01482-2","RegionNum":3,"RegionCategory":"农林科学","ArticlePicture":[],"TitleCN":null,"AbstractTextCN":null,"PMCID":null,"EPubDate":"","PubModel":"","JCR":"Q3","JCRName":"BIOCHEMISTRY & MOLECULAR BIOLOGY","Score":null,"Total":0}
引用次数: 0

Abstract

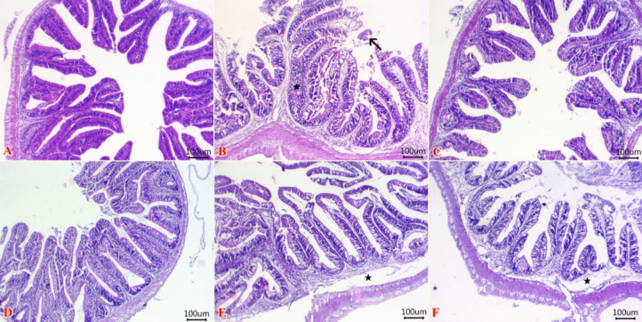
Fish immunity is significantly impacted by waterborne metal intoxication. Nickel is a ubiquitous metal in aquatic bodies which badly impacts fish immune responses and survival. In the current research, we looked into the possible protective effects of essential oils of tea tree (TTO) and basil (BEO) against nickel exposure in Nile tilapia, or Oreochromis niloticus. To achieve this, 240 Nile tilapia (27.92 ± 0.22 g) were categorized into six groups for 45 days; three groups were fed on basal control, TTO, and BEO diets without Ni exposure. The other three groups were subjected to Ni at a level of 3.6 mg/L and fed on basal, TTO, and BEO diets. The outcomes showed a substantial decrease in the growth measures and survival % in the Ni-exposed fish. Oxidative stress (higher splenic malondialdehyde and lower splenic catalase, reduced glutathione, and superoxide dismutase), immune suppression (lower serum lysozyme, myeloperoxidase, and nitric oxide), and elevated serum cortisol levels were observed in the Ni-intoxicated group. The Ni-intoxicated group exhibited various pathological alterations detected in the intestinal tissue mainly inflammatory and necrotic changes, moreover, moderate depletion of lymphoid elements represented by necrotic lymphocytes in the splenic tissue. Ni-exposure induced endoplasmic reticulum stress through up-regulation of the splenic expression of protein kinase R-like endoplasmic reticulum kinase, activating transcription factor 6, CCAAT/enhancer-binding protein homologous protein, X-box binding protein 1, α-subunit of eukaryotic initiation factor 2, inositol-requiring kinase 1a, mitogen-activated protein kinase, c-JunN-terminal kinase, and binding protein for immunoglobulins. Feeding on the TTO and BEO diets improved the growth measures, survival, and antioxidant capacity. Immunomodulation, enhancement of the intestinal and splenic architecture, and relief of the endoplasmic reticulum stress condition were noticed when the Ni-intoxicant groups were fed on TTO and BEO diets. Overall, the effect of the TTO diet was more pronounced than the BEO diet in mitigating the negative consequences of Ni-intoxication in Nile tilapia. Dietary fortification of 0.1% TTO and/or 0.1% BEO is recommended during Ni exposure in aquaculture practices.

Abstract Image

Abstract Image

Abstract Image

饲料精油减轻尼罗罗非鱼镍诱导的生长迟缓、免疫抗氧化抑制和内质网应激激活的能力。
水生金属中毒对鱼类免疫有显著影响。镍是水生生物中普遍存在的一种金属,严重影响鱼类的免疫反应和生存。在本研究中,我们探讨了茶树精油(TTO)和罗勒精油(BEO)对尼罗罗非鱼(Oreochromis niloticus)镍暴露的可能保护作用。为此,240尾尼罗罗非鱼(27.92±0.22 g)被分成6组,饲养45天;3组分别饲喂基础对照、TTO和BEO饲粮,不进行镍暴露。其余3组分别饲喂基础饲粮、TTO饲粮和BEO饲粮,Ni水平为3.6 mg/L。结果显示,暴露于镍的鱼的生长指标和存活率显著下降。镍中毒组出现氧化应激(脾丙二醛升高,脾过氧化氢酶、还原谷胱甘肽和超氧化物歧化酶降低)、免疫抑制(血清溶菌酶、髓过氧化物酶和一氧化氮降低)和血清皮质醇水平升高。镍中毒组大鼠肠组织出现多种病理改变,主要为炎症和坏死改变,脾组织淋巴细胞以坏死淋巴细胞为代表出现中度淋巴细胞耗竭。镍暴露通过上调蛋白激酶r样内质网激酶、活化转录因子6、CCAAT/增强子结合蛋白同源蛋白、X-box结合蛋白1、真核起始因子2 α-亚基、肌醇需要激酶1a、丝裂原活化蛋白激酶、c- jun末端激酶和免疫球蛋白结合蛋白的脾脏表达诱导内质网应激。饲喂TTO和BEO饲料提高了生长指标、成活率和抗氧化能力。镍中毒组分别饲喂TTO和BEO时,免疫调节、肠道和脾脏结构增强、内质网应激状况得到缓解。总的来说,在缓解尼罗罗非鱼镍中毒的负面影响方面,TTO饲料的效果比BEO饲料更为明显。在水产养殖过程中,建议在饲料中添加0.1%的TTO和/或0.1%的BEO。
本文章由计算机程序翻译,如有差异,请以英文原文为准。
求助全文
约1分钟内获得全文 求助全文
来源期刊
Fish Physiology and Biochemistry
Fish Physiology and Biochemistry 农林科学-生化与分子生物学
CiteScore
5.60
自引率
6.90%
发文量
106
审稿时长
4 months
期刊介绍: Fish Physiology and Biochemistry is an international journal publishing original research papers in all aspects of the physiology and biochemistry of fishes. Coverage includes experimental work in such topics as biochemistry of organisms, organs, tissues and cells; structure of organs, tissues, cells and organelles related to their function; nutritional, osmotic, ionic, respiratory and excretory homeostasis; nerve and muscle physiology; endocrinology; reproductive physiology; energetics; biochemical and physiological effects of toxicants; molecular biology and biotechnology and more.
×
引用
GB/T 7714-2015
复制
MLA
复制
APA
复制
导出至
BibTeX EndNote RefMan NoteFirst NoteExpress
×
提示
您的信息不完整,为了账户安全,请先补充。
现在去补充
×
提示
您因"违规操作"
具体请查看互助需知
我知道了
×
提示
确定
请完成安全验证×
copy
已复制链接
快去分享给好友吧!
我知道了
右上角分享
点击右上角分享
0
联系我们:info@booksci.cn Book学术提供免费学术资源搜索服务,方便国内外学者检索中英文文献。致力于提供最便捷和优质的服务体验。 Copyright © 2023 布克学术 All rights reserved.
京ICP备2023020795号-1
ghs 京公网安备 11010802042870号
Book学术文献互助
Book学术文献互助群
群 号:604180095
Book学术官方微信